• 文献检索
  • 文档翻译
  • 深度研究
  • 学术资讯
  • Suppr Zotero 插件Zotero 插件
  • 邀请有礼
  • 套餐&价格
  • 历史记录
应用&插件
Suppr Zotero 插件Zotero 插件浏览器插件Mac 客户端Windows 客户端微信小程序
定价
高级版会员购买积分包购买API积分包
服务
文献检索文档翻译深度研究API 文档MCP 服务
关于我们
关于 Suppr公司介绍联系我们用户协议隐私条款
关注我们

Suppr 超能文献

核心技术专利:CN118964589B侵权必究
粤ICP备2023148730 号-1Suppr @ 2026

文献检索

告别复杂PubMed语法,用中文像聊天一样搜索,搜遍4000万医学文献。AI智能推荐,让科研检索更轻松。

立即免费搜索

文件翻译

保留排版,准确专业,支持PDF/Word/PPT等文件格式,支持 12+语言互译。

免费翻译文档

深度研究

AI帮你快速写综述,25分钟生成高质量综述,智能提取关键信息,辅助科研写作。

立即免费体验

经上颌窦入路至翼腭窝和颞下窝肿瘤的演变:解剖模拟与临床实践。

Evolution of transmaxillary approach to tumors in pterygopalatine fossa and infratemporal fossa: anatomic simulation and clinical practice.

机构信息

Department of Neurosurgery, Beijing Tiantan Hospital, Capital Medical University, Beijing 100070, China.

Department of Neurosurgery, Peking University First Hospital, Beijing 100034, China.

出版信息

Chin Med J (Engl). 2019 Apr 5;132(7):798-804. doi: 10.1097/CM9.0000000000000142.

DOI:10.1097/CM9.0000000000000142
PMID:30897594
原文链接:https://pmc.ncbi.nlm.nih.gov/articles/PMC6595853/
Abstract

BACKGROUND

The endoscopic transnasal approach has been proven to have advantages on the removal of the tumors in pterygopalatine fossa (PPF) and infratemporal fossa (ITF). Herein, this study aimed to describe a modified approach for resection of the tumors in these areas, both in cadaveric specimen and clinical patients.

METHODS

The 20 adult cadaveric specimens and five patients with tumors in PPF and ITF were enrolled in this study. For the cadaveric specimens, ten were simulated anterior transmaxillary approach and ten were performed modified endoscopic transnasal transmaxillary approach. The exposure areas were compared between two groups and main anatomic structure were measured. Surgery was operated in the five patients with tumors of PPF and ITF to verify the experience from the anatomy. Perioperative management, intraoperative findings and postoperative complications were recorded and analyzed.

RESULTS

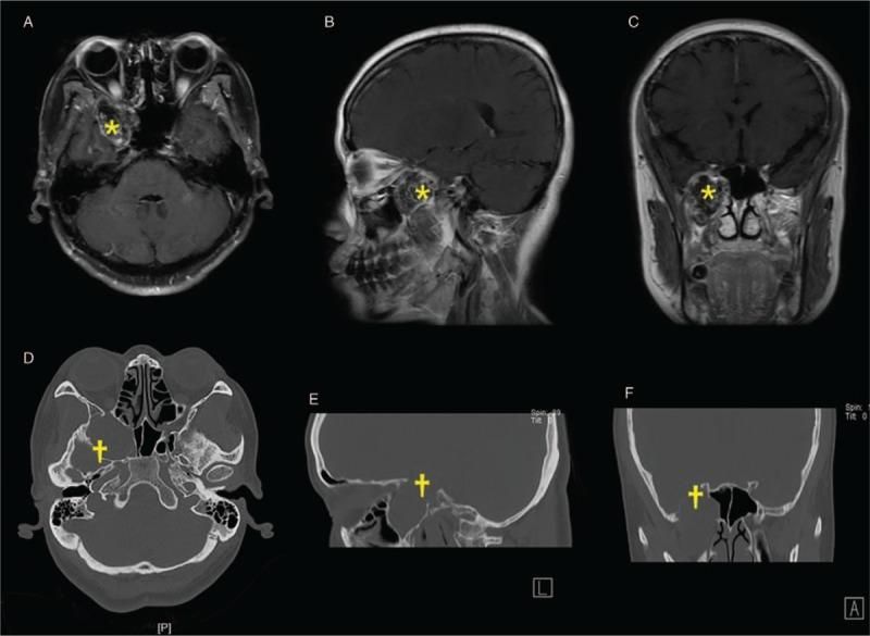
The modified endoscopic transnasal transmaxillary approach provided as enough surgical exposure and high operability to the PPF and ITF as the anterior transmaxillary approach did. The diameter of maxillary artery in the PPF was 3.77 ± 0.78 mm (range: 2.06-4.82 mm), the diameter of middle meningeal artery in the ITF was 2.79 ± 0.61 mm (range: 1.54-3.78 mm). Four patients who suffered schwannoma got total removal and one of adenocystic carcinoma got subtotal removal. The main complications were facial numbness and pericoronitis of the wisdom tooth. No permanent complication was found.

