Suppr超能文献

Polymorphic post-transplant lymphoproliferative disorder in a gilt.

作者信息

Tura Giorgia, Pellegrino Valeria, Avallone Giancarlo, Barone Francesca, Bacci Maria Laura, Villa Riccardo, Spadari Alessandro, Ventrella Domenico, Dondi Francesco, Corradetti Valeria, La Manna Gaetano, Sarli Giuseppe

机构信息

Department of Veterinary Medical Science, University of Bologna , Ozzano Emilia , BO , Italy.

Cellular Substrates, The Lombardy and Emilia Romagna experimental Zootechnic Institute (IZSLER) , Brescia , Italy.

出版信息

Vet Q. 2019 Dec;39(1):136-142. doi: 10.1080/01652176.2019.1661542.

Abstract
摘要
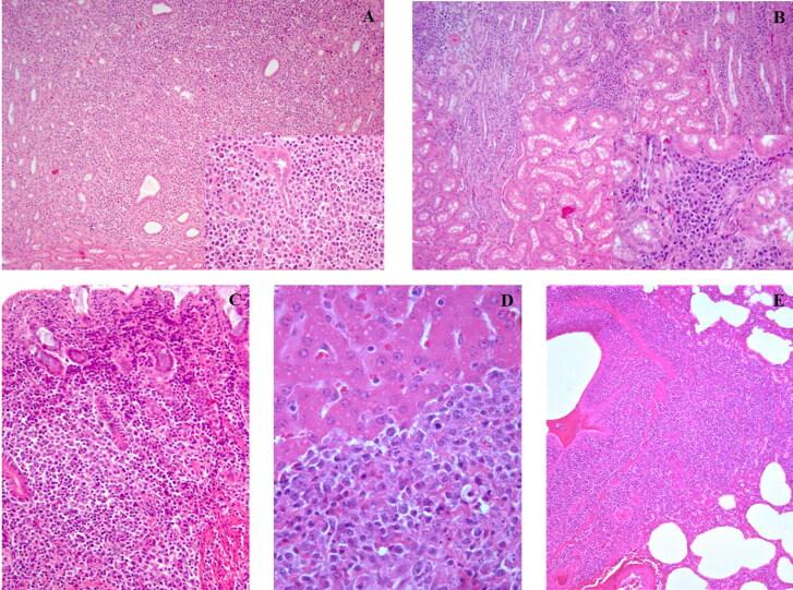
https://cdn.ncbi.nlm.nih.gov/pmc/blobs/2d56/8923020/8066546d33d3/TVEQ_A_1661542_F0001_C.jpg

文献AI研究员

20分钟写一篇综述,助力文献阅读效率提升50倍。

立即体验

用中文搜PubMed

大模型驱动的PubMed中文搜索引擎

马上搜索

文档翻译

学术文献翻译模型,支持多种主流文档格式。

立即体验