Department of Chemical, Biological, Pharmaceutical and Environmental Sciences, University of Messina, Viale F. Stagno D'Alcontres 31, 98166 Messina, Italy.
Institute of Pharmacology and Toxicology, Paracelsus Medical University, 5020 Salzburg, Austria.
Molecules. 2019 Jul 28;24(15):2741. doi: 10.3390/molecules24152741.
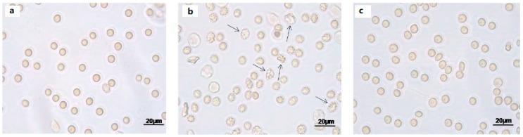
The beneficial effect of Melatonin (Mel), recognized as an anti-inflammatory and antioxidant compound, has been already proven to prevent oxidative stress-induced damage associated to lipid peroxidation. As previous studies modeled the impact of oxidative stress on Band 3 protein, an anion exchanger that is essential to erythrocytes homeostasis, by applying HO at not hemolytic concentrations and not producing lipid peroxidation, the aim of the present work was to evaluate the possible antioxidant effect of pharmacological doses of Mel on Band 3 protein anion exchange capability. The experiments have been performed on human erythrocytes exposed to 300 μM HO-induced oxidative stress. To this end, oxidative damage has been verified by monitoring the rate constant for SO uptake through Band 3 protein. Expression levels of this protein Mel doses lower than 100 µM have also been excluded due to lipid peroxidation, Band 3 protein expression levels, and cell shape alterations, confirming a pro-oxidant action of Mel at certain doses. On the other hand, 100 µM Mel, not provoking lipid peroxidation, restored the rate constant for SO uptake, Band 3 protein expression levels, and HO-induced cell shape alterations. Such an effect was confirmed by abolishing the endogenous erythrocytes antioxidant system. Therefore, the present findings show the antioxidant power of Mel at pharmacological concentrations in an in vitro model of oxidative stress not associated to lipid peroxidation, thereby confirming Band 3 protein anion exchange capability measurement as a suitable model to prove the beneficial effect of Mel and support the use of this compound in oxidative stress-related diseases affecting Band 3 protein.
褪黑素(Melatonin,Mel)作为一种具有抗炎和抗氧化作用的化合物,其有益作用已得到证实,可预防与脂质过氧化相关的氧化应激诱导损伤。先前的研究通过在非溶血浓度下应用 HO 且不产生脂质过氧化来模拟氧化应激对阴离子交换蛋白 Band 3 的影响,Band 3 蛋白是维持红细胞内环境稳定所必需的。因此,本研究旨在评估药理剂量的 Mel 对 Band 3 蛋白阴离子交换能力的可能抗氧化作用。实验在暴露于 300μM HO 诱导的氧化应激的人红细胞上进行。为此,通过监测通过 Band 3 蛋白摄取 SO 的速率常数来验证氧化损伤。由于脂质过氧化、Band 3 蛋白表达水平和细胞形状改变,排除了 Mel 剂量低于 100µM 时对该蛋白的表达水平的影响,这证实了 Mel 在某些剂量下的促氧化作用。另一方面,100μM Mel 不会引起脂质过氧化,可恢复 SO 摄取速率常数、Band 3 蛋白表达水平和 HO 诱导的细胞形状改变。通过消除内源性红细胞抗氧化系统,证实了这种作用。因此,本研究结果表明,在不与脂质过氧化相关的体外氧化应激模型中,Mel 在药理浓度下具有抗氧化能力,从而证实了 Band 3 蛋白阴离子交换能力测量作为证明 Mel 有益作用的合适模型,并支持将该化合物用于影响 Band 3 蛋白的氧化应激相关疾病。