Tsai Jui-Ping, Hsieh Kevin Li-Chun, Yeh Tu-Hsueh, Lee Yuarn-Jang, Wei Chun-Ren
Department of Neurology, Taipei Medical University Hospital, Taipei, Taiwan.
Taipei Neuroscience Institute, Taipei Medical University, Taipei, Taiwan (R.O.C), Taipei, Taiwan.
Ann Indian Acad Neurol. 2019 Jul-Sep;22(3):344-348. doi: 10.4103/aian.AIAN_523_18.
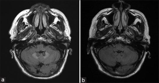
Metronidazole-induced encephalopathy (MIE) is a rare but serious complication caused by metronidazole, a widely used antianaerobic drug. Previous studies prescribed MIE including dysarthria, cerebellar ataxia, and confusion after long-term use of metronidazole. Malignancy has been proposed one of the predisposing conditions for MIE. However, the occurrence of MIE in cancer patients remains unknown.
We investigated the occurrence of MIE and analyzed retrospectively by hospital-based data of 4160 cancer patients from January 2014 to December 2016.
Findings in 793 cancer patients who underwent metronidazole therapy for anaerobic infection revealed two cases of MIE. One had renal cell carcinoma and the other had bladder urothelial carcinoma. Both of their initial presentation were cerebellar dysfunction. The occurrence of MIE was 8.6% for cases who received >30 g of cumulative dose. Hypertension was the most common comorbidity, followed by chronic renal disease and diabetes mellitus.
In cancer patients, MIE should be monitored in those with genitourinary cancer, especially with renal dysfunction. Longer duration with more cumulative dose also has a greater risk of MIE. Early consideration of MIE with prompt cessation of metronidazole may result in better outcome.
甲硝唑诱发的脑病(MIE)是一种由广泛使用的抗厌氧菌药物甲硝唑引起的罕见但严重的并发症。既往研究指出,长期使用甲硝唑后出现的MIE包括构音障碍、小脑共济失调和意识模糊。恶性肿瘤被认为是MIE的易感因素之一。然而,癌症患者中MIE的发生情况尚不清楚。
我们对2014年1月至2016年12月期间4160例癌症患者的医院数据进行回顾性调查,以研究MIE的发生情况并进行分析。
在793例接受甲硝唑治疗厌氧菌感染的癌症患者中,发现2例MIE。1例患有肾细胞癌,另1例患有膀胱尿路上皮癌。二者最初的表现均为小脑功能障碍。累积剂量>30 g的患者中MIE的发生率为8.6%。高血压是最常见的合并症,其次是慢性肾病和糖尿病。
在癌症患者中,对于患有泌尿生殖系统癌症的患者,尤其是肾功能不全者,应监测MIE。用药时间越长、累积剂量越大,发生MIE的风险也越高。早期考虑MIE并及时停用甲硝唑可能会带来更好的结果。