Suppr超能文献

探讨黏膜切开活检技术用于诊断胃黏膜下肿瘤的可行性及安全性。

Examine the Availability and Safety of Mucosal Cutting Biopsy Technique for Diagnosis of Gastric Submucosal Tumor.

作者信息

Mizukami Kazuhiro, Matsunari Osamu, Ogawa Ryo, Hirashita Yuka, Okamoto Kazuhisa, Fukuda Kensuke, Sonoda Akira, Akiyama Hidetoshi, Ozaka Sotaro, Kawahara Yoshinari, Okimoto Tadayoshi, Kodama Masaaki, Murakami Kazunari

机构信息

Department of Gastroenterology, Oita University, 1-1, Idaigaoka, Hasama, Yufu, Oita 879-5593, Japan.

出版信息

Gastroenterol Res Pract. 2019 May 2;2019:3121695. doi: 10.1155/2019/3121695. eCollection 2019.

Abstract

OBJECTIVES

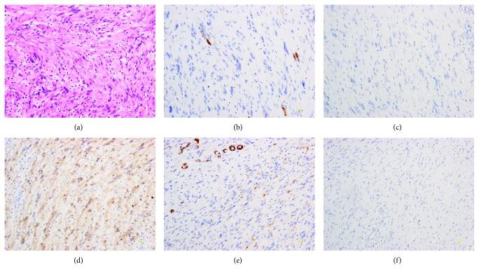
Differentiating gastrointestinal stromal tumor (GIST) from other submucosal tumors (SMTs) is important in diagnosing SMT. GIST is an immunohistological diagnosis that cannot be made from images alone. Tissue sampling of tumor sites is thus becoming increasingly important. In this study, the utility and associated complications of mucosal cutting biopsy (MCB) for gastric SMTs were investigated.

METHODS

This was a case series study. The subjects were patients aged ≥20 years old in whom an SMT was seen on esophagogastroduodenography and who underwent MCB between January 2012 and December 2016. Patient information, endoscopy findings, gastric SMT size, pathological diagnosis, and other information were gathered from medical records. The SMT size was the maximum diameter that could be visualized on EUS. The pathological diagnosis was made with hematoxylin-eosin staining, with immunostaining added to diagnose GIST. The endpoint was the histopathological diagnostic yield. Risk assessment using the Miettinen classification and modified Fletcher classification was also done for GISTs treated with surgery.

RESULTS

The mean tumor diameter was 15.4 mm. The tumor diameter was ≥20 mm in seven patients and <20 mm in 23 patients. The tissue-acquiring rate was 93.3%. A histological diagnosis could not be made in two patients. The only complication was that bleeding required endoscopic hemostasis during the procedure in one patient, but no subsequent bleeding or no postoperative bleeding was seen.

CONCLUSIONS

MCB is an appropriate and safe procedure in the diagnosis of gastric SMTs. Many hospitals will be able to perform MCB if they have the environment, including skills and equipment, to perform endoscopic submucosal dissection.

摘要

目的

在诊断黏膜下肿瘤(SMT)时,区分胃肠道间质瘤(GIST)与其他SMT非常重要。GIST是一种免疫组织学诊断,不能仅通过影像做出诊断。因此,肿瘤部位的组织采样变得越来越重要。在本研究中,我们调查了黏膜切割活检(MCB)用于胃SMT诊断的效用及相关并发症。

方法

这是一项病例系列研究。研究对象为年龄≥20岁、在食管胃十二指肠造影中发现有SMT且于2012年1月至2016年12月期间接受MCB的患者。从病历中收集患者信息、内镜检查结果、胃SMT大小、病理诊断及其他信息。SMT大小为超声内镜(EUS)上可观察到的最大直径。病理诊断采用苏木精-伊红染色,并加做免疫染色以诊断GIST。终点指标为组织病理学诊断阳性率。对接受手术治疗的GIST还采用米耶蒂宁分类和改良弗莱彻分类进行风险评估。

结果

肿瘤平均直径为15.4毫米。7例患者肿瘤直径≥20毫米,23例患者肿瘤直径<20毫米。组织获取率为93.3%。2例患者未能做出组织学诊断。唯一的并发症是1例患者在操作过程中出血,需要内镜止血,但随后未再出血或术后无出血情况。

