Suppr超能文献

COL4A4基因中的一个无义突变导致杂合或纯合状态下的孤立性血尿。

A Nonsense Mutation in COL4A4 Gene Causing Isolated Hematuria in Either Heterozygous or Homozygous State.

作者信息

Yang Cheng, Song Yuan, Chen Zhaowei, Yuan Xiaohan, Chen Xinhua, Ding Guohua, Guan Yang, McGrath Mary, Song Chunhua, Tong Yongqing, Wang Huiming

机构信息

Renal Department, Renmin Hospital of Wuhan University, Wuhan, China.

Ultrastructure Center, Renmin Hospital of Wuhan University, Wuhan, China.

出版信息

Front Genet. 2019 Jul 2;10:628. doi: 10.3389/fgene.2019.00628. eCollection 2019.

Abstract

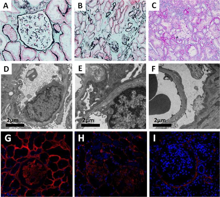
Alport syndrome (AS) is a hereditary nephropathy characterized by glomerular basement membrane lesions. AS shows a relatively rare entity with autosomal dominant gene mutation (accounts for less than 5% of AS cases) and is widely believed to be a consequence of heterozygous variants in the and genes. Until now, there have been no reports of homozygous variants in genes in AS patients, and it is scarce to detect both homozygous and heterozygous variants in a single AS pedigree. We performed genetic analysis by exome sequencing (exome-seq) in a Chinese family with AS and found four individuals harboring the c.4599T > G variant, a novel nonsense mutation that gains stop codon and results in a truncated protein. The proband and her two siblings were determined to be heterozygous, whereas their mother was homozygous. The proband satisfied the criteria for the diagnosis of AS, which included clinical manifestations of microscopic hematuria and proteinuria, and pathological features of the glomerular basement membrane (GBM), including irregular thickening and splitting. However, the other three individuals who were homozygous or heterozygous for the variant exhibited mild clinical features with isolated microscopic hematuria. In summary, we identified a novel pathogenic variant in either the heterozygous or homozygous state of the gene in a Chinese family with AS. Our results also suggest that the severity of clinical manifestations may not be entirely attributed to by the genetic variant itself in patients.

摘要

奥尔波特综合征(AS)是一种以肾小球基底膜病变为特征的遗传性肾病。AS是一种相对罕见的疾病,由常染色体显性基因突变引起(占AS病例的不到5%),普遍认为是 和 基因杂合变异的结果。到目前为止,尚无AS患者基因纯合变异的报道,在单个AS家系中同时检测到纯合和杂合变异的情况也很罕见。我们对一个患有AS的中国家系进行了外显子组测序(外显子组测序)的基因分析,发现4名个体携带 c.4599T>G变异,这是一种新的无义突变,获得了终止密码子并导致截短蛋白。先证者及其两个兄弟姐妹被确定为杂合子,而他们的母亲是纯合子。先证者符合AS的诊断标准,包括镜下血尿和蛋白尿的临床表现,以及肾小球基底膜(GBM)的病理特征,包括不规则增厚和分裂。然而,该变异的其他三名纯合或杂合个体表现出轻度临床特征,仅有镜下血尿。总之,我们在一个患有AS的中国家系中鉴定出 基因杂合或纯合状态下的一种新的致病变异。我们的结果还表明,患者临床表现的严重程度可能并非完全由 基因变异本身所致。

https://cdn.ncbi.nlm.nih.gov/pmc/blobs/0764/6614519/146eeb6f0fb0/fgene-10-00628-g001.jpg

