Suppr超能文献

Characterizing high-grade serous papillary carcinoma of tunica vaginalis.

作者信息

Qu Liang G, Teh Jiasian, Mitchell Catherine, Gyorki David E, Hicks Rodney J, Murphy Declan G

机构信息

Department of Urology, Austin Health, Heidelberg, Victoria, Australia.

Division of Cancer Surgery, Peter MacCallum Cancer Centre, Melbourne, Australia.

出版信息

Urol Case Rep. 2019 Jun 21;26:100949. doi: 10.1016/j.eucr.2019.100949. eCollection 2019 Sep.

Abstract

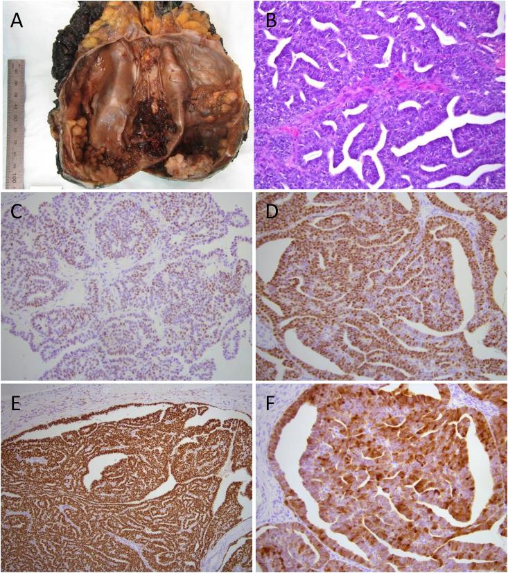
Serous carcinomas of the testis or para-testis are extremely rare tumors of Mullerian type. We report a case of high-grade serous papillary carcinoma of the tunica vaginalis, treated with radical orchiectomy and hemi-scrotectomy after being referred for a rapidly growing painless scrotal mass. In addition to negative testicular tumor markers, scrotal ultrasound, and conventional computerized tomography (CT) scanning, this patient's workup included a positron emission tomography (PET) scan using F-18-fluoro-deoxyglucose (FDG), demonstrating metabolically avid uptake of the disease. This patient is completing ongoing close follow up and is currently disease free at nine months post definitive treatment.

摘要
https://cdn.ncbi.nlm.nih.gov/pmc/blobs/0f27/6600708/89373afd9d77/gr1.jpg

文献AI研究员

20分钟写一篇综述,助力文献阅读效率提升50倍。

立即体验

用中文搜PubMed

大模型驱动的PubMed中文搜索引擎

马上搜索

文档翻译

学术文献翻译模型,支持多种主流文档格式。

立即体验