Suppr超能文献

手术切缘的放射性损伤:新辅助放化疗后直肠癌切除术后吻合口漏的线索?

Radiation-induced injury on surgical margins: a clue to anastomotic leakage after rectal-cancer resection with neoadjuvant chemoradiotherapy?

作者信息

Qin Qiyuan, Zhu Yaxi, Wu Peihuang, Fan Xinjuan, Huang Yan, Huang Binjie, Wang Jianping, Wang Lei

机构信息

Department of Colorectal Surgery, The Sixth Affiliated Hospital, Sun Yat-sen University, Guangzhou, Guangdong, P.R. China.

Department of Pathology, The Sixth Affiliated Hospital, Sun Yat-sen University, Guangzhou, Guangdong, P.R. China.

出版信息

Gastroenterol Rep (Oxf). 2019 Apr;7(2):98-106. doi: 10.1093/gastro/goy042. Epub 2018 Dec 11.

Abstract

BACKGROUND

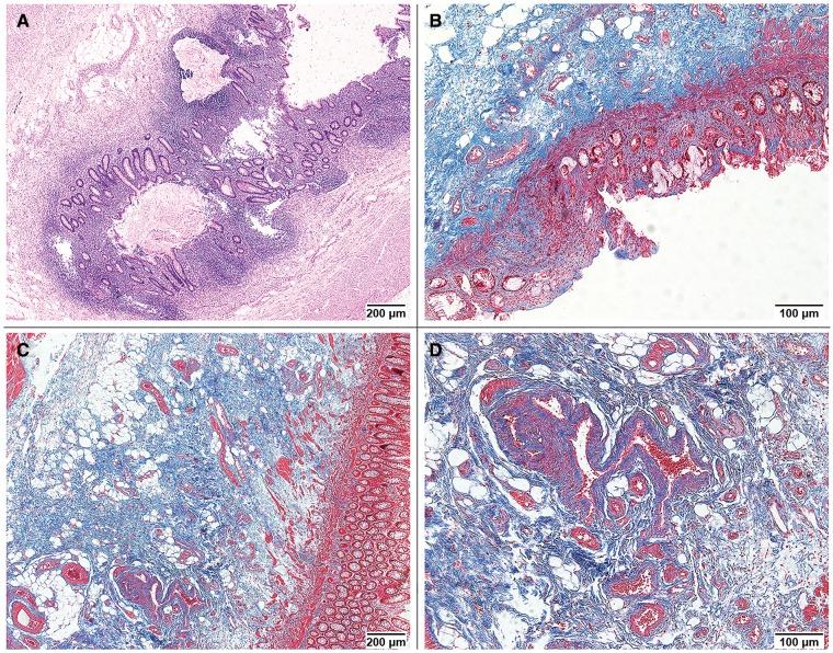
Few studies on anastomotic condition after rectal-cancer resection and its effect on anastomotic leakage (AL) are available up to now. This study aimed to investigate potential radiation-induced injury left on surgical margins of anterior resection after neoadjuvant chemoradiotherapy (nCRT) and its association with AL.

METHODS

We retrospectively identified 161 consecutive patients who underwent anterior resection with nCRT, neoadjuvant chemotherapy without radiation (nCT) or no neoadjuvant therapy between 2014 and 2015. Tissue samples of resection margins were assessed using a specific histopathological score and microvessel density in submucosa. Propensity score matching was used to balance the baseline characteristics. Association between AL and histopathological features was analysed.

RESULTS

AL occurred in 13 of 54 patients undergoing nCRT, 5 of 48 patients undergoing nCT and 7 of 59 patients without neoadjuvant therapy. Comparisons after matching showed median (range) histopathological scores as follows: 3 (0-8) vs 0 (0-3) vs 0 (0-2) for the proximal margin ( < 0.001); 4 (2-9) vs 0 (0-4) vs 0 (0-3) for the distal margin ( < 0.001). Correspondingly, mean (SD) microvessel densities were as follows: 21.7 (7.9) vs 27.2 (8.6) vs 27.3 (9.4) for the proximal margin ( = 0.003); 18.1 (9.3) vs 25.2 (12.9) vs 24.9 (7.4) for the distal margin ( < 0.001). Among patients undergoing nCRT, AL was associated with increased histopathological score ( = 0.003) and decreased microvessel density ( = 0.004) on the proximal margin.

CONCLUSIONS

Surgical margins of rectal-cancer resection are exposed to certain radiation-induced injury after nCRT. AL is associated with aggravated radiation damage on the proximal margin.

摘要

背景

目前关于直肠癌切除术后吻合口情况及其对吻合口漏(AL)影响的研究较少。本研究旨在探讨新辅助放化疗(nCRT)后前切除术手术切缘潜在的放射性损伤及其与AL的关系。

方法

我们回顾性纳入了2014年至2015年间连续接受nCRT、单纯新辅助化疗(nCT)或未接受新辅助治疗的前切除术患者161例。使用特定的组织病理学评分和黏膜下层微血管密度评估手术切缘的组织样本。采用倾向评分匹配来平衡基线特征。分析AL与组织病理学特征之间的关联。

结果

接受nCRT的54例患者中有13例发生AL,接受nCT的48例患者中有5例发生AL,未接受新辅助治疗的59例患者中有7例发生AL。匹配后的比较显示,近端切缘的组织病理学评分中位数(范围)如下:3(0 - 8)vs 0(0 - 3)vs 0(0 - 2)(P < 0.001);远端切缘的组织病理学评分中位数(范围)如下:4(2 - 9)vs 0(0 - 4)vs 0(0 - 3)(P < 0.001)。相应地,近端切缘的平均(标准差)微血管密度如下:21.7(7.9)vs 27.2(8.6)vs 27.3(9.4)(P = 0.003);远端切缘的平均(标准差)微血管密度如下:18.1(9.3)vs 25.2(12.9)vs 24.9(7.4)(P < 0.001)。在接受nCRT的患者中,AL与近端切缘组织病理学评分增加(P = 0.003)和微血管密度降低(P = 0.004)相关。

结论

nCRT后直肠癌切除手术切缘受到一定程度的放射性损伤。AL与近端切缘放射性损伤加重相关。

https://cdn.ncbi.nlm.nih.gov/pmc/blobs/3209/6454846/2e0c21b70158/goy042f1.jpg

文献AI研究员

20分钟写一篇综述,助力文献阅读效率提升50倍。

立即体验

用中文搜PubMed

大模型驱动的PubMed中文搜索引擎

马上搜索

文档翻译

学术文献翻译模型,支持多种主流文档格式。

立即体验