Department of Molecular Pathology, Division of Health Sciences, Graduate School of Medicine, Osaka University, Osaka, Japan.
Genome Information Research Center, Research Institute for Microbial Diseases, Osaka University, Osaka, Japan.
Cancer Sci. 2019 Nov;110(11):3520-3532. doi: 10.1111/cas.14193. Epub 2019 Sep 30.
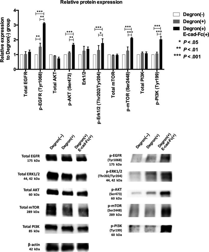
Cancer stem cells (CSC) are a subpopulation of tumor cells with properties of high tumorigenicity and drug resistance, which lead to recurrence and poor prognosis. Although a better understanding of CSC is essential for developing cancer therapies, scarcity of the CSC population has hindered such analyses. The aim of the present study was to elucidate whether the E-cadherin-Fc chimera protein (E-cad-Fc) enhances cancer stem-like properties because studies show that soluble E-cadherin stimulates human epithelial growth factor receptor (EGFR) and downstream signaling pathways that are reported to play a crucial role in CSC. For this purpose, we used ornithine decarboxylase (ODC)-degron-transduced (Degron(+)) KM12SM cells as a CSC model that retains relatively low CSC properties. Compared to cultures without E-cad-Fc treatment, we found that E-cad-Fc treatment further suppressed proteasome activity and largely enhanced cancer stem-like properties of ODC-degron-transduced KM12SM cells. These results include increased expression of stem cell markers Lgr5, Bmi-1, SOX9, CD44, and CD44v9, aldehyde dehydrogenase (ALDH), and enhancement of robust spheroid formation, and chemoresistance to 5-fluorouracil (5-FU) and oxaliplatin (L-OHP). These effects could be attributed to activation of the EGFR pathway as identified by extensive phosphorylation of EGFR, ERK, PI3K, AKT, and mTOR. In SW480 cells, E-cad-Fc matrix induced some CSC markers such as CD44v9 and ALDH. We also found that E-cad-Fc matrix showed high efficiency of inducing mesenchymal changes in colon cancer cells. Our data suggest that the E-cad-Fc matrix may enhance CSC properties such as enhancement of chemoresistance and sphere formation.
肿瘤干细胞(CSC)是肿瘤细胞的一个亚群,具有高致瘤性和耐药性,这导致了复发和预后不良。尽管更好地了解 CSC 对于开发癌症治疗方法至关重要,但 CSC 群体的稀缺性阻碍了此类分析。本研究旨在阐明 E-钙黏蛋白-Fc 嵌合体蛋白(E-cad-Fc)是否增强了癌症干细胞样特性,因为研究表明可溶性 E-钙黏蛋白刺激人表皮生长因子受体(EGFR)和下游信号通路,这些通路被报道在 CSC 中发挥关键作用。为此,我们使用鸟氨酸脱羧酶(ODC)-degron 转导(Degron(+))KM12SM 细胞作为 CSC 模型,该模型保留了相对较低的 CSC 特性。与没有 E-cad-Fc 处理的培养物相比,我们发现 E-cad-Fc 处理进一步抑制了蛋白酶体活性,并大大增强了 ODC-degron 转导的 KM12SM 细胞的癌症干细胞样特性。这些结果包括干细胞标志物 Lgr5、Bmi-1、SOX9、CD44 和 CD44v9、醛脱氢酶(ALDH)的表达增加,以及强大的球体形成能力增强,以及对 5-氟尿嘧啶(5-FU)和奥沙利铂(L-OHP)的化学抗性增强。这些效应可归因于 EGFR 途径的激活,这是通过 EGFR、ERK、PI3K、AKT 和 mTOR 的广泛磷酸化来鉴定的。在 SW480 细胞中,E-cad-Fc 基质诱导了一些 CSC 标志物,如 CD44v9 和 ALDH。我们还发现,E-cad-Fc 基质在诱导结肠癌细胞发生间充质变化方面具有高效率。我们的数据表明,E-cad-Fc 基质可能增强 CSC 特性,如增强化学抗性和球体形成。