Arifa Sheik P, Christopher Pradeep J, Kumar Senthil, Kengasubbiah Srivatsa, Shenoy Vandana
Oral and Maxillofacial Surgery, Thai Moogambigai Dental College & Hospital, Chennai, IND.
Cureus. 2019 Mar 6;11(3):e4180. doi: 10.7759/cureus.4180.
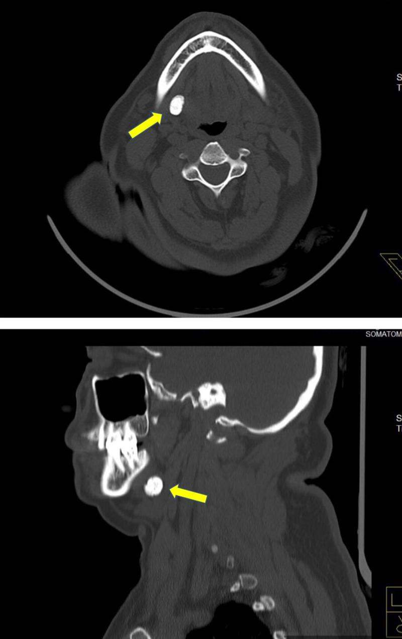
Sialolithiasis is the formation of calcific concretions within the parenchyma or ductal system of the major or minor salivary glands, but it most commonly affects the submandibular salivary gland. Sialolithiasis usually occurs in adults aged 30 to 60 years and causes pathognomonic pain during meals. The treatment of sialolithiasis depends on the size and location of the calculi. We present two cases of sialolithiasis of the submandibular gland managed via the intraoral and extraoral approaches, depending on the position of the calculi.
涎石病是指在大唾液腺或小唾液腺的实质或导管系统内形成钙化性结石,但最常累及下颌下唾液腺。涎石病通常发生在30至60岁的成年人中,进食时会引起特征性疼痛。涎石病的治疗取决于结石的大小和位置。我们报告两例下颌下腺涎石病病例,根据结石位置分别采用口内和口外入路进行治疗。