Suppr超能文献

脾切除术后原发性脾血管肉瘤肝转移及其基因组改变图谱。

A primary splenic angiosarcoma hepatic metastasis after splenectomy and its genomic alteration profile.

作者信息

Cao Linping, Hong Jiawei, Wang Yacong, Yu Jun, Ma Ruobing, Li Jia, Wu Jian, Zheng Shusen

机构信息

Division of Hepatobiliary and Pancreatic Surgery, Department of Surgery.

Key Lab of Combined Multi-Organ Transplantation, Ministry of Public Health.

出版信息

Medicine (Baltimore). 2019 Jul;98(28):e16245. doi: 10.1097/MD.0000000000016245.

Abstract

RATIONALE

Primary splenic angiosarcoma (PSA) is a rare mesenchymal malignancy of the splenic vascular origin often with a dismal prognosis. Genomic profile may provide evidence for the solution of therapy.

PATIENT CONCERNS

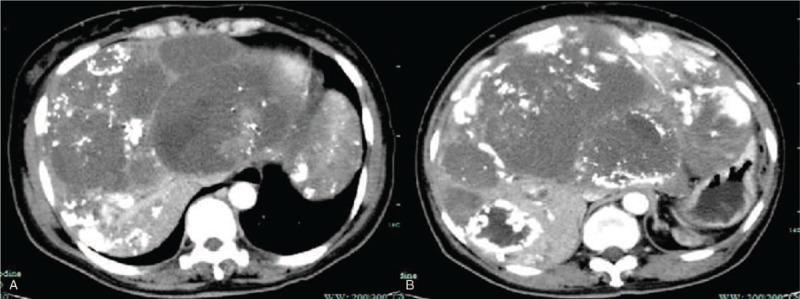
We reported a case of a 51-year-old woman with splenectomy 4 years ago and the postoperative histopathology diagnosis revealed "splenic hemangioma" with spontaneous rupture. Two years after the operation, the patient's rechecked abdominal computed tomography (CT) showed multiple hepatic occupations.

DIAGNOSES

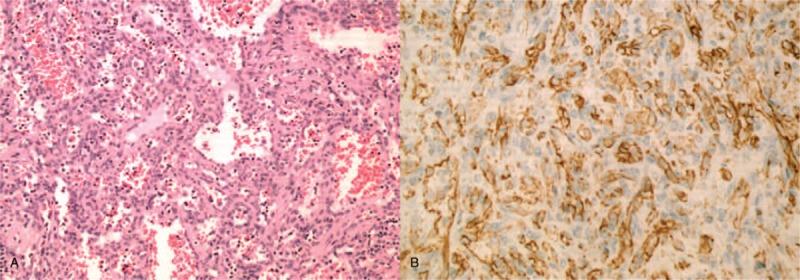
Pathological test suggested PSA hepatic metastasis.

INTERVENTIONS

The patient was treated with trans-catheter arterial chemoembolization (TACE) and a pathological diagnosis of PSA was highly suspected in the hepatic biopsy. Four somatic alterations, phosphatidylinositol-4,5-bisphosphate 3-kinase catalytic subunit alpha (PIK3CA), Fos proto-oncogene, AP-1 transcription factor subunit (FOS), MCL1 apoptosis regulator (MCL1), and phosphoinositide-3-kinase regulatory subunit 1 (PIK3R1) were detected in the tumor tissue using a Next generation sequencing (NGS) technology. The results prompted that the patient may get clinical benefit from using some agents for targeted therapy, Everolimus, Temsirolimus, or Copanlisib.

OUTCOMES

The patient refused targeted therapy. As a result, the patient passed away within 51 months after splenectomy.

LESSONS

PSA is an aggressive disease that often presented with a high propensity for metastasis and rupture hemorrhage. Some of these mutations were first discovered in PSA and these findings added new contents to the genomic mutation profile of PSA.

摘要

理论依据

原发性脾血管肉瘤(PSA)是一种罕见的起源于脾脏血管的间叶性恶性肿瘤,预后通常很差。基因组特征可为治疗方案的制定提供依据。

患者情况

我们报告了一例51岁女性患者,4年前接受了脾切除术,术后组织病理学诊断为“脾血管瘤”且发生了自发性破裂。术后两年,患者复查腹部计算机断层扫描(CT)显示肝脏有多处占位。

诊断

病理检查提示为PSA肝转移。

干预措施

对患者进行了经导管动脉化疗栓塞术(TACE),肝活检高度怀疑为PSA。使用下一代测序(NGS)技术在肿瘤组织中检测到四个体细胞改变,分别是磷脂酰肌醇-4,5-二磷酸3-激酶催化亚基α(PIK3CA)、原癌基因Fos、AP-1转录因子亚基(FOS)、MCL1凋亡调节因子(MCL1)和磷脂酰肌醇-3-激酶调节亚基1(PIK3R1)。结果提示该患者使用依维莫司、替西罗莫司或库潘尼西布等靶向治疗药物可能会有临床获益。

结果

患者拒绝了靶向治疗。结果,患者在脾切除术后51个月内去世。

经验教训

PSA是一种侵袭性疾病,常表现出高转移倾向和破裂出血。其中一些突变首次在PSA中被发现,这些发现为PSA的基因组突变谱增添了新内容。

https://cdn.ncbi.nlm.nih.gov/pmc/blobs/af17/6641855/b8d0ed5e07af/medi-98-e16245-g001.jpg

文献AI研究员

20分钟写一篇综述,助力文献阅读效率提升50倍。

立即体验

用中文搜PubMed

大模型驱动的PubMed中文搜索引擎

马上搜索

文档翻译

学术文献翻译模型,支持多种主流文档格式。

立即体验