Suppr超能文献

伪装成恶性肿瘤的脑多头蚴病:来自印度的一例罕见病例报告

Cerebral Coenurosis Masquerading as Malignancy: A Rare Case Report from India.

作者信息

Ali Shamila Mohamed, Reddy P Somashekara, Venugopal S, Chhabra Manmeet, Mahadevan Anita

机构信息

Department of Laboratory Medicine, Sagar Hospital, Bengaluru, Karnataka, India.

Department of Neurosurgery, Sagar Hospital, Bengaluru, Karnataka, India.

出版信息

J Neurosci Rural Pract. 2019 Apr-Jun;10(2):367-370. doi: 10.4103/jnrp.jnrp_296_18.

Abstract

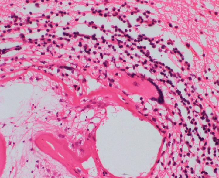
Human coenurosis is a rare zoonotic disease caused by the larvae of seen in sheep-rearing countries. We report the case of a 63-year-old male who was referred to our hospital with a working diagnosis of skull base chondrosarcoma. Histopathological examination after surgical excision revealed characteristic feature of coenurus with multiple scolices invaginating from the outer cuticular layer. Coenuri are often mistaken for giant cysticercal cysts and hydatid cysts. Despite its wide prevalence in cattle, only two cases of human coenurosis are reported from India till date. We report the third case from India.

摘要

人体多头蚴病是一种由多头绦虫幼虫引起的罕见人畜共患病,多见于养羊国家。我们报告一例63岁男性病例,该患者因初步诊断为颅底软骨肉瘤被转诊至我院。手术切除后的组织病理学检查显示了多头蚴的特征性表现,多个头节从外层角质层内陷。多头蚴常被误诊为巨大囊尾蚴囊肿和包虫囊肿。尽管其在牛中广泛流行,但迄今为止印度仅报告了两例人体多头蚴病病例。我们报告了印度的第三例病例。

https://cdn.ncbi.nlm.nih.gov/pmc/blobs/da51/6454931/fa64831cf298/JNRP-10-367-g001.jpg

文献AI研究员

20分钟写一篇综述,助力文献阅读效率提升50倍。

立即体验

用中文搜PubMed

大模型驱动的PubMed中文搜索引擎

马上搜索

文档翻译

学术文献翻译模型,支持多种主流文档格式。

立即体验