Suppr超能文献

罗勒叶和嫩枝乙醇提取物在细胞因子刺激的角质形成细胞中的抗炎作用。

Anti-inflammatory effects of ethanol extract from the leaves and shoots of L. in cytokine-stimulated keratinocytes.

作者信息

Lee Han-Sol, Park Ji-Won, Kwon Ok-Kyoung, Lim Yourim, Kim Jung Hee, Kim Soo-Yong, Zamora Nelson, Rosales Kattia, Choi Sangho, Oh Sei-Ryang, Ahn Kyung-Seop

机构信息

Natural Medicine Research Center, Korea Research Institute of Bioscience and Biotechnology, Cheonju, Chungcheongbuk 28116, Republic of Korea.

College of Pharmacy, Chungbuk National University, Cheongju, Chungcheongbuk 28160, Republic of Korea.

出版信息

Exp Ther Med. 2019 Jul;18(1):833-840. doi: 10.3892/etm.2019.7639. Epub 2019 Jun 3.

Abstract

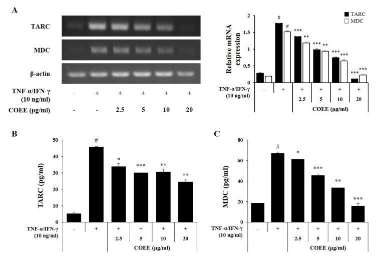
Cedrela odorata L. is a native plant of the Amazon region. The bark is used in folk remedies for the treatment of diarrhea, vomiting, fever and inflammation. Atopic dermatitis (AD) is a chronic, relapsing inflammatory skin disease accompanied by itching. It is a complex disease involving environmental factors and genetic factors. In the present study, the anti-inflammatory and anti-allergic effects of C. odorata L. methanol extract (COEE) on tumor necrosis factor (TNF)-α and interferon (IFN)-γ-stimulated HaCaT keratinocyte cells were investigated. ELISA and RT-PCR analysis revealed that the extract had anti-inflammatory effects, and reduced the interleukin (IL)-6 and IL-8 levels of the HaCaT cells. In addition, COEE exhibited anti-allergic effects, comprising a reduction in the thymus and activation-regulated chemokine and macrophage-derived chemokine levels. In addition, pathway analysis and comparison with Bay11-7082 indicated that these effects are due to the inhibition of nuclear factor (NF)-κB in TNF-α/IFN-γ-induced HaCaT cells. Therefore, the results of the present study suggest that COEE has anti-inflammatory and anti-allergic properties in TNF-α and IFN-γ-stimulated HaCaT cells, which are associated with the inhibition of pro-inflammatory cytokines and chemokines via the NF-κB pathway.

摘要

洋椿是亚马逊地区的本土植物。其树皮在民间疗法中用于治疗腹泻、呕吐、发烧和炎症。特应性皮炎(AD)是一种伴有瘙痒的慢性复发性炎症性皮肤病。它是一种涉及环境因素和遗传因素的复杂疾病。在本研究中,研究了洋椿甲醇提取物(COEE)对肿瘤坏死因子(TNF)-α和干扰素(IFN)-γ刺激的HaCaT角质形成细胞的抗炎和抗过敏作用。酶联免疫吸附测定(ELISA)和逆转录-聚合酶链反应(RT-PCR)分析显示,该提取物具有抗炎作用,并降低了HaCaT细胞的白细胞介素(IL)-6和IL-8水平。此外,COEE表现出抗过敏作用,包括胸腺和活化调节趋化因子以及巨噬细胞衍生趋化因子水平的降低。此外,通路分析以及与Bay11-7082的比较表明,这些作用是由于在TNF-α/IFN-γ诱导的HaCaT细胞中抑制了核因子(NF)-κB。因此,本研究结果表明,COEE在TNF-α和IFN-γ刺激的HaCaT细胞中具有抗炎和抗过敏特性,这与通过NF-κB途径抑制促炎细胞因子和趋化因子有关。

https://cdn.ncbi.nlm.nih.gov/pmc/blobs/e422/6591502/5e25d6beac6b/etm-18-01-0833-g00.jpg

文献AI研究员

20分钟写一篇综述,助力文献阅读效率提升50倍。

立即体验

用中文搜PubMed

大模型驱动的PubMed中文搜索引擎

马上搜索

文档翻译

学术文献翻译模型,支持多种主流文档格式。

立即体验