Suppr超能文献

A misdiagnosed cause of early postoperative bowel obstruction.

作者信息

Blouhos Konstantinos, Boulas Konstantinos A, Paraskeva Aikaterini, Triantafyllidis Alexandros, Kariotis Ioannis, Hatzigeorgiadis Anestis

机构信息

Department of General Surgery General Hospital of Drama Drama Greece.

出版信息

Clin Case Rep. 2019 Feb 17;7(4):832-833. doi: 10.1002/ccr3.2052. eCollection 2019 Apr.

Abstract

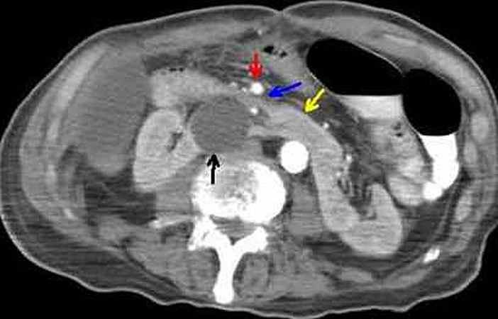
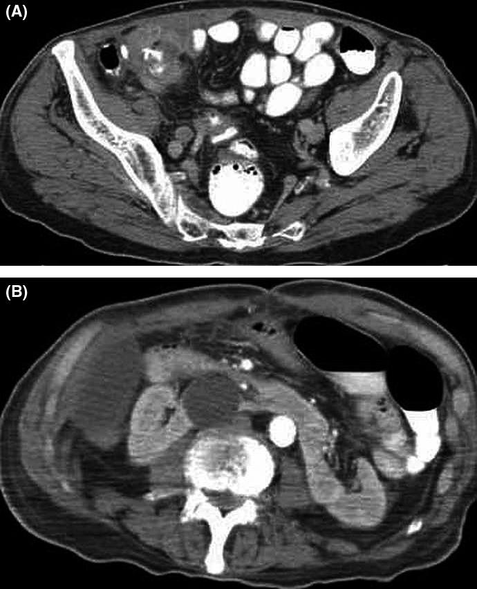
In the setting of altered anatomy, diagnosis of superior mesenteric artery syndrome requires high clinical and imaging suspicion as the defined imaging criteria cannot be applied.

摘要
https://cdn.ncbi.nlm.nih.gov/pmc/blobs/c95e/6452497/ea79ce65f962/CCR3-7-832-g001.jpg

文献AI研究员

20分钟写一篇综述,助力文献阅读效率提升50倍。

立即体验

用中文搜PubMed

大模型驱动的PubMed中文搜索引擎

马上搜索

文档翻译

学术文献翻译模型,支持多种主流文档格式。

立即体验