Suppr超能文献

伴有IV级血栓的转移性肾细胞癌:新辅助靶向治疗获得完全缓解的当代管理

Metastatic Renal Cell Carcinoma with Level IV Thrombus: Contemporary Management with Complete Response to Neoadjuvant Targeted Therapy.

作者信息

Bhat Abhishek, Nahar Bruno, Venkatramani Vivek, Banerjee Indraneel, Kryvenko Oleksandr N, Parekh Dipen J

机构信息

Department of Urology, University of Miami Miller School of Medicine, Miami, FL, USA.

Department of Pathology and Laboratory Medicine, University of Miami Miller School of Medicine, Miami, FL, USA.

出版信息

Case Rep Urol. 2019 Mar 14;2019:7102504. doi: 10.1155/2019/7102504. eCollection 2019.

Abstract

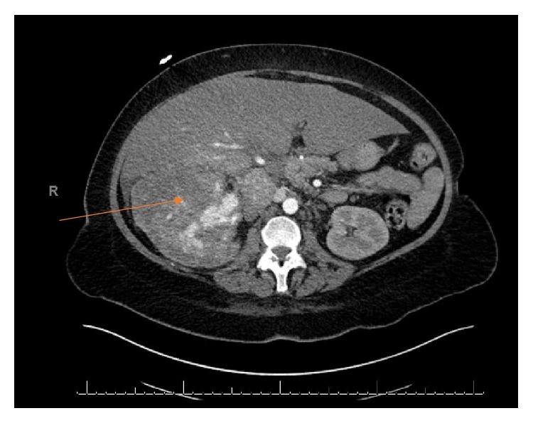
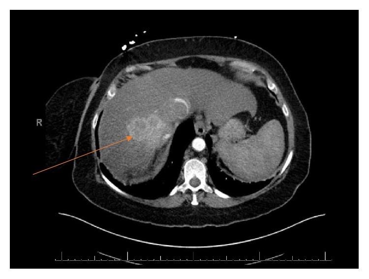
Renal cell carcinoma, particularly the most common clear cell type, is one of the most aggressive of urological cancers with significant risk of metastatic spread. It also has a propensity for venotropism with a proportion of tumors developing thrombi up to the right atrium. The response with newly adopted targeted therapy has been considered to be in the evolutionary stage with no clear role with respect to debulking or reducing the size of the inferior vena cava (IVC) thrombus. We describe a case of a right-sided metastatic RCC with Level IV thrombus initially managed with Pazopanib followed by Nivolumab and Adalimumab followed by cytoreductive nephrectomy and IVC thrombectomy in the post-targeted therapy setting with complete curative response.

摘要

肾细胞癌,尤其是最常见的透明细胞型,是侵袭性最强的泌尿系统癌症之一,具有显著的转移扩散风险。它还倾向于侵犯静脉,一部分肿瘤会形成血栓,甚至延伸至右心房。新采用的靶向治疗的疗效被认为尚处于发展阶段,对于减少下腔静脉(IVC)血栓的体积或清除血栓尚无明确作用。我们描述了一例右侧转移性肾细胞癌伴IV级血栓的病例,该病例最初采用帕唑帕尼治疗,随后使用纳武单抗和阿达木单抗,在靶向治疗后进行了减瘤性肾切除术和IVC血栓切除术,获得了完全治愈的效果。

https://cdn.ncbi.nlm.nih.gov/pmc/blobs/fa34/6437729/4cb7c03a91ef/CRIU2019-7102504.001.jpg

文献AI研究员

20分钟写一篇综述,助力文献阅读效率提升50倍。

立即体验

用中文搜PubMed

大模型驱动的PubMed中文搜索引擎

马上搜索

文档翻译

学术文献翻译模型,支持多种主流文档格式。

立即体验