Suppr超能文献

在最近发病的幼年特发性关节炎的治疗中,目标达到后无腕关节放射学损伤。

No radiographic wrist damage after treatment to target in recent-onset juvenile idiopathic arthritis.

机构信息

Department of Pediatric Rheumatology, Leiden University Medical Center, Leiden, the Netherlands.

Department of Pediatrics/Pediatric Rheumatology, Sophia Children's Hospital Erasmus Medical Center, J6-S, LUMC, PO Box 9600, 2300 RC, Leiden, Rotterdam, the Netherlands.

出版信息

Pediatr Rheumatol Online J. 2019 Sep 4;17(1):62. doi: 10.1186/s12969-019-0362-1.

Abstract

BACKGROUND

To evaluate radiographic progression of patients with new-onset juvenile idiopathic arthritis (JIA) in response to an early, tightly-controlled, treatment-to-target.

METHODS

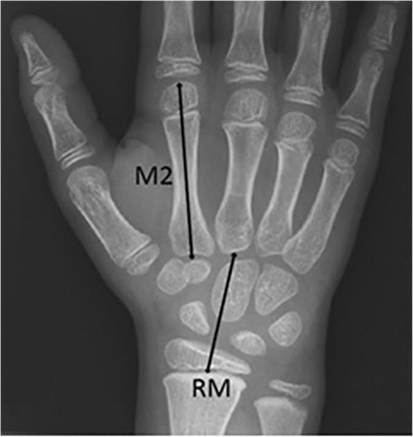
Patients with JIA participating in the BeSt-for-Kids-study, randomized to 3 treatment strategy arms, were eligible if at least 1 conventional wrist-radiograph was available. Bone damage as reflected by carpal length was assessed using the Poznanski-score. The BoneXpert-method was used to determine the Bone Age (BA, > 5 years) and bone mineral density (BMD) of the wrist. These scores were evaluated over time and compared between the treatment arms and mean JADAS10-score using linear mixed models corrected for age and symptom duration.

RESULTS

In 60 patients, 252 radiographs were analysed. Baseline age and symptom duration were different between the arms. No difference in comparison to the healthy reference population was found at baseline for the Poznanski-score (IQR varying from - 0,82; 0.68), nor for BA (varying from - 0.88 to 0.74). Baseline BMD was statistically significantly lower in arm 3 (initial treatment with etanercept and methotrexate) (- 1.48; - 0.68) compared to arm 1 (- 0.84; - 0.04) and arm 2 (- 0.93; 0.15). After treatment to target inactive disease, the Poznanski-scores and the BA remained clinically unchanged, while the BMD in arm 3 improved (p < 0.05 vs arm 1).

CONCLUSIONS

Recent-onset JIA patients, treated-to-target aimed at inactive disease, showed no signs of radiographic wrist damage (Poznanski-score, BA or BMD) either at baseline or at follow-up, irrespective of treatment arm. A lower BMD at baseline in arm 3, initially treated with methotrexate and etanercept, improved significantly after treatment.

TRIAL REGISTRATION

NTR, NL1504 (NTR1574). Registered 01-06-2009.

摘要

背景

评估新发病的幼年特发性关节炎(JIA)患者在早期、严格控制、以目标为导向的治疗下的放射学进展。

方法

参与 BeSt-for-Kids 研究的 JIA 患者,随机分为 3 种治疗策略组,如果至少有 1 张常规腕关节 X 线片可用,则符合条件。使用 Poznanski 评分评估腕骨长度反映的骨损伤。使用 BoneXpert 方法确定腕骨的骨龄(BA,> 5 岁)和骨密度(BMD)。使用线性混合模型评估这些评分随时间的变化,并根据年龄和症状持续时间进行校正后,比较治疗臂和平均 JADAS10 评分之间的差异。

结果

在 60 名患者中,分析了 252 张 X 光片。各治疗臂的基线年龄和症状持续时间不同。与 Poznanski 评分(IQR 从-0.82 变化;0.68)和 BA(从-0.88 变化至 0.74)相比,基线时未发现与健康参考人群的差异。与臂 1(初始治疗用依那西普和甲氨蝶呤)相比,臂 3(初始治疗用依那西普和甲氨蝶呤)的基线 BMD 明显较低(-1.48;-0.68)(-0.84;-0.04)和臂 2(-0.93;0.15)。达到治疗目标后,疾病处于缓解状态,Poznanski 评分和 BA 保持不变,而臂 3 的 BMD 改善(与臂 1 相比,p < 0.05)。

结论

新发病的 JIA 患者,以达到缓解疾病为目标的治疗,在基线或随访时均未显示腕关节放射学损伤的迹象(Poznanski 评分、BA 或 BMD),无论治疗臂如何。在臂 3 中,基线时 BMD 较低,初始使用甲氨蝶呤和依那西普治疗后,显著改善。

试验注册

NTR,NL1504(NTR1574)。于 2009 年 6 月 1 日注册。

https://cdn.ncbi.nlm.nih.gov/pmc/blobs/3ec6/6727344/858161330774/12969_2019_362_Fig1_HTML.jpg

文献检索

告别复杂PubMed语法,用中文像聊天一样搜索,搜遍4000万医学文献。AI智能推荐,让科研检索更轻松。

立即免费搜索

文件翻译

保留排版,准确专业,支持PDF/Word/PPT等文件格式,支持 12+语言互译。

免费翻译文档

深度研究

AI帮你快速写综述,25分钟生成高质量综述,智能提取关键信息,辅助科研写作。

立即免费体验