Suppr超能文献

在感染性腹主动脉移植物切除术前,通过肝肾旁路和脾肾旁路来维持肾脏灌注。

Preservation of renal perfusion by hepatorenal and splenorenal bypasses before explantation of an infected abdominal aortic endograft.

作者信息

Glousman Brandon Neil, Macsata Robyn, Catalanotti Jillian, Sarin Shawn, Sidawy Anton, Nguyen Bao-Ngoc

机构信息

Department of Surgery, George Washington University, Washington, D.C.

Department of Medicine, George Washington University, Washington, D.C.

出版信息

J Vasc Surg Cases Innov Tech. 2019 Apr 28;5(2):139-142. doi: 10.1016/j.jvscit.2018.12.012. eCollection 2019 Jun.

Abstract

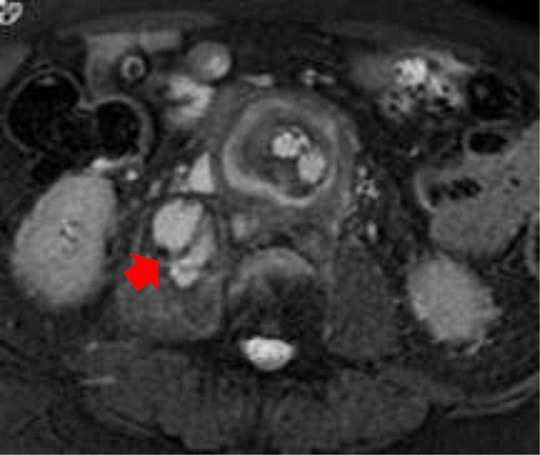
We report the case of an 82-year-old patient with an infected abdominal aortic endograft who presented with a right psoas abscess and lumbar osteomyelitis. The psoas abscess was drained percutaneously. Fluid obtained grew The patient, an active and highly functional individual, wished to pursue definitive management. The infected endograft was surgically removed, and the aorta was ligated above the renal arteries after staged axillary-bifemoral, hepatorenal, and splenorenal bypasses.

摘要

我们报告了一例82岁感染性腹主动脉内移植物患者,该患者出现右腰大肌脓肿和腰椎骨髓炎。经皮引流了腰大肌脓肿。引流获得的液体培养出……该患者积极且功能良好,希望进行确定性治疗。手术切除了感染的内移植物,并在分期进行腋-双股、肝-肾和脾-肾旁路手术后,在肾动脉上方结扎了主动脉。

https://cdn.ncbi.nlm.nih.gov/pmc/blobs/922f/6529692/2da0c65bb9d7/gr1.jpg

文献AI研究员

20分钟写一篇综述,助力文献阅读效率提升50倍。

立即体验

用中文搜PubMed

大模型驱动的PubMed中文搜索引擎

马上搜索

文档翻译

学术文献翻译模型,支持多种主流文档格式。

立即体验