CONCLUSIONS

With the widespread use of neuroendoscopy, the modified endoscopic transnasal transmaxillary approach is feasible and effective for the resection of tumors located in PPF and ITF, which has significant advantages on less trauma and complications to the patients.

摘要

背景

经鼻内镜入路已被证明在切除翼腭窝(PPF)和颞下窝(ITF)肿瘤方面具有优势。在此,本研究旨在描述一种改良的方法,用于切除这些区域的肿瘤,包括在尸体标本和临床患者中。

方法

本研究纳入了 20 具成人尸体标本和 5 例 PPF 和 ITF 肿瘤患者。对于尸体标本,10 例模拟经前上颌窦入路,10 例采用改良经鼻内镜经上颌窦入路。比较两组暴露面积,测量主要解剖结构。对 5 例 PPF 和 ITF 肿瘤患者进行手术,验证解剖学经验。记录和分析围手术期管理、术中发现和术后并发症。

结果

改良经鼻内镜经上颌窦入路为 PPF 和 ITF 提供了与经前上颌窦入路相同的足够手术暴露和高操作性。PPF 中上颌动脉直径为 3.77±0.78mm(范围:2.06-4.82mm),ITF 中脑膜中动脉直径为 2.79±0.61mm(范围:1.54-3.78mm)。4 例神经鞘瘤患者均获得全切,1 例腺泡状腺癌患者获得次全切。主要并发症为面部麻木和智齿冠周炎。无永久性并发症。

结论

随着神经内镜的广泛应用,改良经鼻内镜经上颌窦入路对于切除 PPF 和 ITF 部位的肿瘤是可行和有效的,与传统方法相比,对患者的创伤和并发症更小。

https://cdn.ncbi.nlm.nih.gov/pmc/blobs/b89f/6595853/e5939794e7a5/cm9-132-798-g007.jpg
https://cdn.ncbi.nlm.nih.gov/pmc/blobs/b89f/6595853/946c1af8ffca/cm9-132-798-g001.jpg
https://cdn.ncbi.nlm.nih.gov/pmc/blobs/b89f/6595853/d9546786f0ff/cm9-132-798-g002.jpg
https://cdn.ncbi.nlm.nih.gov/pmc/blobs/b89f/6595853/1467554ac52a/cm9-132-798-g005.jpg
https://cdn.ncbi.nlm.nih.gov/pmc/blobs/b89f/6595853/5e930a0882ce/cm9-132-798-g006.jpg
https://cdn.ncbi.nlm.nih.gov/pmc/blobs/b89f/6595853/e5939794e7a5/cm9-132-798-g007.jpg
https://cdn.ncbi.nlm.nih.gov/pmc/blobs/b89f/6595853/946c1af8ffca/cm9-132-798-g001.jpg
https://cdn.ncbi.nlm.nih.gov/pmc/blobs/b89f/6595853/d9546786f0ff/cm9-132-798-g002.jpg
https://cdn.ncbi.nlm.nih.gov/pmc/blobs/b89f/6595853/1467554ac52a/cm9-132-798-g005.jpg
https://cdn.ncbi.nlm.nih.gov/pmc/blobs/b89f/6595853/5e930a0882ce/cm9-132-798-g006.jpg
https://cdn.ncbi.nlm.nih.gov/pmc/blobs/b89f/6595853/e5939794e7a5/cm9-132-798-g007.jpg

