Suppr超能文献

Arthrogryposis in a Case of Chiari Malformation II: First Case Report in a Mediterranean Population.

作者信息

Naja Ahmad Salaheddine, El Khatib Hassan, Baydoun Ahmad, Nasser Eddine Mohammad

机构信息

Department of Orthopaedic Surgery, American University of Beirut Medical Centre, Beirut, Lebanon.

Department of Paediatric, Makassed General Hospital, Beirut, Lebanon.

出版信息

Am J Case Rep. 2019 May 20;20:719-722. doi: 10.12659/AJCR.914870.

Abstract

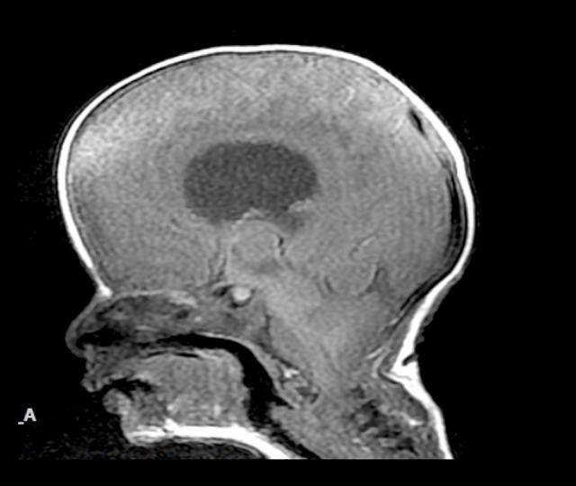
BACKGROUND Arthrogryposis multiplex congenita is a multifactorial syndromic or non-syndromic group of conditions consisting of multiple congenital contractures of the body, of unknown etiology. It is associated with a heterogenous group of disorders that include but are not limited to processes such as myopathic and neuropathic. Neural tube defect is a neuropathic disorder that incorporates myelomeningocele that might be either isolated or within a spectrum of multiple diseases. CASE REPORT This is a case report of a 28-day-old male born with lower limb arthrogryposis with myelomeningocele and Chiari II malformation in a Mediterranean population. CONCLUSIONS Lower extremity arthrogryposis with myelomeningocele and Chiari II malformation is a prenatal diagnosis that requires high clinical suspicion, early multidisciplinary intervention, and genetic counselling. As long as new approaches are being explored in the management of such cases, babies born now with neural tube defects can expect better quality of life.

摘要
https://cdn.ncbi.nlm.nih.gov/pmc/blobs/0c0f/6537754/b839a8049ab8/amjcaserep-20-719-g001.jpg

文献AI研究员

20分钟写一篇综述,助力文献阅读效率提升50倍。

立即体验

用中文搜PubMed

大模型驱动的PubMed中文搜索引擎

马上搜索

文档翻译

学术文献翻译模型,支持多种主流文档格式。

立即体验