Suppr超能文献

纤维化:神经型麻风病病理学中的一个显著特征。

Fibrosis: a distinguishing feature in the pathology of neural leprosy.

作者信息

Antunes Sérgio Luiz Gomes, Jardim Márcia Rodrigues, Vital Robson Teixeira, Pascarelli Bernardo Miguel de Oliveira, Nery José Augusto da Costa, Amadeu Thaís Porto, Sales Anna Maria, da Costa Eduardo Alves Freire, Sarno Euzenir Nunes

机构信息

Fundação Oswaldo Cruz, Instituto Oswaldo Cruz, Laboratório de Hanseníase, Rio de Janeiro, RJ, Brasil.

Universidade do Estado do Rio de Janeiro, Departamento de Patologia e Laboratórios, Rio de Janeiro, RJ, Brasil.

出版信息

Mem Inst Oswaldo Cruz. 2019;114:e190056. doi: 10.1590/0074-02760190056. Epub 2019 Aug 5.

Abstract

BACKGROUND

Fibrosis in the peripheral nerve is the end stage of leprous neuropathy and the cause of the resulting permanent neural function impairments. Preventive measures to avoid this irreversible pathological state are a relief strategy for leprosy sufferers.

OBJECTIVES

The present study describes the frequency of fibrosis along with its characterisation and pathogenic development.

METHODS

Six-hundred-and-thirteen nerve samples were sorted from 278 neural leprosy (NL) and 335 non-leprosy neuropathy patients (ON). The total number of samples was histologically examined by routine staining methods (haematoxylin-eosin, Wade staining and Gomori's trichrome) and fibrosis was evaluated via semi-quantitative estimation.

FINDINGS

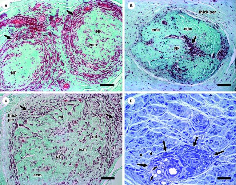
Fibrosis was most frequent in the NL group (33% against 0.4% in ON) while fibrosis in association with endoneurial microfasciculation was found in 38 (41.3%) of the NL samples in the examination of semithin sections. Pericytic activation in the perivascular environment was confirmed to be the source of the fibroblasts and perineurial cells delimiting microfascicles. End-stage fibrosis in leprosy displays an arrangement of microfascicles devoid of neural components (i.e., Schwann cells and axons) lined by an intermediate phenotype of fibroblastic-perineurial cells filled with bundles of collagen fibres.

MAIN CONCLUSIONS

The present study underscores that fibrosis is frequently the severe end stage of neural leprosy NL pathogeny after analysing the notably distinct development of fibrosis within the neural environment.

摘要

背景

周围神经纤维化是麻风性神经病的终末期,也是导致永久性神经功能损害的原因。避免这种不可逆病理状态的预防措施是麻风患者的一种缓解策略。

目的

本研究描述了纤维化的频率及其特征和致病发展过程。

方法

从278例神经型麻风(NL)患者和335例非麻风性神经病患者(ON)中筛选出613份神经样本。通过常规染色方法(苏木精-伊红染色、韦德染色和戈莫里三色染色)对样本总数进行组织学检查,并通过半定量评估来评估纤维化情况。

结果

纤维化在NL组中最为常见(33%,而ON组为0.4%),在半薄切片检查中,38份(41.3%)NL样本中发现纤维化与神经内膜微束形成有关。血管周围环境中的周细胞活化被确认为界定微束的成纤维细胞和神经束膜细胞的来源。麻风病终末期纤维化表现为无神经成分(即雪旺细胞和轴突)的微束排列,由充满胶原纤维束的成纤维细胞-神经束膜细胞中间表型排列。

主要结论

在分析神经环境中纤维化明显不同的发展过程后,本研究强调纤维化常常是神经型麻风(NL)发病机制的严重终末期。

https://cdn.ncbi.nlm.nih.gov/pmc/blobs/5c9a/6684007/01cd70c05d8a/1678-8060-mioc-114-e190056-gf1.jpg

文献AI研究员

20分钟写一篇综述,助力文献阅读效率提升50倍。

立即体验

用中文搜PubMed

大模型驱动的PubMed中文搜索引擎

马上搜索

文档翻译

学术文献翻译模型,支持多种主流文档格式。

立即体验