相似文献

1
Evolution of transmaxillary approach to tumors in pterygopalatine fossa and infratemporal fossa: anatomic simulation and clinical practice.经上颌窦入路至翼腭窝和颞下窝肿瘤的演变:解剖模拟与临床实践。
Chin Med J (Engl). 2019 Apr 5;132(7):798-804. doi: 10.1097/CM9.0000000000000142.
2
Neuroendoscopic Resection of Trigeminal Schwannoma in the Pterygopalatine/Infratemporal Fossa via the Transnasal Perpendicular Plate Palatine Bone or Transnasal Maxillary Sinus Approach.经鼻垂直板腭骨或经鼻上颌窦入路神经内镜切除翼腭窝/颞下窝三叉神经鞘瘤
World Neurosurg. 2018 Dec;120:e1011-e1016. doi: 10.1016/j.wneu.2018.08.216. Epub 2018 Sep 13.
3
The intranasal endoscopic removal of schwannoma of the pterygopalatine and infratemporal fossae via the prelacrimal recess approach.经泪前隐窝入路鼻内镜下切除翼腭窝和颞下窝神经鞘瘤
J Neurosurg. 2016 Apr;124(4):1068-73. doi: 10.3171/2015.3.JNS132702. Epub 2015 Sep 4.
4
Endoscopic endonasal approaches to infratemporal fossa tumors: a classification system and case series.鼻内镜经鼻入路治疗颞下窝肿瘤:一种分类系统及病例系列
Laryngoscope. 2014 Nov;124(11):2443-50. doi: 10.1002/lary.24638.
5
Robotic-assisted transmaxillary approach for removal of juvenile nasopharyngeal angiofibroma of the pterygopalatine and infratemporal fossa.机器人辅助经上颌入路切除翼腭窝和颞下窝青少年鼻咽血管纤维瘤
Head Neck. 2020 Sep;42(9):2745-2749. doi: 10.1002/hed.26236. Epub 2020 May 4.
6
Combined endonasal and sublabial endoscopic transmaxillary approach to the pterygopalatine fossa and orbital apex.经鼻联合唇下内镜经上颌窦入路至翼腭窝和眶尖
Acta Neurochir (Wien). 2015 Jun;157(6):919-29; discussion 929. doi: 10.1007/s00701-015-2402-z. Epub 2015 Apr 7.
7
[Removal of Schwannoma in the pterygopalatine and infratemporal fossa via endoscopic prelacrimal recess approach].[经鼻内镜泪前隐窝入路切除翼腭窝及颞下窝神经鞘瘤]
Zhonghua Er Bi Yan Hou Tou Jing Wai Ke Za Zhi. 2013 Oct;48(10):802-6.
8
Endoscopic Endonasal Approach to the Pterygopalatine Fossa and Infratemporal Fossa: Comparison of the Prelacrimal and Denker's Corridors.经鼻内镜入路对翼腭窝和颞下窝:前泪嵴和登克尔管间隙的比较。
Am J Rhinol Allergy. 2022 Sep;36(5):599-606. doi: 10.1177/19458924221097159. Epub 2022 May 4.
9
Extended endoscopic endonasal approach to the pterygopalatine fossa: anatomic study.经鼻内镜扩大入路至翼腭窝的解剖学研究
J Neurosurg Sci. 2009 Jun;53(2):37-44.
10
Endoscopic approach to the infratemporal fossa: anatomic study.经内镜入路至颞下窝:解剖学研究。
Neurosurgery. 2010 Jan;66(1):196-202; discussion 202-3. doi: 10.1227/01.NEU.0000359224.75185.43.

引用本文的文献

1
Piezo-Assisted Transmaxillary Approach for Microscope-Enabled Debulking of Infratemporal Schwannoma.用于显微镜下切除颞下神经鞘瘤的压电辅助经上颌入路
J Maxillofac Oral Surg. 2025 Feb;24(1):87-89. doi: 10.1007/s12663-022-01844-w. Epub 2023 Jan 6.
2
Transmaxillary approach for resection of maxillary division trigeminal schwannoma at foramen rotundum.经上颌裂入路圆孔处上颌支三叉神经鞘瘤切除术。
Acta Neurochir (Wien). 2024 Feb 26;166(1):107. doi: 10.1007/s00701-024-05996-1.
3
Endoscopic Paramaxillary Approach to the Infratemporal Fossa and Pterygomaxillary Space: Computer Modeling Analysis and Clinical Series.

