• 文献检索
  • 文档翻译
  • 深度研究
  • 学术资讯
  • Suppr Zotero 插件Zotero 插件
  • 邀请有礼
  • 套餐&价格
  • 历史记录
应用&插件
Suppr Zotero 插件Zotero 插件浏览器插件Mac 客户端Windows 客户端微信小程序
定价
高级版会员购买积分包购买API积分包
服务
文献检索文档翻译深度研究API 文档MCP 服务
关于我们
关于 Suppr公司介绍联系我们用户协议隐私条款
关注我们

Suppr 超能文献

核心技术专利:CN118964589B侵权必究
粤ICP备2023148730 号-1Suppr @ 2026

文献检索

告别复杂PubMed语法,用中文像聊天一样搜索,搜遍4000万医学文献。AI智能推荐,让科研检索更轻松。

立即免费搜索

文件翻译

保留排版,准确专业,支持PDF/Word/PPT等文件格式,支持 12+语言互译。

免费翻译文档

深度研究

AI帮你快速写综述,25分钟生成高质量综述,智能提取关键信息,辅助科研写作。

立即免费体验

以纵向广泛横贯性脊髓病为首发症状的非霍奇金淋巴瘤:一例报告

Non-Hodgkin Lymphoma With Longitudinally Extensive Transverse Myelopathy as the Initial Symptom: A Case Report.

作者信息

Chen Yanxing, Lin Caixiu, Zhang Baorong

机构信息

Department of Neurology, The Second Affiliated Hospital, School of Medicine, Zhejiang University, Hangzhou, China.

出版信息

Front Oncol. 2019 Apr 12;9:266. doi: 10.3389/fonc.2019.00266. eCollection 2019.

DOI:10.3389/fonc.2019.00266
PMID:31032227
原文链接:https://pmc.ncbi.nlm.nih.gov/articles/PMC6473054/
Abstract

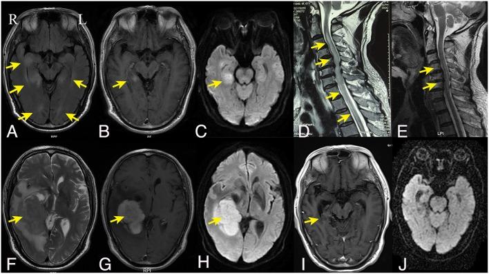
Identifying lymphoma as the cause of neurological disease is diagnostically challenging when the clinical manifestations are atypical. We report an unusual case of a previously healthy immunocompetent 67-years-old man presenting with acute onset of symptoms of myelopathy and mild personality changes. Magnetic resonance imaging (MRI) revealed multifocal periventricular lesions and longitudinally extensive transverse myelitis (LETM). He had very good response to corticosteroids and was in remission for over 6 months. Repeat MRI showed an unexpected mass lesion in the brain which was later confirmed by brain biopsy as diffuse large B cell lymphoma. Subsequent FDG-PET/CT revealed systemic disease with lymphonodal and testicular manifestations (Stage IV disease). It is therefore important to consider lymphoma as a differential diagnosis in patients with LETM and demyelinating lesions in the brain.

摘要

当临床表现不典型时,将淋巴瘤确定为神经疾病的病因在诊断上具有挑战性。我们报告了一例不寻常的病例,一名67岁既往健康的免疫功能正常男性,急性起病,出现脊髓病症状和轻度人格改变。磁共振成像(MRI)显示多灶性脑室周围病变和纵向广泛横贯性脊髓炎(LETM)。他对皮质类固醇反应良好,缓解超过6个月。复查MRI显示脑部意外出现肿块病变,后来经脑活检证实为弥漫性大B细胞淋巴瘤。随后的氟代脱氧葡萄糖正电子发射断层扫描/计算机断层扫描(FDG-PET/CT)显示存在系统性疾病,伴有淋巴结和睾丸表现(IV期疾病)。因此,对于患有LETM和脑部脱髓鞘病变的患者,将淋巴瘤作为鉴别诊断是很重要的。

