Suppr超能文献

一名患有神经纤维瘤病并并发子痫前期的年轻女性,其颈外动脉夹层假性动脉瘤的血管内栓塞治疗

Endovascular Embolization of a Dissected External Carotid Artery Pseudoaneurysm in a Young Female with Neurofibromatosis Complicated by Preeclampsia.

作者信息

Lalla Sasha, Seecheran Rajeev, Seecheran Valmiki, Persad Sangeeta, Henry Ronald, Seecheran Naveen Anand

机构信息

Advanced Cardiovascular Institute, Port of Spain, Trinidad And Tobago.

University of the West Indies, St. Augustine, Trinidad And Tobago.

出版信息

Case Rep Vasc Med. 2019 Jun 12;2019:6020393. doi: 10.1155/2019/6020393. eCollection 2019.

Abstract

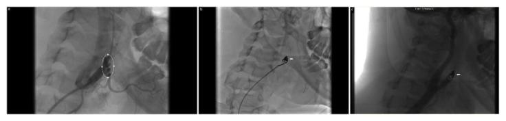
Carotid artery pseudoaneurysms are infrequently encountered in clinical practice. Major contributory etiologies include blunt trauma, infections, cystic medial necrosis, fibromuscular dysplasia, arteriosclerosis, and congenital abnormalities. The authors report an exceedingly rare case of a dissected external carotid artery pseudoaneurysm in a 26-year-old female patient with neurofibromatosis complicated by preeclampsia at 28-week period of gestation, safely and successfully treated by coil embolization.

摘要

颈动脉假性动脉瘤在临床实践中并不常见。主要病因包括钝性创伤、感染、囊性中层坏死、纤维肌发育不良、动脉硬化和先天性异常。作者报告了一例极为罕见的病例,一名26岁患有神经纤维瘤病且在妊娠28周时并发先兆子痫的女性患者,出现了颈外动脉夹层假性动脉瘤,通过弹簧圈栓塞术得到了安全、成功的治疗。

https://cdn.ncbi.nlm.nih.gov/pmc/blobs/18bb/6594278/93db51ea35bb/CRIVAM2019-6020393.001.jpg

相似文献

4
Hemorrhage From Left Hepatic Artery Pseudoaneurysm as a Complication of Acute Pancreatitis in a Patient With Fibromuscular Dysplasia.
ACG Case Rep J. 2023 Jul 10;10(7):e01098. doi: 10.14309/crj.0000000000001098. eCollection 2023 Jul.
5
Endovascular treatment of traumatic carotid pseudoaneurysm with stenting and coil embolization.
Ann Vasc Surg. 2008 Jul-Aug;22(4):564-7. doi: 10.1016/j.avsg.2008.01.006.
7
Endoluminal stent placement and coil embolization for the management of carotid artery pseudoaneurysms.
J Endovasc Ther. 2001 Feb;8(1):53-61. doi: 10.1177/152660280100800109.
8
Postcarotid endarterectomy pseudoaneurysm treated with combined stent graft and coil embolization--a case report.
Vasc Endovascular Surg. 2005 Mar-Apr;39(2):191-4. doi: 10.1177/153857440503900209.

本文引用的文献

2
Endovascular stenting of extracranial carotid artery aneurysm: a systematic review.
Eur J Vasc Endovasc Surg. 2011 Oct;42(4):419-26. doi: 10.1016/j.ejvs.2011.05.008. Epub 2011 Jun 8.
3
Renal artery stenosis due to neurofibromatosis.
Ann Pediatr Cardiol. 2009 Jul;2(2):167-9. doi: 10.4103/0974-2069.58323.
4
Extracranial vertebral artery involvement in neurofibromatosis type I. Report of four cases and literature review.
Interv Neuroradiol. 2007 Dec;13(4):315-28. doi: 10.1177/159101990701300402. Epub 2008 Feb 1.
5
Vascular wall invasion in neurofibromatosis-induced aortic rupture.
Vasc Endovascular Surg. 2010 Jan;44(1):52-5. doi: 10.1177/1538574409345033. Epub 2009 Oct 14.
6
Pseudoaneurysm of the external carotid artery--review of literature.
Head Neck. 2009 Jan;31(1):136-9. doi: 10.1002/hed.20855.
7
Vascular abnormalities in patients with neurofibromatosis syndrome type I: clinical spectrum, management, and results.
J Vasc Surg. 2007 Sep;46(3):475-484. doi: 10.1016/j.jvs.2007.03.055. Epub 2007 Jul 30.
8
Genetic aspects of neurocutaneous disorders.
Semin Pediatr Neurol. 2006 Mar;13(1):43-7. doi: 10.1016/j.spen.2006.01.010.
10
Cardiovascular disease in neurofibromatosis 1: report of the NF1 Cardiovascular Task Force.
Genet Med. 2002 May-Jun;4(3):105-11. doi: 10.1097/00125817-200205000-00002.

文献AI研究员

20分钟写一篇综述,助力文献阅读效率提升50倍。

立即体验

用中文搜PubMed

大模型驱动的PubMed中文搜索引擎

马上搜索

文档翻译

学术文献翻译模型,支持多种主流文档格式。

立即体验