相似文献

1
A Nonsense Mutation in COL4A4 Gene Causing Isolated Hematuria in Either Heterozygous or Homozygous State.
Front Genet. 2019 Jul 2;10:628. doi: 10.3389/fgene.2019.00628. eCollection 2019.
2
COL4A4-related nephropathy caused by a novel mutation in a large consanguineous Saudi family.
Int J Pediatr Otorhinolaryngol. 2014 Mar;78(3):427-32. doi: 10.1016/j.ijporl.2013.12.008. Epub 2013 Dec 18.
3
Novel heterozygous mutation in responsible for Alport syndrome in a Chinese family.
Front Genet. 2022 Sep 9;13:899006. doi: 10.3389/fgene.2022.899006. eCollection 2022.
4
COL4A4 mutation in thin basement membrane disease previously described in Alport syndrome.
Kidney Int. 2001 Aug;60(2):480-3. doi: 10.1046/j.1523-1755.2001.060002480.x.
5
Identification of 27 Novel Variants in Genes , and in Lithuanian Families With Alport Syndrome.
Front Med (Lausanne). 2022 Mar 28;9:859521. doi: 10.3389/fmed.2022.859521. eCollection 2022.
6
Kidney Disease Associated With Mono-allelic and Variants: A Case Series of 17 Families.
Kidney Med. 2023 Feb 1;5(4):100607. doi: 10.1016/j.xkme.2023.100607. eCollection 2023 Apr.
9
The COL4A3 and COL4A4 Digenic Mutations in cis Result in Benign Familial Hematuria in a Large Chinese Family.
Cytogenet Genome Res. 2018;154(3):132-136. doi: 10.1159/000488163. Epub 2018 May 9.
10
Thin basement membrane nephropathy.
Kidney Int. 2003 Oct;64(4):1169-78. doi: 10.1046/j.1523-1755.2003.00234.x.

引用本文的文献

1
The same heterozygous mutation triggered different renal pathological changes in Chinese family members.
Front Genet. 2023 May 31;14:1180149. doi: 10.3389/fgene.2023.1180149. eCollection 2023.
2
Mutation Analysis of Thin Basement Membrane Nephropathy.
Genes (Basel). 2022 Oct 2;13(10):1779. doi: 10.3390/genes13101779.
3
Novel heterozygous mutation in responsible for Alport syndrome in a Chinese family.
Front Genet. 2022 Sep 9;13:899006. doi: 10.3389/fgene.2022.899006. eCollection 2022.
5
A spectrum of recessiveness among Mendelian disease variants in UK Biobank.
Am J Hum Genet. 2022 Jul 7;109(7):1298-1307. doi: 10.1016/j.ajhg.2022.05.008. Epub 2022 May 31.
6
In Silico Analysis of Collagens Missense SNPs and Human Abnormalities.
Biochem Genet. 2022 Oct;60(5):1630-1656. doi: 10.1007/s10528-021-10172-6. Epub 2022 Jan 23.

本文引用的文献

1
Non-collagen genes role in digenic Alport syndrome.
BMC Nephrol. 2019 Feb 26;20(1):70. doi: 10.1186/s12882-019-1258-5.
2
Features of Autosomal Recessive Alport Syndrome: A Systematic Review.
J Clin Med. 2019 Feb 3;8(2):178. doi: 10.3390/jcm8020178.
4
A novel heterozygous COL4A4 missense mutation in a Chinese family with focal segmental glomerulosclerosis.
J Cell Mol Med. 2016 Dec;20(12):2328-2332. doi: 10.1111/jcmm.12924. Epub 2016 Jul 29.
5
Genetic, Clinical, and Pathologic Backgrounds of Patients with Autosomal Dominant Alport Syndrome.
Clin J Am Soc Nephrol. 2016 Aug 8;11(8):1441-1449. doi: 10.2215/CJN.01000116. Epub 2016 Jun 8.
7
Collagen (COL4A) mutations are the most frequent mutations underlying adult focal segmental glomerulosclerosis.
Nephrol Dial Transplant. 2016 Jun;31(6):961-70. doi: 10.1093/ndt/gfv325. Epub 2015 Sep 7.
9
Homozygous carriers of APP A713T mutation in an autosomal dominant Alzheimer disease family.
Neurology. 2015 Jun 2;84(22):2266-73. doi: 10.1212/WNL.0000000000001648. Epub 2015 May 6.
10
COL4A3 mutations cause focal segmental glomerulosclerosis.
J Mol Cell Biol. 2014 Dec;6(6):498-505. doi: 10.1093/jmcb/mju040.

文献AI研究员

20分钟写一篇综述,助力文献阅读效率提升50倍。

立即体验

用中文搜PubMed

大模型驱动的PubMed中文搜索引擎

马上搜索

文档翻译

学术文献翻译模型,支持多种主流文档格式。

立即体验