Suppr超能文献

早期肺癌中同时存在 T790M 和 L858R 突变的罕见同步双原发治疗初治肺腺癌。

Unusual synchronous double primary treatment-naïve lung adenocarcinoma harboring T790M and L858R mutations in early-stage lung cancer.

机构信息

Department of Thoracic Medicine, Hsinchu Cathay General Hospital, Hsinchu, Taiwan.

Department of Thoracic Surgery, Xizhi Cathay General Hospital, New Taipei, Taiwan.

出版信息

World J Surg Oncol. 2019 Aug 19;17(1):148. doi: 10.1186/s12957-019-1688-3.

Abstract

BACKGROUND

Concurrent mutations of synchronous multiple primary non-small cell lung cancer (SMPNSCLC) is rare, and only a few cases have been reported. Herein, we present a case of early-stage SMPNSCLC with T790M and L858R mutations.

CASE PRESENTATION

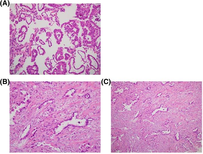
A 68-year-old male patient presented to the Thoracic Surgery Department due to a tumor in the right lower lung. The tumor was detected more than 5 years previously during a health examination; however, the patient ignored the problem because the clinician at that time stated that the lesion was highly likely to be benign. Chest computed topography (CT) was ordered and the images showed a well-defined tumor in the right lower lung and a faint nodular lesion over the left lower lung field. A CT-guided biopsy results showed the presence of atypical cells and positive staining of TTF-1 and CK7. Surgical intervention was performed. The right- and left-sided tumors disclosed micropapillary predominant adenocarcinoma and acinar-predominant adenocarcinoma, respectively. Both tumors were positive for TTF-1 but negative for ALK and p40. Real-time PCR analysis showed that the right-sided tumor had an epidermal growth factor receptor (EGFR) mutation presenting as point mutation T790M in exon 20, while the left-sided tumor had a point mutation L858R in exon 21 of EGFR.

CONCLUSIONS

Our patient's case suggests that tumors resembling a benign pattern with central calcification may be misdiagnosed. Thus, early screening for lung cancer is important, and intensive efforts to make a diagnosis through surgical resection or biopsies to allow for tailored optimal treatment may be preferential for the best patient outcomes.

摘要

背景

同步多原发性非小细胞肺癌(SMPNSCLC)的并发突变较为罕见,仅有少数病例报道。在此,我们报告了一例伴有 T790M 和 L858R 突变的早期 SMPNSCLC 病例。

病例介绍

一名 68 岁男性患者因右下肺肿瘤就诊于胸外科。该肿瘤是在 5 年前体检时发现的,但患者当时忽略了该问题,因为当时的医生表示该病变很可能是良性的。进行了胸部计算机断层扫描(CT),结果显示右下肺有一个边界清楚的肿瘤,左下肺野有一个模糊的小结节状病变。CT 引导下活检结果显示存在非典型细胞,TTF-1 和 CK7 阳性染色。随后进行了手术干预。右肺和左肺的肿瘤分别显示为微乳头为主型腺癌和腺泡为主型腺癌。两种肿瘤均对 TTF-1 阳性,但对 ALK 和 p40 阴性。实时 PCR 分析显示,右侧肿瘤存在 EGFR 突变,表现为 20 号外显子的点突变 T790M,而左侧肿瘤存在 EGFR 21 号外显子的点突变 L858R。

结论

我们患者的病例提示,伴有中央钙化的良性模式肿瘤可能被误诊。因此,早期筛查肺癌很重要,通过手术切除或活检进行密集诊断,以便进行个体化的最佳治疗,可能更有利于患者获得最佳预后。

https://cdn.ncbi.nlm.nih.gov/pmc/blobs/5cf2/6701136/ae4bd30d40fc/12957_2019_1688_Fig1_HTML.jpg

文献AI研究员

20分钟写一篇综述,助力文献阅读效率提升50倍。

立即体验

用中文搜PubMed

大模型驱动的PubMed中文搜索引擎

马上搜索

文档翻译

学术文献翻译模型,支持多种主流文档格式。

立即体验