Suppr超能文献

“三思而后行”:机器人辅助切除空肠系膜假性囊肿

"Look Before You Leap": Robotic Resection of a Jejunal Mesenteric Pseudocyst.

作者信息

Chandradevan Raguraj, Rutkofsky Ian, Sirju Kristal, Kitchen Felisha L, Williams John T

机构信息

Internal Medicine, Coliseum Medical Centers, Macon, USA.

Psychiatry, California Institute of Behavioral Neurosciences and Psychology, Fairfield, USA.

出版信息

Cureus. 2019 May 24;11(5):e4750. doi: 10.7759/cureus.4750.

Abstract

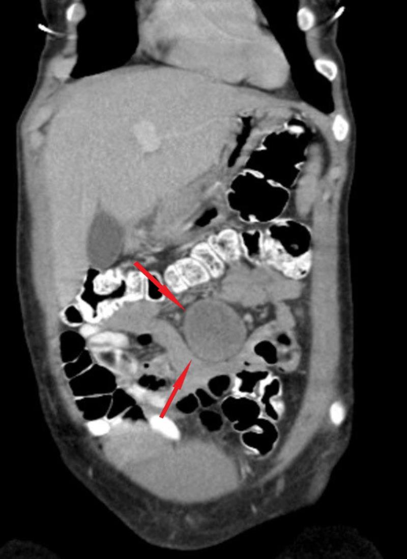
A rare case of a jejunal mesenteric pseudocyst treated by robotic resection is reported. A 25-year-old woman was admitted to our hospital with intermittent abdominal discomfort which was exacerbated by strenuous physical activities. Physical examination revealed a fluctuant mass without tenderness. Contrast-enhanced computed tomography revealed a 4 cm-sized non-enhancing heterogeneous mass on a proximal small bowel loop mesentery. Based on the findings, a differential diagnosis of a gastrointestinal stromal tumor, hematoma, desmoid tumor, and mesenteric cyst was made. Robotic diagnostic laparoscopy was performed to obtain an accurate diagnosis and treatment. Exploration of the cavity revealed a 4 cm fairly mobile mass originating from the mesentery of the jejunum. Segmental resection of the jejunum and its mesentery, including the mass and extracorporeal anastomosis, was performed without any complications. Macroscopically, the mass was cystic and the lumen had grumous material. The final pathological diagnosis was a mesenteric pseudocyst. The patient had an uneventful postoperative course.

摘要

报道了一例采用机器人切除术治疗空肠系膜假性囊肿的罕见病例。一名25岁女性因间歇性腹部不适入院,剧烈体育活动会使不适加剧。体格检查发现一个有波动感的肿块,无压痛。增强计算机断层扫描显示在近端小肠袢系膜上有一个4厘米大小的无强化的不均匀肿块。根据这些发现,对胃肠道间质瘤、血肿、硬纤维瘤和肠系膜囊肿进行了鉴别诊断。进行了机器人诊断性腹腔镜检查以获得准确的诊断和治疗。探查腹腔发现一个4厘米大小、相当活动的肿块,起源于空肠系膜。对空肠及其系膜进行了节段性切除,包括肿块和体外吻合,未出现任何并发症。肉眼可见,肿块为囊性,腔内有凝块状物质。最终病理诊断为肠系膜假性囊肿。患者术后恢复顺利。

https://cdn.ncbi.nlm.nih.gov/pmc/blobs/beb7/6663279/47e69b42bad3/cureus-0011-00000004750-i01.jpg

文献检索

告别复杂PubMed语法,用中文像聊天一样搜索,搜遍4000万医学文献。AI智能推荐,让科研检索更轻松。

立即免费搜索

文件翻译

保留排版,准确专业,支持PDF/Word/PPT等文件格式,支持 12+语言互译。

免费翻译文档

深度研究

AI帮你快速写综述,25分钟生成高质量综述,智能提取关键信息,辅助科研写作。

立即免费体验