本文引用的文献

1
Endoscopic transnasal skull base surgery: pushing the boundaries.鼻内镜经鼻颅底手术:拓展边界
J Neurooncol. 2016 Nov;130(2):319-330. doi: 10.1007/s11060-016-2274-y. Epub 2016 Oct 20.
2
Endoscope-Assisted Transmaxillosphenoidal Approach to the Sellar and Parasellar Regions: An Anatomic Study.内镜辅助经上颌窦蝶窦入路至鞍区和鞍旁区域:一项解剖学研究
World Neurosurg. 2016 Nov;95:246-252. doi: 10.1016/j.wneu.2016.08.034. Epub 2016 Aug 18.
3
The pterygopalatine fossa: imaging anatomy, communications, and pathology revisited.
内镜下经上颌窦入路至颞下窝和翼上颌间隙:计算机建模分析与临床系列研究
J Neurol Surg B Skull Base. 2021 Aug 18;83(Suppl 2):e514-e520. doi: 10.1055/s-0041-1733919. eCollection 2022 Jun.
4
Gender-specific differences in feasibility of pre-lacrimal window approach.性别特异性对经泪前隐窝入路的可行性影响。
Sci Rep. 2021 Apr 8;11(1):7791. doi: 10.1038/s41598-021-87447-w.
5
Relation between volume of sphenoid sinuses and protrusion of Vidian nerve: possible applications to Vidian neurectomy.蝶窦容积与翼管神经突出的关系:翼管神经切断术的可能应用
Surg Radiol Anat. 2020 May;42(5):583-587. doi: 10.1007/s00276-019-02408-3. Epub 2020 Jan 2.
翼腭窝:影像学解剖、连通关系及病理学再探讨
Insights Imaging. 2016 Aug;7(4):589-99. doi: 10.1007/s13244-016-0498-1. Epub 2016 May 26.
4
Combined endonasal and sublabial endoscopic transmaxillary approach to the pterygopalatine fossa and orbital apex.经鼻联合唇下内镜经上颌窦入路至翼腭窝和眶尖
Acta Neurochir (Wien). 2015 Jun;157(6):919-29; discussion 929. doi: 10.1007/s00701-015-2402-z. Epub 2015 Apr 7.
5
Intranasal endoscopic prelacrimal recess approach to sinonasal juvenile ossifying fibroma.鼻内镜下泪前隐窝入路治疗鼻窦青少年骨化性纤维瘤
Chin Med J (Engl). 2015 Feb 5;128(3):425-6. doi: 10.4103/0366-6999.150127.
6
Advantages and limitations of endoscopic endonasal approaches to the skull base.内镜经鼻颅底入路的优缺点。
World Neurosurg. 2014 Dec;82(6 Suppl):S12-21. doi: 10.1016/j.wneu.2014.07.022.
7
Comparison of surgical freedom and area of exposure in three endoscopic transmaxillary approaches to the anterolateral cranial base.三种经上颌窦入路至前外侧颅底的手术操作空间与暴露区域的比较
J Neurol Surg B Skull Base. 2014 Oct;75(5):346-53. doi: 10.1055/s-0034-1372467. Epub 2014 May 2.
8
Endoscopic endonasal transpterygoid transmaxillary approach to the infratemporal and upper parapharyngeal tumors.经鼻内镜经翼突-经上颌窦入路切除颞下窝和咽旁上部肿瘤。
Otolaryngol Head Neck Surg. 2014 Apr;150(4):696-702. doi: 10.1177/0194599813520290. Epub 2014 Jan 23.
9
Intranasal endoscopic prelacrimal recess approach to maxillary sinus.经鼻内镜头颅外筛前隐窝入路行上颌窦手术。
Chin Med J (Engl). 2013 Apr;126(7):1276-80.
10
Preservation of the nasolacrimal duct during endoscopic medial maxillectomy for sinonasal inverted papilloma.在鼻内镜下经上颌窦内翻性乳头状瘤切除术时保护鼻泪管。
Rhinology. 2010 Dec;48(4):452-6. doi: 10.4193/Rhino10.015.