Suppr超能文献

患有单支肺动脉和单肺的婴儿的格林手术

Glenn Procedure in a Baby with Single Pulmonary Artery and Single Lung.

作者信息

Ugurlucan Murat, Oztas Didem Melis, Bahseliyev Shiraslan, Aliyev Bahruz, Yozgat Yilmaz, Tireli Emin, Alpagut Ufuk

机构信息

Department of Cardiovascular Surgery, Istanbul University Istanbul Medical Faculty, Istanbul, Turkey.

Department of Pediatric Cardiology, Istanbul University Istanbul Medical Faculty, Istanbul, Turkey.

出版信息

Heart Views. 2018 Jul-Sep;19(3):106-108. doi: 10.4103/HEARTVIEWS.HEARTVIEWS_19_18.

Abstract

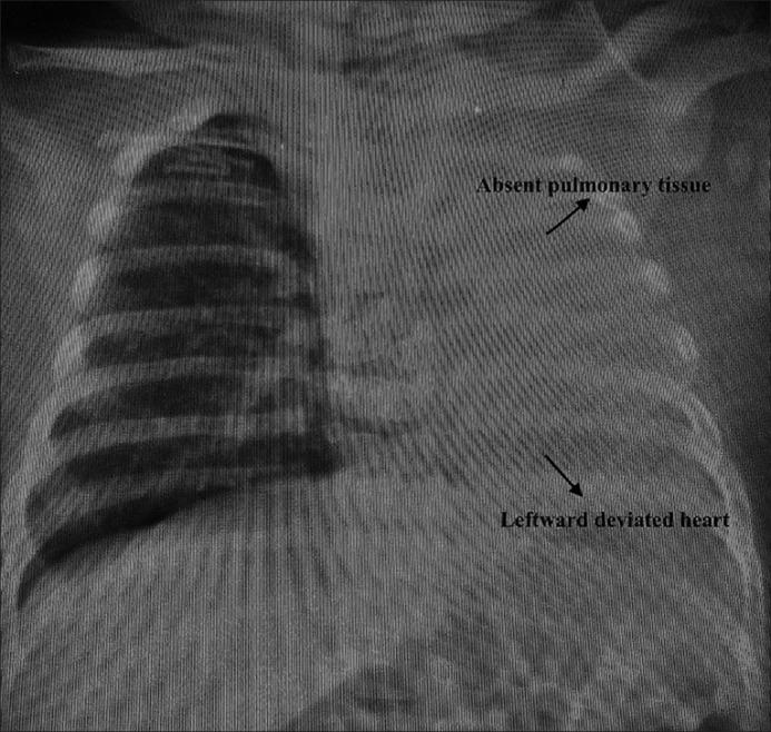
Glenn followed by Fontan are still the main two procedures for the treatment of patients with single ventricle. Some patients may be challenging due to unfavorable cardiopulmonary anatomy. In this report, we present Glenn shunt procedure in a patient with single pulmonary artery and congenitally agenetic lung.

摘要

格林手术继以Fontan手术仍然是治疗单心室患者的主要两种术式。一些患者可能因心肺解剖结构不佳而具有挑战性。在本报告中,我们介绍了一名患有单支肺动脉和先天性肺缺如患者的格林分流术。

https://cdn.ncbi.nlm.nih.gov/pmc/blobs/6c89/6448474/819cc5afe079/HV-19-106-g001.jpg

文献AI研究员

20分钟写一篇综述,助力文献阅读效率提升50倍。

立即体验

用中文搜PubMed

大模型驱动的PubMed中文搜索引擎

马上搜索

文档翻译

学术文献翻译模型,支持多种主流文档格式。

立即体验