Suppr超能文献

1例膜性肾病发病11年后诊断为狼疮性肾炎。

A case of membranous nephropathy diagnosed with lupus nephritis 11 years after onset.

作者信息

Yamada Takehisa, Itagaki Fumiaki, Aratani Sae, Kawasaki Sayuri, Terada Kousuke, Mugishima Koji, Kashiwagi Tetsuya, Shimizu Akira, Tsuruoka Shuichi

机构信息

Department of Nephrology, Nippon Medical School Chiba Hokusoh Hospital, 1715, Kamagari, Inzai, Chiba, 270-1694, Japan.

Department of Nephrology, Nippon Medical School, 1-1-5, Sendagi, Bunkyo-ku, Tokyo, 113-8603, Japan.

出版信息

CEN Case Rep. 2019 Nov;8(4):301-307. doi: 10.1007/s13730-019-00412-5. Epub 2019 Aug 9.

Abstract

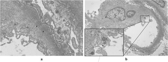
A 34-year-old female patient presented to our hospital with lower extremity edema and proteinuria during pregnancy. Renal biopsy was performed and the patient was diagnosed with nephrotic syndrome due to lupus-like membranous nephropathy. This diagnosis was reached upon as laboratory findings upon admission, wherein both anti-nuclear and anti-double-stranded DNA antibodies revealed negative, did not fulfill the criteria for systemic lupus erythematosus (SLE) proposed by the American College of Rheumatology (ACR) and the patient did not reveal any typical physical manifestations of SLE. Methylprednisolone pulse therapy was started followed by oral administration of prednisolone. Urinary protein excretion diminished after 1 year of treatment. Eleven years later, the same patient was admitted to our hospital again with relapse of nephrotic syndrome. Laboratory findings upon second admission, wherein both anti-nuclear and anti-double-stranded DNA antibodies revealed positive, fulfilled the ACR criteria. Renal biopsy was performed again, resulting in a diagnosis of lupus nephritis. Steroid therapy combined with administration of mycophenolate mofetil led to an incomplete remission. Immunofluorescence studies confirmed the presence of IgG, IgM, C3, and C1q in renal biopsy specimens both at first and second admissions. Furthermore, immunofluorescence studies confirmed the presence of IgG1-4 in the first biopsy and tubuloreticular inclusions (TRIs) were revealed using electron microscopy. The present case represents the possibility that characteristic pathological findings of lupus nephritis, including TRIs, can reveal themselves before a diagnosis of SLE.

摘要

一名34岁女性患者在孕期因下肢水肿和蛋白尿前来我院就诊。进行了肾活检,患者被诊断为狼疮样膜性肾病所致的肾病综合征。做出这一诊断是基于入院时的实验室检查结果,当时抗核抗体和抗双链DNA抗体均为阴性,不符合美国风湿病学会(ACR)提出的系统性红斑狼疮(SLE)标准,且患者未表现出任何SLE的典型体征。开始给予甲泼尼龙冲击治疗,随后口服泼尼松龙。治疗1年后尿蛋白排泄减少。11年后,该患者因肾病综合征复发再次入院。第二次入院时的实验室检查结果显示抗核抗体和抗双链DNA抗体均为阳性,符合ACR标准。再次进行肾活检,诊断为狼疮性肾炎。糖皮质激素治疗联合霉酚酸酯给药导致病情不完全缓解。免疫荧光研究证实首次和第二次入院时肾活检标本中均存在IgG、IgM、C3和C1q。此外,免疫荧光研究证实在首次活检中存在IgG1 - 4,并且电子显微镜检查发现了管网状包涵体(TRIs)。本病例表明狼疮性肾炎的特征性病理表现(包括TRIs)可能在SLE诊断之前就已出现。

https://cdn.ncbi.nlm.nih.gov/pmc/blobs/7353/6820642/ebec5d26c070/13730_2019_412_Fig1_HTML.jpg

文献AI研究员

20分钟写一篇综述,助力文献阅读效率提升50倍。

立即体验

用中文搜PubMed

大模型驱动的PubMed中文搜索引擎

马上搜索

文档翻译

学术文献翻译模型,支持多种主流文档格式。

立即体验