Shenbaghavalli T, Harshavardhan J K Giriraj, Menon P Gopinath
Department of Orthopaedic Surgery, Sri Ramachandra Medical College and Research Institute, Sri Ramachandra Institute of Higher Education and Research, Chennai, Tamil Nadu, India.
Department of Orthopaedics, Sri Ramachandra Medical College and Research Institute, Sri Ramachandra Institute of Higher Education and Research, Chennai, Tamil Nadu. India.
J Orthop Case Rep. 2019 Jan-Feb;9(1):49-52. doi: 10.13107/jocr.2250-0685.1304.
Oncogenic osteomalacia is a rare paraneoplastic syndrome of acquired hypophosphatemic osteomalacia, resulting from a deficit in renal tubular phosphate reabsorption, in which fibroblast growth factor 23 seems to be implicated.
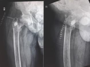
A 42-year-old male presented with complaints of low back pain for the past 4 years and inability to walk for the past 3 years. Blood investigations showed hypophosphatemia and elevated serum alkaline phosphatase. Radiographs and magnetic resonance imaging revealed features of osteomalacia. DOTONAC PET-computed tomography (CT) showed a lesion in the greater trochanter suggestive of a phosphaturic mesenchymal tumor. CT-guided biopsy of the lesion was done which confirmed the diagnosis. The tumor was resected by intralesional methods (burring and cementation) with correction of hypophosphatemia by oral phosphorus supplementation. Patient clinically improved and was able to walk with support at the time of discharge.
Phosphaturic tumor was localized to be in the posterior aspect of the right greater trochanter. To find the tumor was a major diagnostic challenge involving various diagnostic modalities. The occurrence of such a condition is rare and it may take even years to correctly diagnose the disease.
致癌性骨软化症是一种罕见的副肿瘤综合征,表现为获得性低磷性骨软化症,由肾小管磷重吸收缺陷引起,其中成纤维细胞生长因子23似乎与之相关。
一名42岁男性,主诉过去4年有腰痛,过去3年无法行走。血液检查显示低磷血症和血清碱性磷酸酶升高。X线片和磁共振成像显示骨软化症特征。DOTONAC正电子发射断层扫描-计算机断层扫描(PET-CT)显示大转子处有一个病变,提示为磷尿性间叶肿瘤。对该病变进行了CT引导下活检,确诊了病情。通过病灶内方法(磨钻和骨水泥填充)切除肿瘤,并通过口服补充磷纠正低磷血症。患者临床症状改善,出院时能够在辅助下行走。
磷尿性肿瘤定位于右大转子后侧。发现该肿瘤是一项重大诊断挑战,涉及多种诊断方法。这种情况很罕见,可能需要数年时间才能正确诊断该疾病。