Suppr超能文献

创伤性股骨远端骨折的一期双侧股骨远端置换术。

Single-stage bilateral distal femur replacement for traumatic distal femur fractures.

作者信息

Neal David C, Sambhariya Varun, Tran Apollo, Rahman Shawn K, Dean Thad J, Wagner Russel A, Sanchez Hugo B

机构信息

Department of Orthopaedic Surgery, John Peter Smith Hospital, Fort Worth, TX, USA.

University of North Texas Health Science Center, Fort Worth, TX, USA.

出版信息

Arthroplast Today. 2018 Dec 5;5(1):26-31. doi: 10.1016/j.artd.2018.10.009. eCollection 2019 Mar.

Abstract

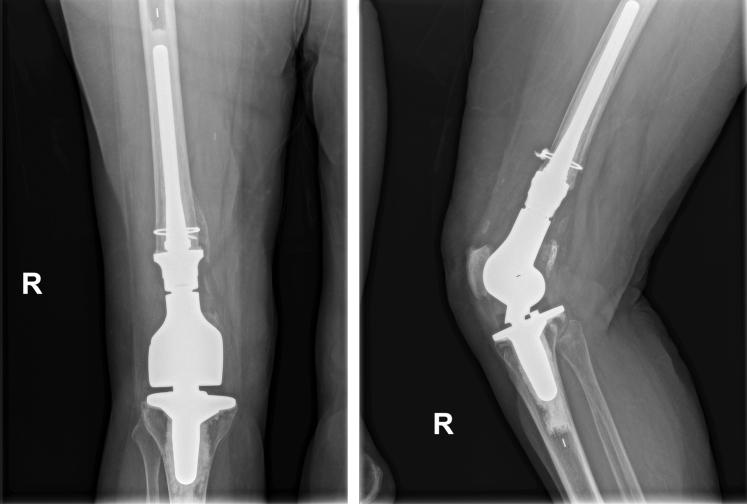
Treatment of periprosthetic distal femur fractures and comminuted intraarticular distal femur fractures with previous arthritis remains a difficult challenge for orthopedic surgeons. Previous case series have shown that distal femur replacement (DFR) can effectively compensate for bone loss, relieve knee pain, and allow for early ambulation in both of these fracture patterns. Owing to the typical low-energy mechanism of these injuries, a bilateral injury treated with DFR is rarely encountered. We present a patient with traumatic open left Rorabeck III/Su III periprosthetic distal femur fracture and closed right intraarticular distal femur fracture (AO fcation 33-C2) with end-stage arthrosis treated with single-stage bilateral DFR. We suggest that in patients with similar injuries, single-stage bilateral DFR can provide the benefits of early mobilization and accelerated recovery.

摘要

对于骨科医生而言,治疗假体周围股骨远端骨折以及既往患有关节炎的股骨远端粉碎性关节内骨折仍然是一项艰巨的挑战。既往的病例系列研究表明,股骨远端置换术(DFR)能够有效弥补骨质缺损,缓解膝关节疼痛,并使这两种骨折类型的患者能够早期行走。由于这些损伤通常由低能量机制导致,因此很少遇到双侧损伤采用DFR治疗的情况。我们报告了一例患者,其左股骨假体周围Rorabeck III/Su III型创伤性开放性骨折,右股骨远端关节内闭合性骨折(AO分型33-C2)伴终末期关节炎,接受了一期双侧DFR治疗。我们认为,对于有类似损伤的患者,一期双侧DFR可带来早期活动和加速康复的益处。

https://cdn.ncbi.nlm.nih.gov/pmc/blobs/bd07/6470367/6b8195b9e6a1/gr1.jpg

文献AI研究员

20分钟写一篇综述,助力文献阅读效率提升50倍。

立即体验

用中文搜PubMed

大模型驱动的PubMed中文搜索引擎

马上搜索

文档翻译

学术文献翻译模型,支持多种主流文档格式。

立即体验