Suppr超能文献

Incidental Detection of Urinary Bladder Herniation in F-Fluorodeoxyglucose Positron Emission Tomography/Computed Tomography Mimicking as Metastatic Deposit in the Inguinal Canal.

作者信息

Vadi Shelvin Kumar, Mittal Bhagwant Rai, Singh Harmandeep, Kumar Rajender, Dhiman Radha Krishan

机构信息

Department of Nuclear Medicine and PET/CT, Post Graduate Institute of Medical Education and Research, Chandigarh, India.

Department of Hepatology, Post Graduate Institute of Medical Education and Research, Chandigarh, India.

出版信息

Indian J Nucl Med. 2019 Jul-Sep;34(3):247-248. doi: 10.4103/ijnm.IJNM_38_19.

Abstract

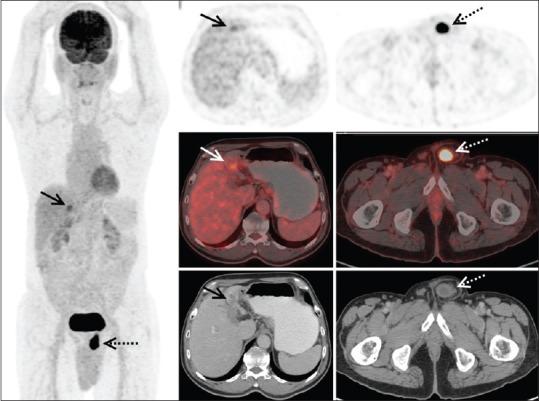
Although F-fluorodeoxyglucose (FDG) is the most extensively used tracer in oncological positron emission tomography/computed tomography (PET/CT) studies, various physiological as well as benign pathological conditions are known to cause false-positive results. This report describes F-FDG PET/CT done in an elderly man with primary hepatocellular carcinoma, revealing a metastasis mimicking lesion in the left inguinal canal, which was identified as the herniated portion of the urinary bladder. Though rare, bladder herniation, especially with a narrow neck, can be a pitfall in the evaluation for metastatic disease. The study also highlights the utility of delayed imaging in the evaluation of pelvic pathology.

摘要
https://cdn.ncbi.nlm.nih.gov/pmc/blobs/20d8/6593951/c293958cad29/IJNM-34-247-g001.jpg

文献AI研究员

20分钟写一篇综述,助力文献阅读效率提升50倍。

立即体验

用中文搜PubMed

大模型驱动的PubMed中文搜索引擎

马上搜索

文档翻译

学术文献翻译模型,支持多种主流文档格式。

立即体验