Suppr超能文献

低剂量阿昔替尼再次治疗对一名对干扰素α、舒尼替尼、阿昔替尼和纳武单抗治疗均耐药的转移性肾细胞癌患者产生了积极疗效:一例病例报告。

Low-dose axitinib rechallenge with positive outcomes in a patient with metastatic renal cell carcinoma refractory to interferon α, sunitinib, axitinib, and nivolumab therapies: a case report.

作者信息

Murata Masaki, Ikeda Yohei, Hasegawa Go, Nakagawa Yuki, Nishiyama Tsutomu

机构信息

Department of Urology, Uonuma Institute of Community Medicine, Niigata University Medical and Dental Hospital, Urasa 4132, Minamiuonumashi, Niigata, 949-7302, Japan.

Department of Diagnostic Radiology, Uonuma Institute of Community Medicine, Niigata University Medical and Dental Hospital, Niigata, Japan.

出版信息

J Med Case Rep. 2019 Apr 22;13(1):98. doi: 10.1186/s13256-019-2041-8.

Abstract

BACKGROUND

There is no established treatment after failure of proven therapies for patients with metastatic renal cell carcinoma.

CASE PRESENTATION

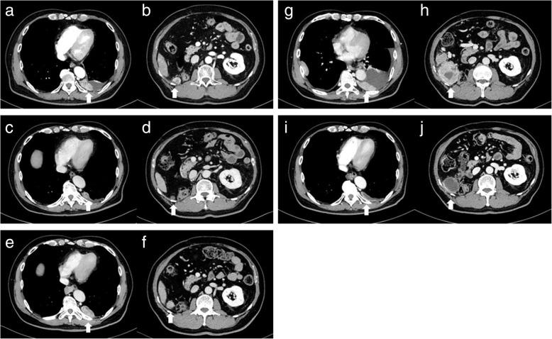
A 66-year-old Japanese man with metastatic renal cell carcinoma became refractory to interferon α and sunitinib therapies. He started treatment with axitinib at 10 mg/day, and the dose was gradually tapered down to 4 mg/day because of intolerable adverse events. His metastatic lesions shrank; however, he could not continue due to the adverse events. He started fourth-line therapy with nivolumab; however, the metastatic lesions increased. Rechallenge with axitinib 4 mg/day was started, and the dose was reduced to 2 mg/day because of adverse events. Subsequently, the adverse events became controllable, and the metastatic lesions were maintained at reduced size.

CONCLUSION

Therapeutic drug monitoring of axitinib could play an important role in the development of safe and effective therapeutic treatment and individualization of these medications.

摘要

背景

对于转移性肾细胞癌患者,在经过验证的治疗方法失败后,尚无既定的治疗方案。

病例介绍

一名66岁的日本转移性肾细胞癌男性患者对干扰素α和舒尼替尼治疗产生耐药。他开始接受阿昔替尼治疗,剂量为每日10毫克,由于无法耐受的不良事件,剂量逐渐减至每日4毫克。他的转移病灶缩小;然而,由于不良事件,他无法继续治疗。他开始接受纳武单抗的四线治疗;然而,转移病灶增加。再次开始使用每日4毫克的阿昔替尼治疗,由于不良事件,剂量减至每日2毫克。随后,不良事件得到控制,转移病灶维持在缩小后的大小。

结论

阿昔替尼的治疗药物监测在开发安全有效的治疗方法以及这些药物的个体化方面可能发挥重要作用。

https://cdn.ncbi.nlm.nih.gov/pmc/blobs/5ffe/6475964/50bee7d53579/13256_2019_2041_Fig1_HTML.jpg

文献检索

告别复杂PubMed语法,用中文像聊天一样搜索,搜遍4000万医学文献。AI智能推荐,让科研检索更轻松。

立即免费搜索

文件翻译

保留排版,准确专业,支持PDF/Word/PPT等文件格式,支持 12+语言互译。

免费翻译文档

深度研究

AI帮你快速写综述,25分钟生成高质量综述,智能提取关键信息,辅助科研写作。

立即免费体验