Khanduri Sachin, Imam Tariq, Khan Mazhar, Khan Shahla, Khan Ahmad Umar
Radiology, Era's Lucknow Medical College and Hospital, Lucknow, IND.
Radiodiagnosis, Era's Lucknow Medical College and Hospital, Lucknow, IND.
Cureus. 2019 Apr 20;11(4):e4504. doi: 10.7759/cureus.4504.
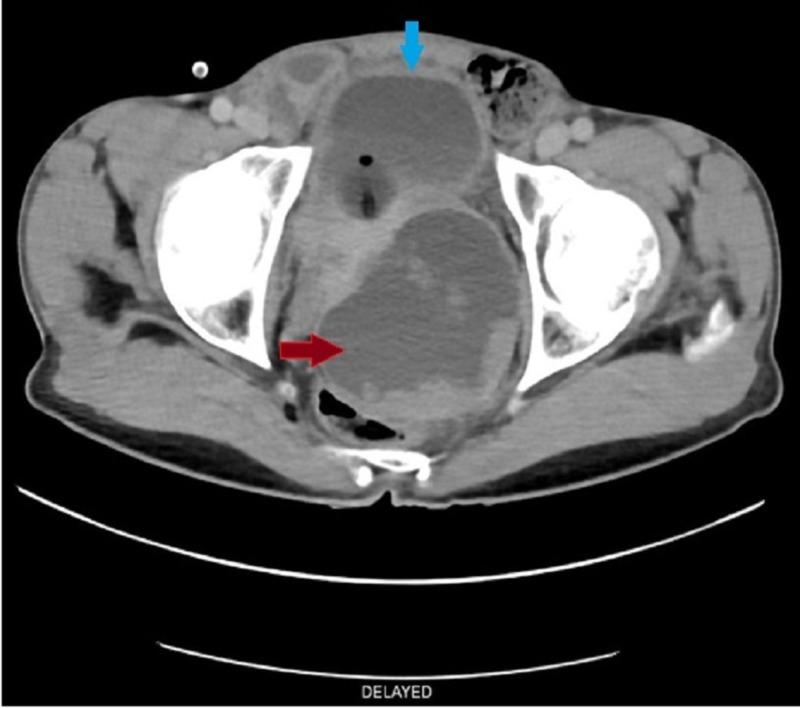
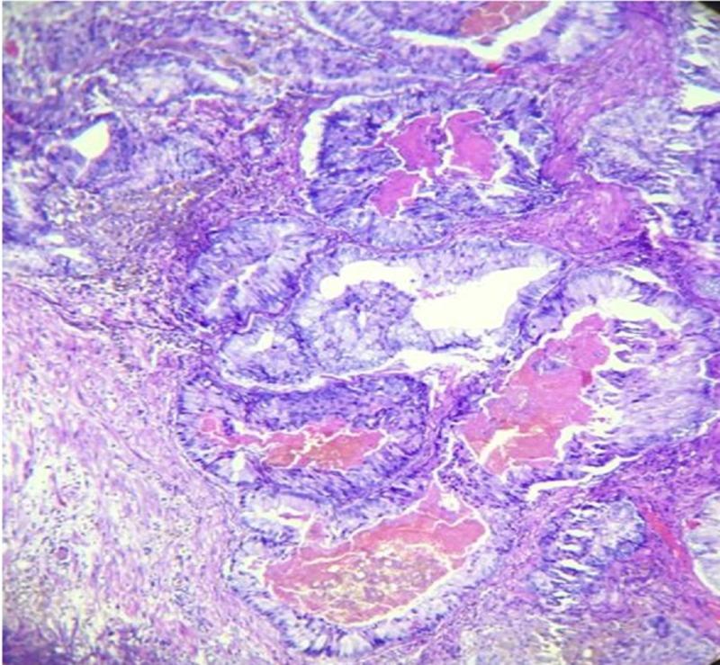
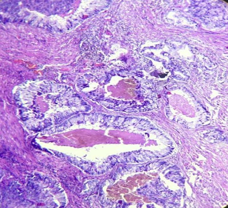
Prostatic ductal adenocarcinoma, is an uncommon entity in the spectrum of prostatic carcinoma. Clinically it is different from common prostatic acinar adenocarcinoma. It is usually more aggressive than prostatic acinar adenocarcinoma. We are presenting a case report on prostatic ductal adenocarcinoma, a cystic variant of prostatic carcinoma in a 55-year-old man who complained of obstructive urinary symptoms with mildly raised prostate-specific antigen (PSA). On further evaluation in our radiology department a cystic lesion with enhancing polypoidal soft tissue component was noted in prostatic parenchyma. Histopathology confirmed the diagnosis of ductal adenocarcinoma.
前列腺导管腺癌是前列腺癌谱系中一种不常见的类型。在临床上,它与常见的前列腺腺泡腺癌不同。它通常比前列腺腺泡腺癌更具侵袭性。我们报告一例前列腺导管腺癌病例,这是一名55岁男性的前列腺癌囊性变异型,他主诉有梗阻性排尿症状,前列腺特异性抗原(PSA)轻度升高。在我们放射科进一步评估时,发现前列腺实质内有一个伴有强化息肉样软组织成分的囊性病变。组织病理学确诊为导管腺癌。