Suppr超能文献

嗜酸性粒细胞性食管炎的自发性全层穿孔:罕见病例报告及食管支架置入的作用

Spontaneous transmural perforation in eosinophilic esophagitis: RARE case presentation and role of esophageal stenting.

作者信息

Issa Danny, Alwatari Yahya, Smallfield George B, Shah Rachit D

机构信息

Division of Gastroenterology, Hepatology and Nutrition, Virginia Commonwealth University School of Medicine, Richmond Virginia, USA.

Division of Cardiothoracic Surgery, Virginia Commonwealth University School of Medicine, Richmond Virginia, USA.

出版信息

J Surg Case Rep. 2019 Jun 14;2019(6):rjz190. doi: 10.1093/jscr/rjz190. eCollection 2019 Jun.

Abstract

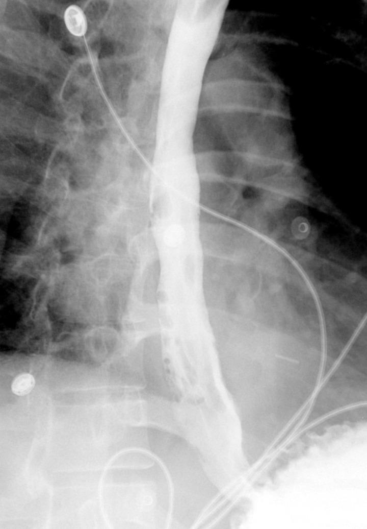
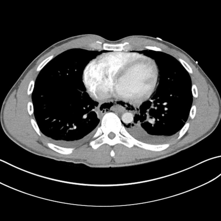
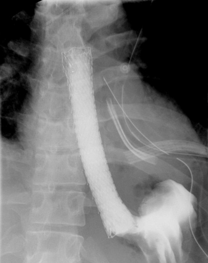
Eosinophilic esophagitis (EoE) is a rare disease of the esophagus that is characterized by eosinophilic infiltrate within the esophageal mucosa resulting in chronic inflammation and stenosis. It typically presents with symptoms of esophageal dysfunction with dysphagia and food impaction being the most common presenting complaints. Herein we describe a rare case presentation of a young patient with spontaneous esophageal perforation in the setting of undiagnosed EoE. We suggest that the placement of a covered esophageal stent can provide full closure of the perforation and restoration of the integrity of the GI tract without the need for more invasive open repair. The patient had a short recovery time with no reported postoperative complications upon 30 months follow up. We believe that it's important to consider and rule out EoE in patients with a history of dysphagia and esophageal perforation.

摘要

嗜酸性粒细胞性食管炎(EoE)是一种罕见的食管疾病,其特征是食管黏膜内嗜酸性粒细胞浸润,导致慢性炎症和狭窄。它通常表现为食管功能障碍的症状,吞咽困难和食物嵌塞是最常见的主诉。在此,我们描述了一例年轻患者在未诊断出EoE的情况下发生自发性食管穿孔的罕见病例。我们认为,放置带膜食管支架可以完全封闭穿孔并恢复胃肠道的完整性,而无需进行更具侵入性的开放修复。该患者恢复时间短,在30个月的随访中未报告术后并发症。我们认为,对于有吞咽困难和食管穿孔病史的患者,考虑并排除EoE很重要。

https://cdn.ncbi.nlm.nih.gov/pmc/blobs/0516/6565819/b0e793bcbc3b/rjz190f01.jpg

文献AI研究员

20分钟写一篇综述,助力文献阅读效率提升50倍。

立即体验

用中文搜PubMed

大模型驱动的PubMed中文搜索引擎

马上搜索

文档翻译

学术文献翻译模型,支持多种主流文档格式。

立即体验