Suppr超能文献

噬血细胞综合征合并血管内大B细胞淋巴瘤一例中的垂体及神经系统受累情况

Pituitary Gland and Neurological Involvement in a Case of Hemophagocytic Syndrome Revealing an Intravascular Large B-Cell Lymphoma.

作者信息

Simeni Njonnou Sylvain Raoul, Couturier Bruno, Gombeir Yannick, Verbanck Sylvain, Devuyst France, El Hachem Georges, Theate Ivan, Trepant Anne-Laure, De Wilde Virginie, Vandergheynst Frédéric-Alain

机构信息

Department of Internal Medicine and Specialties, Faculty of Medicine and Biomedical Sciences, University of Yaounde I, Yaoundé, Cameroon.

Department of Internal Medicine, Hôpital Erasme, Université Libre de Bruxelles, Brussels, Belgium.

出版信息

Case Rep Hematol. 2019 Apr 28;2019:9625075. doi: 10.1155/2019/9625075. eCollection 2019.

Abstract

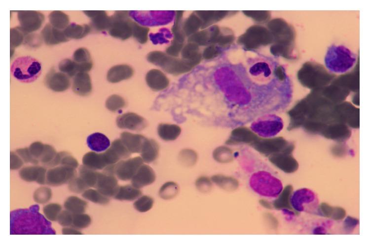
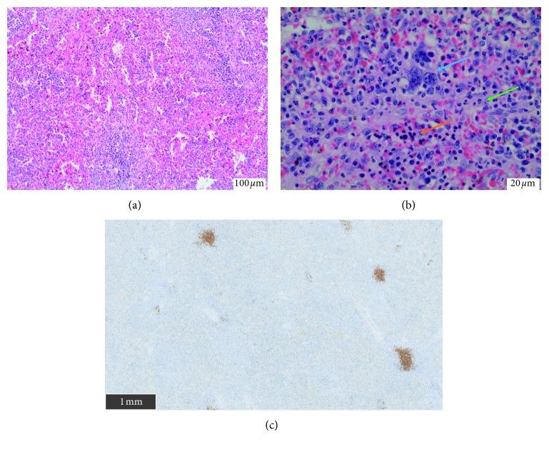
Intravascular large B-cell lymphoma is a rare entity characterized by the proliferation of neoplastic lymphocytes in the lumen of small blood vessels and high mortality. Diagnosis of intravascular lymphoma is often delayed or established postmortem. Here, we report the case of a 48-year-old woman presenting hemophagocytic syndrome, with pituitary gland and neurological involvement. Diagnosis of intravascular large B-cell lymphoma was made on perisplenic vessels, while liver and bone marrow biopsy was noncontributive. This case demonstrates the importance of thorough histopathologic investigations in the setting of high suspicion.

摘要

血管内大B细胞淋巴瘤是一种罕见的疾病,其特征为肿瘤性淋巴细胞在小血管腔内增殖且死亡率高。血管内淋巴瘤的诊断常常延迟,或在尸检后才能确诊。在此,我们报告一例48岁女性患者,该患者出现噬血细胞综合征,并伴有垂体和神经系统受累。血管内大B细胞淋巴瘤的诊断是基于脾周血管做出的,而肝脏和骨髓活检未提供诊断依据。该病例表明,在高度怀疑的情况下进行全面的组织病理学检查非常重要。

https://cdn.ncbi.nlm.nih.gov/pmc/blobs/1fbc/6512020/94a49f451fc7/CRIHEM2019-9625075.001.jpg

文献AI研究员

20分钟写一篇综述,助力文献阅读效率提升50倍。

立即体验

用中文搜PubMed

大模型驱动的PubMed中文搜索引擎

马上搜索

文档翻译

学术文献翻译模型,支持多种主流文档格式。

立即体验