Suppr超能文献

经皮超声引导下乙醇消融术治疗猫原发性甲状旁腺功能亢进

Percutaneous ultrasound-guided ethanol ablation for treatment of primary hyperparathyroidism in a cat.

作者信息

Riehl Valentina, Hartmann Antje, Rohrberg Antje, Neiger Reto

机构信息

Veterinary Clinic Hofheim, Hofheim am Taunus, Germany.

出版信息

JFMS Open Rep. 2019 Jul 1;5(2):2055116919860276. doi: 10.1177/2055116919860276. eCollection 2019 Jul-Dec.

Abstract

CASE SUMMARY

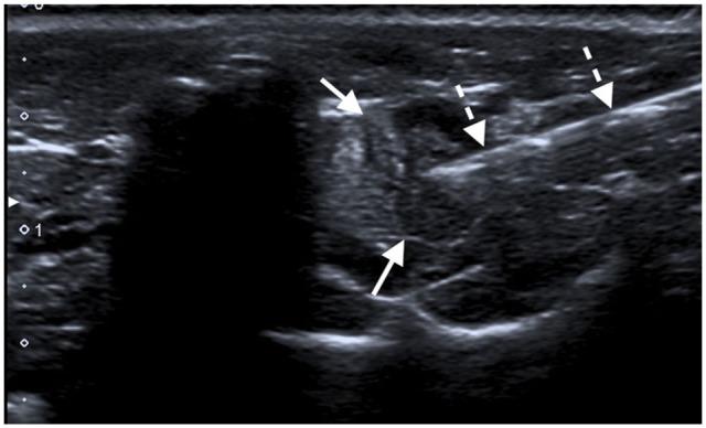
A 9-year-old male neutered European Shorthair cat was presented owing to vomiting and mild weight loss. Clinical examination was normal, but biochemistry results showed increased concentrations of total calcium (4.05 mmol/l; reference interval [RI] 2.20-2.90 mmol/l) and ionised calcium (iCa) (2.19 mmol/l; RI 1.12-1.40 mmol/l), as well as hypophosphataemia (2.5 mg/dl; RI 3.1-7.5 mg/dl). Parathyroid hormone (PTH) concentration (>1000 pg/ml) was markedly increased, while parathyroid hormone-related protein concentration (<0.8 pmol/l) was normal. Neck ultrasound showed a large left parathyroid mass (13 × 7 × 6 mm). Under general anaesthesia and with ultrasonographic guidance, a fine-needle aspiration of the mass followed by chemical ablation with 2 ml 96% ethanol was performed. The cat was re-evaluated and iCa concentration measured 24 h, 72 h, 5 days, 4 weeks and 4 months post-ablation. Normocalcaemia was reached within 24 h, remained stable throughout the whole evaluation period and the concentration of PTH normalised 4 months later. Vomiting stopped promptly after chemical ablation and a slight change in voice, as well as a mild prolapse of the nictitating membrane, were the only side effects after the treatment but resolved some weeks later.

RELEVANCE AND NOVEL INFORMATION

To our knowledge, this is the first report of successful chemical ablation of a parathyroid mass in a cat with primary hyperparathyroidism. Chemical ablation might therefore be a possible alternative to parathyroidectomy in cats.

摘要

病例摘要

一只9岁已绝育的欧洲短毛雄性猫因呕吐和轻度体重减轻前来就诊。临床检查正常,但生化检查结果显示总钙浓度升高(4.05 mmol/L;参考区间[RI] 2.20 - 2.90 mmol/L)、离子钙(iCa)浓度升高(2.19 mmol/L;RI 1.12 - 1.40 mmol/L)以及低磷血症(2.5 mg/dl;RI 3.1 - 7.5 mg/dl)。甲状旁腺激素(PTH)浓度显著升高(>1000 pg/ml),而甲状旁腺激素相关蛋白浓度正常(<0.8 pmol/L)。颈部超声显示左侧甲状旁腺有一个较大肿块(13×7×6 mm)。在全身麻醉和超声引导下,对肿块进行细针穿刺,随后用2 ml 96%乙醇进行化学消融。在消融后24小时、72小时、5天、4周和4个月对猫进行重新评估并测量iCa浓度。消融后24小时内血钙恢复正常,在整个评估期内保持稳定,4个月后PTH浓度恢复正常。化学消融后呕吐立即停止,治疗后唯一的副作用是声音略有变化以及瞬膜轻度脱垂,但几周后症状消失。

相关性和新信息

据我们所知,这是第一例关于成功对患有原发性甲状旁腺功能亢进的猫的甲状旁腺肿块进行化学消融的报告。因此,化学消融可能是猫甲状旁腺切除术的一种替代方法。

https://cdn.ncbi.nlm.nih.gov/pmc/blobs/acf0/6607573/b11039fb3d9d/10.1177_2055116919860276-fig1.jpg

文献AI研究员

20分钟写一篇综述,助力文献阅读效率提升50倍。

立即体验

用中文搜PubMed

大模型驱动的PubMed中文搜索引擎

马上搜索

文档翻译

学术文献翻译模型,支持多种主流文档格式。

立即体验