https://cdn.ncbi.nlm.nih.gov/pmc/blobs/bcb5/6473054/f361a1336e74/fonc-09-00266-g0003.jpg
https://cdn.ncbi.nlm.nih.gov/pmc/blobs/bcb5/6473054/2b00b0670501/fonc-09-00266-g0001.jpg
https://cdn.ncbi.nlm.nih.gov/pmc/blobs/bcb5/6473054/01331a98029e/fonc-09-00266-g0002.jpg
https://cdn.ncbi.nlm.nih.gov/pmc/blobs/bcb5/6473054/f361a1336e74/fonc-09-00266-g0003.jpg
https://cdn.ncbi.nlm.nih.gov/pmc/blobs/bcb5/6473054/2b00b0670501/fonc-09-00266-g0001.jpg
https://cdn.ncbi.nlm.nih.gov/pmc/blobs/bcb5/6473054/01331a98029e/fonc-09-00266-g0002.jpg
https://cdn.ncbi.nlm.nih.gov/pmc/blobs/bcb5/6473054/f361a1336e74/fonc-09-00266-g0003.jpg

相似文献

1
Non-Hodgkin Lymphoma With Longitudinally Extensive Transverse Myelopathy as the Initial Symptom: A Case Report.以纵向广泛横贯性脊髓病为首发症状的非霍奇金淋巴瘤:一例报告
Front Oncol. 2019 Apr 12;9:266. doi: 10.3389/fonc.2019.00266. eCollection 2019.
2
Life threatening rare lymphomas presenting as longitudinally extensive transverse myelitis: a diagnostic challenge.表现为纵向广泛横贯性脊髓炎的危及生命的罕见淋巴瘤:一项诊断挑战。
Ideggyogy Sz. 2020 Jul 30;73(7-08):275-285. doi: 10.18071/isz.73.0275.
3
A rare association of tuberculous longitudinally extensive transverse myelitis (LETM) with brain tuberculoma.结核性纵向广泛横贯性脊髓炎(LETM)与脑结核瘤的罕见关联。
Springerplus. 2015 Sep 4;4:476. doi: 10.1186/s40064-015-1232-z. eCollection 2015.
4
Longitudinally extensive transverse myelitis as an initial manifestation of sarcoidosis: A rare case and its management.结节病的初始表现为纵向广泛横贯性脊髓炎:1例罕见病例及其处理
Clin Case Rep. 2024 Jul 7;12(7):e9135. doi: 10.1002/ccr3.9135. eCollection 2024 Jul.
5
Longitudinally extensive transverse myelitis suspected for isolated Neuro-Behçet: A diagnostic conundrum.疑似孤立性神经白塞病的纵向广泛性横贯性脊髓炎:一个诊断难题。
Mult Scler Relat Disord. 2015 Sep;4(5):395-399. doi: 10.1016/j.msard.2015.07.003. Epub 2015 Jul 8.
6
Tuberculous Myelopathy Associated with Longitudinally Extensive Lesion: A Clinicoradiological Review of Reported Cases.伴有纵向广泛病变的结核性脊髓病:已报道病例的临床放射学综述
J Clin Neurol. 2020 Jul;16(3):369-375. doi: 10.3988/jcn.2020.16.3.369.
7
Neurosarcoidosis and Transverse Myelitis: Life-Threatening Manifestations of Sarcoidosis.神经结节病与横贯性脊髓炎:结节病的危及生命的表现形式。
Cureus. 2024 Jan 20;16(1):e52629. doi: 10.7759/cureus.52629. eCollection 2024 Jan.
8
Spinal cord tumor versus transverse myelitis.脊髓肿瘤与横贯性脊髓炎。
Spine J. 2011 Dec;11(12):1143-5. doi: 10.1016/j.spinee.2011.10.012. Epub 2011 Nov 13.
9
A Rare Case of Longitudinally Extensive Transverse Myelitis Following Febrile Illness: A Case Report.发热性疾病后发生的纵向广泛横贯性脊髓炎1例罕见病例报告
Cureus. 2024 Mar 17;16(3):e56316. doi: 10.7759/cureus.56316. eCollection 2024 Mar.
10
Successful treatment of paraneoplastic longitudinally extensive transverse myelitis (LETM): A 16-month clinical-spinal MRI follow-up.成功治疗副肿瘤性长节段横贯性脊髓炎(LETM):16 个月的临床-脊髓 MRI 随访。
Mult Scler Relat Disord. 2018 Nov;26:207-210. doi: 10.1016/j.msard.2018.09.023. Epub 2018 Sep 22.

