Suppr超能文献

腹腔镜可调式胃束带管道穿透腹腔脏器:病例报告及文献复习

Abdominal viscus penetration by laparoscopic-adjustable gastric band tubing: case report and review.

作者信息

Delaney Francis T, Franz Robert

机构信息

Department of Medical Imaging, The Prince Charles Hospital, Brisbane, QLD, Australia.

Department of General Surgery, The Prince Charles Hospital, Brisbane, QLD, Australia.

出版信息

BJR Case Rep. 2018 Dec;4(4):20170097. doi: 10.1259/bjrcr.20170097. Epub 2018 May 24.

Abstract

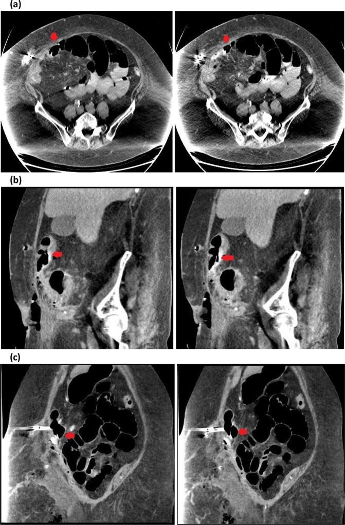
Laparoscopic-adjustable gastric band (LAGB) complications are increasingly recognised as follow-up time increases. These are most commonly related to the gastric band or port site, but complications of the connecting tubing are also reported. We present a case of LAGB tubing penetration through the transverse colon causing abdominal sepsis in a complex surgical abdomen and review prior published cases of abdominal viscus penetration by LAGB tubing. Like complications involving all LAGB components, these often present with non-specific abdominal signs and symptoms and undergo abdominal CT as an early investigation. This makes knowledge of normal and pathological imaging features of LAGB components important in radiology practice.

摘要

随着随访时间的增加,腹腔镜可调节胃束带(LAGB)并发症越来越受到关注。这些并发症最常见于胃束带或端口部位,但也有连接管并发症的报道。我们报告一例LAGB连接管穿透横结肠导致复杂手术腹部腹腔感染的病例,并回顾既往发表的LAGB连接管穿透腹腔脏器的病例。与所有LAGB组件相关的并发症一样,这些并发症通常表现为非特异性腹部体征和症状,早期检查会进行腹部CT。这使得了解LAGB组件的正常和病理影像特征在放射学实践中很重要。

https://cdn.ncbi.nlm.nih.gov/pmc/blobs/310e/6438395/1019dc1b9a3e/bjrcr.20170097.g001.jpg

文献AI研究员

20分钟写一篇综述,助力文献阅读效率提升50倍。

立即体验

用中文搜PubMed

大模型驱动的PubMed中文搜索引擎

马上搜索

文档翻译

学术文献翻译模型,支持多种主流文档格式。

立即体验