Suppr超能文献

肱二头肌长头肌腱成像:一篇多模态图文并茂的文章

Imaging of long head biceps tendon. A multimodality pictorial essay.

作者信息

Zappia Marcello, Chianca Vito, Di Pietto Francesco, Reginelli Alfonso, Natella Raffaele, Maggialetti Nicola, Albano Domenico, Russo Raffaele, Sconfienza Luca Maria, Brunese Luca, Faletti Carlo

机构信息

Department of Medicine and Health Sciences "V. Tiberio", University of Molise, Campobasso, Italy.

出版信息

Acta Biomed. 2019 Apr 24;90(5-S):84-94. doi: 10.23750/abm.v90i5-S.8351.

Abstract

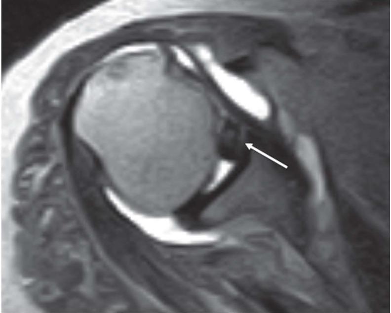
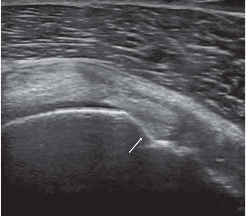
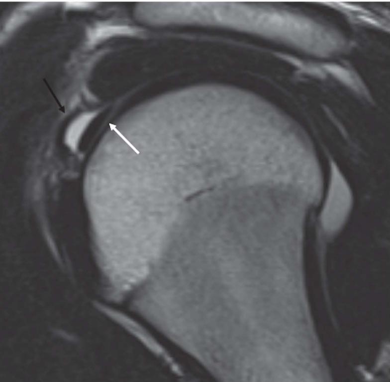
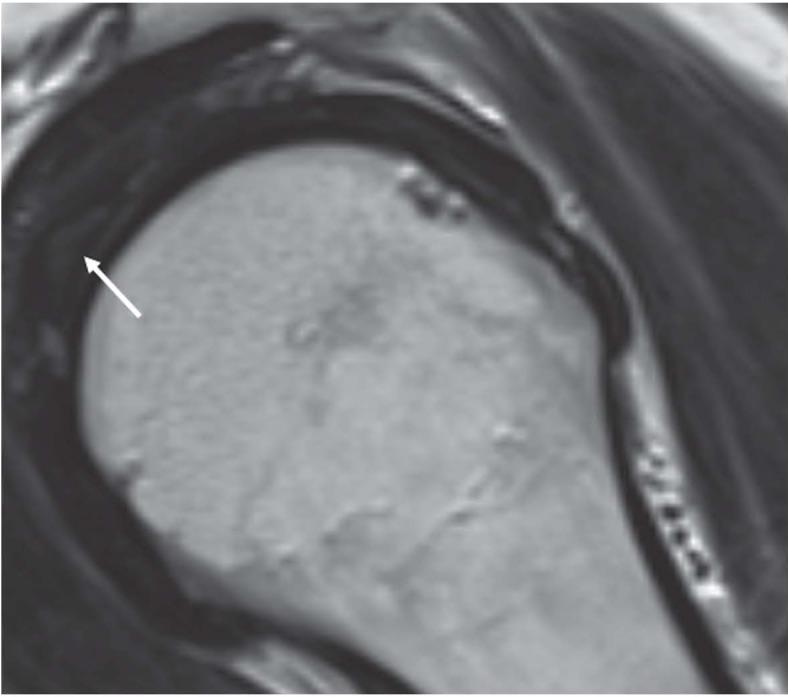
The aim of this is article is to provide an  imaging review of normal anatomy, most common anatomical variants and pathologies of the long head of the biceps tendon (LHB) encountered during the daily practice.

摘要

本文的目的是对日常实践中遇到的肱二头肌长头肌腱(LHB)的正常解剖结构、最常见的解剖变异和病变进行影像学综述。

https://cdn.ncbi.nlm.nih.gov/pmc/blobs/3121/6625571/0289484b1997/ACTA-90-84-g001.jpg

文献AI研究员

20分钟写一篇综述,助力文献阅读效率提升50倍。

立即体验

用中文搜PubMed

大模型驱动的PubMed中文搜索引擎

马上搜索

文档翻译

学术文献翻译模型,支持多种主流文档格式。

立即体验