Suppr超能文献

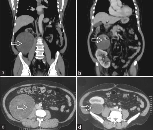
Retroperitoneal gossypiboma mimicking renal tumor in a postrenal transplant patient: A diagnostic challenge.

作者信息

Rajaian S, Murugavaithianathan P, Krishnamurthy K, Murugasen L

机构信息

Department of Urology, MIOT International, Chennai, Tamil Nadu, India.

出版信息

J Postgrad Med. 2019 Oct-Dec;65(4):247-248. doi: 10.4103/jpgm.JPGM_85_19.

Abstract
摘要
https://cdn.ncbi.nlm.nih.gov/pmc/blobs/7896/6813685/7d654a9892ec/JPGM-65-247-g001.jpg

文献AI研究员

20分钟写一篇综述,助力文献阅读效率提升50倍。

立即体验

用中文搜PubMed

大模型驱动的PubMed中文搜索引擎

马上搜索

文档翻译

学术文献翻译模型,支持多种主流文档格式。

立即体验