Suppr超能文献

卡塔格内综合征中致病突变的鉴定及NOTCH信号通路激活的研究

Identification of Pathogenic Mutations and Investigation of the NOTCH Pathway Activation in Kartagener Syndrome.

作者信息

Yue Yongjian, Huang Qijun, Zhu Peng, Zhao Pan, Tan Xinjuan, Liu Shengguo, Li Shulin, Han Xuemei, Cheng Linling, Li Bo, Fu Yingyun

机构信息

Key Laboratory of Shenzhen Respiratory Diseases, Department of Pulmonary and Critical Care Medicine, Shenzhen Institute of Respiratory Disease, The First Affiliated Hospital of Southern University of Science and Technology, The Second Clinical Medical College of Jinan University, Shenzhen People's Hospital, Shenzhen, China.

Central Lab of Shenzhen Pingshan People's Hospital, Shenzhen, China.

出版信息

Front Genet. 2019 Aug 22;10:749. doi: 10.3389/fgene.2019.00749. eCollection 2019.

Abstract

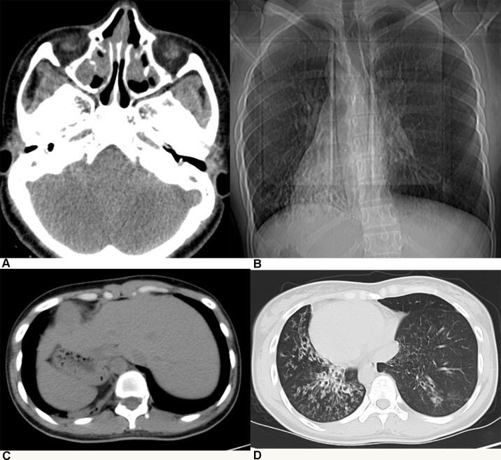
Primary ciliary dyskinesia (PCD), a rare genetic disorder, is mostly caused by defects in more than 40 known cilia structure-related genes. However, in approximately 20-35% of patients, it is caused by unknown genetic factors, and the inherited pathogenic factors are difficult to confirm. Kartagener syndrome (KTS) is a subtype of PCD associated with situs inversus, presenting more complex genetic heterogeneity. The aim of this study was to identify pathogenic mutations of candidate genes in Chinese patients with KTS and investigate the activation of the heterotaxy-related NOTCH pathway. Whole-exome sequencing was conducted in five patients with KTS. Pathogenic variants were identified using bioinformatics analysis. Candidate variants were validated by Sanger sequencing. The expression of the NOTCH pathway target genes was detected in patients with KTS. We identified 10 KTS-associated variants in six causative genes, namely, , , , , , and . Only one homozygote mutation was identified in (c.64dupT). Compound heterozygous mutations were found in and . Six novel mutations were identified in four genes. Further analyses showed that the NOTCH pathway might be activated in patients with KTS. Overall, our study showed that compound heterozygous mutations widely exist in Chinese KTS patients. Our results demonstrated that the activation of the NOTCH pathway might play a role in the situs inversus pathogenicity of KTS. These findings highlight that Kartagener syndrome might be a complex genetic heterogeneous disorder mediated by heterozygous mutations in multiple PCD- or cilia-related genes.

摘要

原发性纤毛运动障碍(PCD)是一种罕见的遗传性疾病,主要由40多个已知的纤毛结构相关基因缺陷引起。然而,在大约20%-35%的患者中,其病因是未知的遗传因素,且遗传致病因素难以确定。卡塔格内综合征(KTS)是PCD的一种亚型,与内脏反位有关,表现出更复杂的遗传异质性。本研究的目的是鉴定中国KTS患者候选基因的致病突变,并研究异位相关NOTCH通路的激活情况。对5例KTS患者进行了全外显子测序。使用生物信息学分析鉴定致病变异。通过桑格测序验证候选变异。检测了KTS患者中NOTCH通路靶基因的表达。我们在6个致病基因中鉴定出10个与KTS相关的变异,即 、 、 、 、 、 和 。仅在 (c.64dupT)中鉴定出1个纯合突变。在 和 中发现了复合杂合突变。在4个基因中鉴定出6个新突变。进一步分析表明,NOTCH通路可能在KTS患者中被激活。总体而言,我们的研究表明复合杂合突变在中国KTS患者中广泛存在。我们的结果表明,NOTCH通路的激活可能在KTS内脏反位的致病性中起作用。这些发现突出表明,卡塔格内综合征可能是一种由多个PCD或纤毛相关基因的杂合突变介导的复杂遗传异质性疾病。

https://cdn.ncbi.nlm.nih.gov/pmc/blobs/fa3f/6713718/17bdcd983e6b/fgene-10-00749-g001.jpg

文献AI研究员

20分钟写一篇综述,助力文献阅读效率提升50倍。

立即体验

用中文搜PubMed

大模型驱动的PubMed中文搜索引擎

马上搜索

文档翻译

学术文献翻译模型,支持多种主流文档格式。

立即体验