• 文献检索
  • 文档翻译
  • 深度研究
  • 学术资讯
  • Suppr Zotero 插件Zotero 插件
  • 邀请有礼
  • 套餐&价格
  • 历史记录
应用&插件
Suppr Zotero 插件Zotero 插件浏览器插件Mac 客户端Windows 客户端微信小程序
定价
高级版会员购买积分包购买API积分包
服务
文献检索文档翻译深度研究API 文档MCP 服务
关于我们
关于 Suppr公司介绍联系我们用户协议隐私条款
关注我们

Suppr 超能文献

核心技术专利:CN118964589B侵权必究
粤ICP备2023148730 号-1Suppr @ 2026

文献检索

告别复杂PubMed语法,用中文像聊天一样搜索,搜遍4000万医学文献。AI智能推荐,让科研检索更轻松。

立即免费搜索

文件翻译

保留排版,准确专业,支持PDF/Word/PPT等文件格式,支持 12+语言互译。

免费翻译文档

深度研究

AI帮你快速写综述,25分钟生成高质量综述,智能提取关键信息,辅助科研写作。

立即免费体验

轻松实现间隙恢复:一例严重低位阻生乳磨牙病例

Space Regaining Made Easy: The Case of a Severely Infraoccluded Primary Molar.

作者信息

Garcovich Daniele, Aiuto Riccardo, Martin Milagros Adobes

机构信息

Universidad Europea de Valencia and the Department of Pediatric Dentistry, CEU-UCH, Spain.

University of Milan-Department of Oral Rehabilitation, Istituto Stomatologico Italiano, Italy.

出版信息

Case Rep Dent. 2019 Jun 11;2019:6916839. doi: 10.1155/2019/6916839. eCollection 2019.

DOI:10.1155/2019/6916839
PMID:31308980
原文链接:https://pmc.ncbi.nlm.nih.gov/articles/PMC6594297/
Abstract

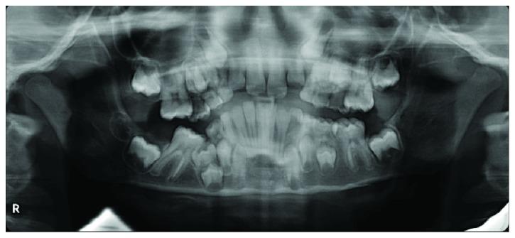
Infraocclusion of deciduous molars is a quite common but challenging clinical situation that a paediatric dentist has to face in his everyday practice. This anomaly can lead to space loss, eruption disturbances of the permanent successor, and deformation of the occlusal plane. A case of a severely infraoccluded primary molar is presented. The treatment was carried out using a compressed NiTi wire applied only to the adjacent teeth. In three months, the space was recovered, and the infraoccluded temporary molar was extracted. After one year, the permanent successor erupted without any complication. The technique presented can be considered minimally invasive, and it involves cost- and time-efficient mechanics.

摘要

乳牙低位咬合是儿科牙医在日常临床实践中经常遇到但颇具挑战性的情况。这种异常可能导致间隙丧失、恒牙胚萌出障碍以及咬合平面变形。本文介绍了一例严重低位咬合的乳牙病例。治疗采用仅应用于相邻牙齿的压缩镍钛丝。三个月后,间隙恢复,低位咬合的乳牙被拔除。一年后,恒牙顺利萌出,未出现任何并发症。所介绍的技术可被视为微创技术,且具有成本效益高和省时的特点。

https://cdn.ncbi.nlm.nih.gov/pmc/blobs/7e7d/6594297/77515e302bfd/CRID2019-6916839.005.jpg
https://cdn.ncbi.nlm.nih.gov/pmc/blobs/7e7d/6594297/dc6a4e55edf6/CRID2019-6916839.001.jpg
https://cdn.ncbi.nlm.nih.gov/pmc/blobs/7e7d/6594297/9b58e232afdc/CRID2019-6916839.002.jpg
https://cdn.ncbi.nlm.nih.gov/pmc/blobs/7e7d/6594297/c7f178fa84ab/CRID2019-6916839.003.jpg
https://cdn.ncbi.nlm.nih.gov/pmc/blobs/7e7d/6594297/d492790416f0/CRID2019-6916839.004.jpg
https://cdn.ncbi.nlm.nih.gov/pmc/blobs/7e7d/6594297/77515e302bfd/CRID2019-6916839.005.jpg
https://cdn.ncbi.nlm.nih.gov/pmc/blobs/7e7d/6594297/dc6a4e55edf6/CRID2019-6916839.001.jpg
https://cdn.ncbi.nlm.nih.gov/pmc/blobs/7e7d/6594297/9b58e232afdc/CRID2019-6916839.002.jpg
https://cdn.ncbi.nlm.nih.gov/pmc/blobs/7e7d/6594297/c7f178fa84ab/CRID2019-6916839.003.jpg
https://cdn.ncbi.nlm.nih.gov/pmc/blobs/7e7d/6594297/d492790416f0/CRID2019-6916839.004.jpg
https://cdn.ncbi.nlm.nih.gov/pmc/blobs/7e7d/6594297/77515e302bfd/CRID2019-6916839.005.jpg

