Suppr超能文献

骨骼未成熟患者髌股内侧韧带重建中锚钉近端移位

Anchor proximal migration in the medial patellofemoral ligament reconstruction in skeletally immature patients.

作者信息

Kupczik Fabiano, Gunia Schiavon Marlus Eduardo, Sbrissia Bruno, de Almeida Vieira Lucas, de Moura Bonilha Thiago

机构信息

MSc in Surgery from Pontifícia Universidade Católica do Paraná (PUC-PR); Head of the Knee Surgery Group, Hospital Universitário Cajuru, PUC-PR, Curitiba, PR, Brazil.

Orthopedist and Traumatologist; Member of the Knee Surgery Group, Hospital Universitário Cajuru, PUC-PR, Curitiba, PR, Brazil.

出版信息

Rev Bras Ortop. 2013 Oct 18;48(5):465-468. doi: 10.1016/j.rboe.2013.01.002. eCollection 2013 Sep-Oct.

Abstract

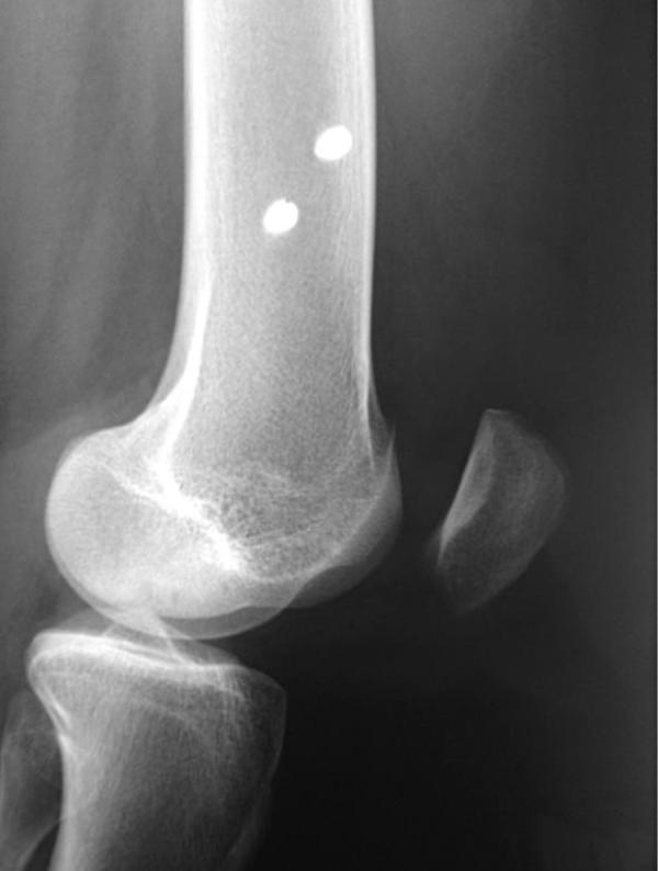
The medial patellofemoral ligament (MPFL) injury has been considered instrumental in lateral patellar instability after patellar dislocation. Consequently, the focus on the study of this ligament reconstruction has increased in recent years. The MPFL femoral anatomical origin point has great importance at the moment of reconstruction surgery, because a graft fixation in a non anatomical position may result in medial overload, medial subluxation of the patella or excessive tensioning of the graft with subsequent failure. In the pediatric population, the location of this point is highlighted by the presence of femoral physis. The literature is still controversial regarding the best placement of the graft. We describe two cases of skeletally immature patients in whom LPFM reconstruction was performed. The femoral fixation was through anchors that were placed above the physis. With the growth and development of the patients, the femoral origin point of the graft moved proximally, resulting in failure in these two cases.

摘要

髌股内侧韧带(MPFL)损伤被认为是髌骨脱位后髌骨外侧不稳定的重要因素。因此,近年来对该韧带重建的研究关注度有所增加。MPFL在股骨上的解剖学起点在重建手术中非常重要,因为将移植物固定在非解剖位置可能会导致内侧负荷过重、髌骨内侧半脱位或移植物过度张紧继而失效。在儿童群体中,由于存在股骨骨骺,这一点的位置更为突出。关于移植物的最佳放置位置,文献中仍存在争议。我们描述了两例骨骼未成熟患者进行LPFM重建的病例。股骨固定是通过置于骨骺上方的锚钉进行的。随着患者的生长发育,移植物的股骨起点向近端移动,导致这两例手术失败。

https://cdn.ncbi.nlm.nih.gov/pmc/blobs/1a35/6565963/8d07ac9a27a7/gr1.jpg

文献AI研究员

20分钟写一篇综述,助力文献阅读效率提升50倍。

立即体验

用中文搜PubMed

大模型驱动的PubMed中文搜索引擎

马上搜索

文档翻译

学术文献翻译模型,支持多种主流文档格式。

立即体验