结论

MCB是诊断胃SMT的一种合适且安全的方法。如果医院具备包括技能和设备在内的开展内镜黏膜下剥离术的环境,许多医院将能够开展MCB。

https://cdn.ncbi.nlm.nih.gov/pmc/blobs/fd47/6525918/a9859eba4e43/GRP2019-3121695.001.jpg

相似文献

1
Examine the Availability and Safety of Mucosal Cutting Biopsy Technique for Diagnosis of Gastric Submucosal Tumor.
Gastroenterol Res Pract. 2019 May 2;2019:3121695. doi: 10.1155/2019/3121695. eCollection 2019.
2
Efficacy of Mucosal Cutting Biopsy for the Histopathological Diagnosis of Gastric Submucosal Tumors.
Case Rep Gastroenterol. 2019 Apr 9;13(1):185-194. doi: 10.1159/000499442. eCollection 2019 Jan-Apr.
5
Evaluation of gastric submucosal tumors using endoscopically visualized features with submucosal endoscopy.
Oncol Lett. 2014 Jul;8(1):161-168. doi: 10.3892/ol.2014.2126. Epub 2014 May 8.
6
Diagnostic potential of endoscopic ultrasonography-elastography for gastric submucosal tumors: A pilot study.
Dig Endosc. 2016 Mar;28(2):173-8. doi: 10.1111/den.12569. Epub 2015 Dec 10.
7
Submucosal Tunnel Endoscopic Resection of Gastric Lesion Before Obesity Surgery: a Case Series.
Obes Surg. 2020 Nov;30(11):4636-4642. doi: 10.1007/s11695-020-04928-z. Epub 2020 Aug 17.
9
Mucosal cutting biopsy technique for histological diagnosis of suspected gastrointestinal stromal tumors of the stomach.
Dig Endosc. 2013 May;25(3):274-80. doi: 10.1111/j.1443-1661.2012.01384.x. Epub 2012 Nov 8.

引用本文的文献

1
A case of non-esophageal eosinophilic gastrointestinal disease diagnosed by mucosal incision-assisted biopsy.
Clin J Gastroenterol. 2024 Apr;17(2):228-233. doi: 10.1007/s12328-023-01905-8. Epub 2024 Jan 6.
3
Successful Diagnosis of Gastric Heterotopic Pancreas Using Direct-Observation Biopsy by Mucosal Cutting.
ACG Case Rep J. 2021 Dec 28;9(1):e00738. doi: 10.14309/crj.0000000000000738. eCollection 2022 Jan.
4
Advancements in the Diagnosis of Gastric Subepithelial Tumors.
Gut Liver. 2022 May 15;16(3):321-330. doi: 10.5009/gnl210242.

本文引用的文献

1
Prospective comparative study of endoscopic ultrasonography-guided fine-needle biopsy and unroofing biopsy.
Dig Liver Dis. 2019 Jun;51(6):831-836. doi: 10.1016/j.dld.2019.01.028. Epub 2019 Feb 19.
3
Gastric gastrointestinal stromal tumor smaller than 20 mm with liver metastasis.
Clin J Gastroenterol. 2013 Feb;6(1):29-32. doi: 10.1007/s12328-012-0351-0. Epub 2013 Jan 9.
6
Clinical usefulness of endoscopic ultrasound-guided fine needle aspiration for gastric subepithelial lesions smaller than 2 cm.
J Gastrointestin Liver Dis. 2014 Dec;23(4):405-12. doi: 10.15403/jgld.2014.1121.234.eug.
8
Slow pull versus suction in endoscopic ultrasound-guided fine-needle aspiration of pancreatic solid masses.
Dig Dis Sci. 2014 Jul;59(7):1578-85. doi: 10.1007/s10620-013-3019-9. Epub 2014 Jan 16.
9
Fine-needle tissue acquisition from subepithelial lesions using a forward-viewing linear echoendoscope.
Endoscopy. 2014 Jan;46(1):39-45. doi: 10.1055/s-0033-1344895. Epub 2013 Nov 11.

文献AI研究员

20分钟写一篇综述,助力文献阅读效率提升50倍。

立即体验

用中文搜PubMed

大模型驱动的PubMed中文搜索引擎

马上搜索

文档翻译

学术文献翻译模型,支持多种主流文档格式。

立即体验