Suppr超能文献

胆总管夹闭:胆囊切除术后14年发生梗阻性黄疸1例

CholedochoClip: A Case of Obstructive Jaundice 14 Years after Cholecystectomy.

作者信息

Kim Grace E, Morris John D, Darwin Peter E

机构信息

Department of Internal Medicine, University of Maryland Medical Center, Baltimore, MD 21201, USA.

Division of Gastroenterology and Hepatology, University of Maryland Medical Center, Baltimore, MD 21201, USA.

出版信息

Case Rep Gastrointest Med. 2019 Mar 19;2019:8038469. doi: 10.1155/2019/8038469. eCollection 2019.

Abstract

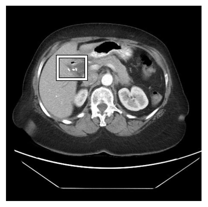
Gallstone disease is a common gastrointestinal pathology that may result in surgical intervention. While cholecystectomy has relatively minimal risks, surgical clip migration is a rare complication that can cause severe morbidity and mortality. This report describes a rare phenomenon of a biliary stone forming onto a migrated surgical clip 14 years after cholecystectomy causing an obstructive jaundice. This case illustrates the importance of keeping a migrated surgical clip on the differential when encountering patients with symptoms of cholangitis after cholecystectomy.

摘要

胆结石病是一种常见的胃肠道疾病,可能需要手术干预。虽然胆囊切除术的风险相对较小,但手术夹移位是一种罕见的并发症,可导致严重的发病和死亡。本报告描述了一例罕见现象,即胆囊切除术后14年,一枚移位的手术夹上形成了胆结石,导致梗阻性黄疸。该病例说明了在遇到胆囊切除术后出现胆管炎症状的患者时,将移位的手术夹纳入鉴别诊断的重要性。

https://cdn.ncbi.nlm.nih.gov/pmc/blobs/9245/6444230/b8f08ff7f630/CRIGM2019-8038469.001.jpg

文献AI研究员

20分钟写一篇综述,助力文献阅读效率提升50倍。

立即体验

用中文搜PubMed

大模型驱动的PubMed中文搜索引擎

马上搜索

文档翻译

学术文献翻译模型,支持多种主流文档格式。

立即体验