引用本文的文献

1
Diagnosing an unusual case of myelitis and diabetes insipidus through skin biopsies.通过皮肤活检诊断一例罕见的脊髓炎和尿崩症病例。
Neurol Sci. 2024 Aug;45(8):4095-4097. doi: 10.1007/s10072-024-07547-z. Epub 2024 Apr 27.
2
Mature B-cell lymphoma with acute myelitis as the first presentation: a case report and literature review.以急性脊髓炎为首发表现的成熟 B 细胞淋巴瘤:病例报告及文献复习。
BMC Neurol. 2023 Mar 17;23(1):111. doi: 10.1186/s12883-023-03164-z.

本文引用的文献

1
Diffuse large B-cell lymphoma.弥漫性大 B 细胞淋巴瘤。
Pathology. 2018 Jan;50(1):74-87. doi: 10.1016/j.pathol.2017.09.006. Epub 2017 Nov 20.
2
Spinal cord involvement in primary CNS lymphoma.原发性中枢神经系统淋巴瘤的脊髓受累情况。
J Clin Neurosci. 2018 Jan;47:145-148. doi: 10.1016/j.jocn.2017.10.027. Epub 2017 Oct 27.
3
Clinical and immunological characteristics of the spectrum of GFAP autoimmunity: a case series of 22 patients.GFAP 自身免疫谱的临床和免疫学特征:22 例患者的病例系列。
J Neurol Neurosurg Psychiatry. 2018 Feb;89(2):138-146. doi: 10.1136/jnnp-2017-316583. Epub 2017 Sep 26.
4
Primary central nervous system lymphoma: essential points in diagnosis and management.原发性中枢神经系统淋巴瘤:诊断与管理要点
Med Oncol. 2017 Apr;34(4):61. doi: 10.1007/s12032-017-0920-7. Epub 2017 Mar 17.
5
Demyelination as a harbinger of lymphoma: a case report and review of primary central nervous system lymphoma preceded by multifocal sentinel demyelination.脱髓鞘作为淋巴瘤的先兆:一例病例报告及对多灶性前哨脱髓鞘后的原发性中枢神经系统淋巴瘤的综述。
BMC Neurol. 2016 May 21;16:72. doi: 10.1186/s12883-016-0596-1.
6
Extensive myelitis associated with anti-NMDA receptor antibodies.抗 NMDA 受体抗体相关广泛脊髓炎。
BMC Neurol. 2013 Dec 27;13:211. doi: 10.1186/1471-2377-13-211.
7
Inflammatory demyelinating brain lesions heralding primary CNS lymphoma.炎症性脱髓鞘脑病变预示原发性中枢神经系统淋巴瘤。
Can J Neurol Sci. 2012 Jan;39(1):6-10. doi: 10.1017/s0317167100012610.
8
Primary intramedullary spinal cord lymphoma.原发性脊髓内淋巴瘤。
Neurology. 2011 Aug 23;77(8):784-91. doi: 10.1212/WNL.0b013e31822b00b9. Epub 2011 Aug 10.
9
Central nervous system occurrence in elderly patients with aggressive lymphoma and a long-term follow-up.侵袭性淋巴瘤老年患者的中枢神经系统病变及长期随访
Ann Oncol. 2007 Jun;18(6):1085-9. doi: 10.1093/annonc/mdm073. Epub 2007 Mar 15.
10
Occult systemic non-Hodgkin's lymphoma (NHL) in patients initially diagnosed as primary central nervous system lymphoma (PCNSL): how much staging is enough?最初诊断为原发性中枢神经系统淋巴瘤(PCNSL)的患者中隐匿性系统性非霍奇金淋巴瘤(NHL):分期到何种程度足够?
J Neurooncol. 1995;25(1):67-71. doi: 10.1007/BF01054724.