Bacha Dhouha, Sassi Asma, Slama Sana Ben, Nefiss Mouadh, Gharbi Lassad, Bouraoui Saadia, Lahmar Ahlem
Service d'Anatomie et de Cytologie Pathologiques, Hôpital Mongi Slim, La Marsa, Tunis, Tunisie.
Service de Chirurgie Viscérale et Orthopédique, Hôpital Mongi Slim, La Marsa, Tunis, Tunisie.
Pan Afr Med J. 2019 Feb 12;32:74. doi: 10.11604/pamj.2019.32.74.18076. eCollection 2019.
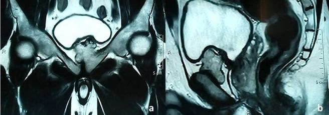
Osteochondroma is the most common benign bone tumor. It usually affects the metaphyses of the long bones, in particular around the knee and the proximal humerus. It very rarely affects the pubic symphysis, usually with an atypical symptomatology. We here report the case of a 35-year old man in whom osteochondroma in the pubic symphysis encroaching on the iliopubic branch was fortuitously discovered. Radiological examinations as well as macroscopic and histological examination confirmed the diagnosis and the absence of signs of malignancy.
骨软骨瘤是最常见的良性骨肿瘤。它通常影响长骨的干骺端,尤其是膝关节和肱骨近端周围。它极少影响耻骨联合,通常伴有非典型症状。我们在此报告一例35岁男性,其耻骨联合处的骨软骨瘤侵犯髂耻支,系偶然发现。影像学检查以及大体和组织学检查均证实了诊断且无恶性征象。