相似文献

1
Space Regaining Made Easy: The Case of a Severely Infraoccluded Primary Molar.轻松实现间隙恢复:一例严重低位阻生乳磨牙病例
Case Rep Dent. 2019 Jun 11;2019:6916839. doi: 10.1155/2019/6916839. eCollection 2019.
2
Infraocclusion of primary molars. An epidemiological, familial, longitudinal clinical and histological study.乳牙低位咬合。一项流行病学、家族性、纵向临床及组织学研究。
Swed Dent J Suppl. 1984;21:1-67.
3
Atypical retention of infraoccluded primary molars with permanent successor teeth.伴有恒牙胚的低位乳牙的非典型滞留。
Eur Arch Paediatr Dent. 2008 Mar;9(1):51-5. doi: 10.1007/BF03321597.
4
Combined surgical luxation and orthodontic traction treatment of a severely infraoccluded primary molar with deep caries: a case report and literature review.联合手术性牙齿脱位与正畸牵引治疗重度低位阻生且伴有深龋的乳牙:一例报告及文献综述
Eur J Paediatr Dent. 2024 Oct 1:1. doi: 10.23804/ejpd.2024.2235.
5
Etiology, Diagnosis, Consequences and Treatment of Infraoccluded Primary Molars.乳牙低位阻生的病因、诊断、后果及治疗
Open Dent J. 2016 Dec 30;10:714-719. doi: 10.2174/1874210601610010714. eCollection 2016.
6
The effect of extraction of infraoccluded deciduous molars: A longitudinal study.低位乳牙磨牙拔除的效果:一项纵向研究。
Am J Orthod. 1985 Jan;87(1):46-55. doi: 10.1016/0002-9416(85)90173-3.
7
Surgical and orthodontic treatment after incidental radiographic discovery of a severely infraoccluded primary molar.偶然影像学发现严重低位阻生乳牙后的外科及正畸治疗
Gen Dent. 2019 Nov-Dec;67(6):72-75.
8
A novel approach for building up infraoccluded ankylosed primary molars in cases of missing premolars: A case report.一种在乳磨牙早失病例中修复低位粘连乳牙的新方法:病例报告
Eur Arch Paediatr Dent. 2015 Oct;16(5):425-9. doi: 10.1007/s40368-015-0186-8. Epub 2015 May 5.
9
Infraocclusion: a case report with an unexpected outcome.低位阻生:一例意外结局的病例报告。
Eur J Paediatr Dent. 2002 Jun;3(2):97-100.
10
Primary molar infraocclusion: frequency, magnitude, root resorption and premolar agenesis in a Spanish sample.乳磨牙低位:西班牙样本中的发生率、程度、牙根吸收和前磨牙缺失。
Eur J Paediatr Dent. 2014 Sep;15(3):258-64.

引用本文的文献

1
Therapeutic Strategies of Primary Molar Infraocclusion: A Systematic Review.乳磨牙低位咬合的治疗策略:一项系统评价
Children (Basel). 2023 Mar 18;10(3):582. doi: 10.3390/children10030582.

本文引用的文献

1
The association between patient's compliance and age with the bonding failure of orthodontic brackets: a cross-sectional study.患者依从性与年龄对正畸托槽黏结失败的关系:一项横断面研究。
Prog Orthod. 2018 May 1;19(1):11. doi: 10.1186/s40510-018-0209-1.
2
Compliance with removable orthodontic appliances.可摘矫治器的依从性
Evid Based Dent. 2017 Dec 22;18(4):105-106. doi: 10.1038/sj.ebd.6401268.
3
Management of the Developing Dentition and Occlusion in Pediatric Dentistry.儿童牙科学中发育牙列与咬合的管理
Pediatr Dent. 2017 Sep 15;39(6):334-347.
4
A Modified Nance Palatal Arch for the Treatment of Ectopically Erupting Permanent First Molars.一种改良的Nance腭弓用于治疗异位萌出的恒牙第一磨牙。
J Dent Child (Chic). 2016 Sep 15;83(3):161-166.
5
Interventions for orthodontically induced white spot lesions: a systematic review and meta-analysis.正畸性白斑病变的干预措施:一项系统评价与荟萃分析
Eur J Orthod. 2017 Apr 1;39(2):122-133. doi: 10.1093/ejo/cjw065.
6
Prevalence of infraocclusion of primary molars determined using a new 2D image analysis methodology.使用一种新的二维图像分析方法确定的乳牙低位咬合患病率。
Aust Dent J. 2016 Jun;61(2):183-9. doi: 10.1111/adj.12349.
7
Treatment of Ectopic Permanent Maxillary First Molar Using a K-loop.使用 K 形弓丝矫治异位上颌恒第一磨牙
J Clin Pediatr Dent. 2015 Summer;39(4):387-91. doi: 10.17796/1053-4628-39.4.387.
8
Primary molar infraocclusion: frequency, magnitude, root resorption and premolar agenesis in a Spanish sample.乳磨牙低位:西班牙样本中的发生率、程度、牙根吸收和前磨牙缺失。
Eur J Paediatr Dent. 2014 Sep;15(3):258-64.
9
Treatment of ectopic eruption of permanent mandibular first molars with innovative dental appliances.
Eur J Paediatr Dent. 2014 Jul;15(2 Suppl):181-3.
10
A prospective clinical investigation of the failure rate of immediately loaded mini-implants used for orthodontic anchorage.用于正畸支抗的即刻加载微型种植体失败率的前瞻性临床研究。
Prog Orthod. 2007;8(1):192-201.