• 文献检索
  • 文档翻译
  • 深度研究
  • 学术资讯
  • Suppr Zotero 插件Zotero 插件
  • 邀请有礼
  • 套餐&价格
  • 历史记录
应用&插件
Suppr Zotero 插件Zotero 插件浏览器插件Mac 客户端Windows 客户端微信小程序
定价
高级版会员购买积分包购买API积分包
服务
文献检索文档翻译深度研究API 文档MCP 服务
关于我们
关于 Suppr公司介绍联系我们用户协议隐私条款
关注我们

Suppr 超能文献

核心技术专利:CN118964589B侵权必究
粤ICP备2023148730 号-1Suppr @ 2026

文献检索

告别复杂PubMed语法,用中文像聊天一样搜索,搜遍4000万医学文献。AI智能推荐,让科研检索更轻松。

立即免费搜索

文件翻译

保留排版,准确专业,支持PDF/Word/PPT等文件格式,支持 12+语言互译。

免费翻译文档

深度研究

AI帮你快速写综述,25分钟生成高质量综述,智能提取关键信息,辅助科研写作。

立即免费体验

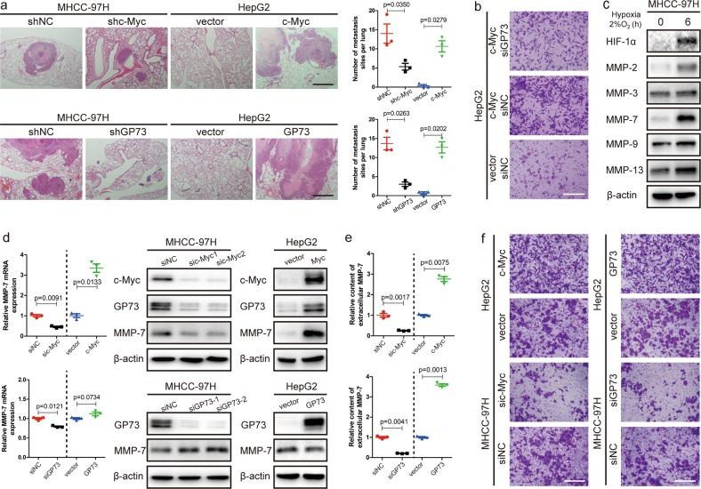
在轻度缺氧的微环境中,c-Myc通过GP73介导的基质金属蛋白酶-7(MMP-7)转运反式激活高尔基体蛋白73(GP73)并促进肝癌细胞转移。

c-Myc transactivates GP73 and promotes metastasis of hepatocellular carcinoma cells through GP73-mediated MMP-7 trafficking in a mildly hypoxic microenvironment.

作者信息

Liu Yiming, Zhou Sining, Shi Jieyao, Zhang Xiaodi, Shentu Linhui, Chen Zhi, Zhou Linfu

机构信息

State Key Laboratory for Diagnosis and Treatment of Infectious Diseases, Collaborative Innovation Center for Diagnosis and Treatment of Infectious Disease, The First Affiliated Hospital, Zhejiang University School of Medicine, Hangzhou, 310003, China.

Department of Biochemistry and Molecular Biology, Zhejiang University School of Medicine, Hangzhou, 310058, China.

出版信息

Oncogenesis. 2019 Oct 7;8(10):58. doi: 10.1038/s41389-019-0166-7.

DOI:10.1038/s41389-019-0166-7
PMID:31591387
原文链接:https://pmc.ncbi.nlm.nih.gov/articles/PMC6779757/
Abstract

Golgi phosphoprotein 73 (GP73), encoded by GOLM1, is a highly expressed factor in hepatocellular carcinoma (HCC) cells and has been regarded for several years as a remarkable serum biomarker for the diagnosis of HCC. Recently, it was found that upregulation of GP73 promotes cancer metastasis, but the mechanism is complex, and it is even unclear how the gene is transactivated in HCC cells. In this study, it was discovered that c-Myc transactivated GP73 in a mildly hypoxic microenvironment and that the activation of c-Myc upregulated the expression of matrix metalloproteinase-7 (MMP-7). Moreover, it is shown that GP73 interacted with intracellular MMP-7 in the region of the cytoplasmic domain and facilitated the trafficking and secretion of MMP-7, resulting in cell metastasis. This study indicates that GP73 is transactivated by c-Myc and serves as a transporter in the trafficking of intracellular MMP-7 in HCC cells. These findings suggest that GP73 is a potential target for combating metastatic HCC.

摘要

高尔基体磷蛋白73(GP73)由GOLM1编码,是一种在肝癌(HCC)细胞中高表达的因子,多年来一直被视为诊断肝癌的重要血清生物标志物。最近发现,GP73的上调促进癌症转移,但其机制复杂,甚至不清楚该基因在肝癌细胞中是如何被反式激活的。在本研究中,发现c-Myc在轻度缺氧微环境中反式激活GP73,且c-Myc的激活上调了基质金属蛋白酶-7(MMP-7)的表达。此外,研究表明GP73在细胞质结构域区域与细胞内MMP-7相互作用,并促进MMP-7的运输和分泌,从而导致细胞转移。本研究表明,GP73被c-Myc反式激活,并在肝癌细胞中细胞内MMP-7的运输中充当转运体。这些发现表明,GP73是对抗转移性肝癌的潜在靶点。

https://cdn.ncbi.nlm.nih.gov/pmc/blobs/7ff9/6779757/59ef24f6f2cf/41389_2019_166_Fig6_HTML.jpg
https://cdn.ncbi.nlm.nih.gov/pmc/blobs/7ff9/6779757/55a7e5d8e785/41389_2019_166_Fig1_HTML.jpg
https://cdn.ncbi.nlm.nih.gov/pmc/blobs/7ff9/6779757/396b3a2f4250/41389_2019_166_Fig2_HTML.jpg
https://cdn.ncbi.nlm.nih.gov/pmc/blobs/7ff9/6779757/4e19dd8739fe/41389_2019_166_Fig3_HTML.jpg
https://cdn.ncbi.nlm.nih.gov/pmc/blobs/7ff9/6779757/f34f8950e55a/41389_2019_166_Fig4_HTML.jpg
https://cdn.ncbi.nlm.nih.gov/pmc/blobs/7ff9/6779757/10b133bd59bf/41389_2019_166_Fig5_HTML.jpg
https://cdn.ncbi.nlm.nih.gov/pmc/blobs/7ff9/6779757/59ef24f6f2cf/41389_2019_166_Fig6_HTML.jpg
https://cdn.ncbi.nlm.nih.gov/pmc/blobs/7ff9/6779757/55a7e5d8e785/41389_2019_166_Fig1_HTML.jpg
https://cdn.ncbi.nlm.nih.gov/pmc/blobs/7ff9/6779757/396b3a2f4250/41389_2019_166_Fig2_HTML.jpg
https://cdn.ncbi.nlm.nih.gov/pmc/blobs/7ff9/6779757/4e19dd8739fe/41389_2019_166_Fig3_HTML.jpg
https://cdn.ncbi.nlm.nih.gov/pmc/blobs/7ff9/6779757/f34f8950e55a/41389_2019_166_Fig4_HTML.jpg
https://cdn.ncbi.nlm.nih.gov/pmc/blobs/7ff9/6779757/10b133bd59bf/41389_2019_166_Fig5_HTML.jpg
https://cdn.ncbi.nlm.nih.gov/pmc/blobs/7ff9/6779757/59ef24f6f2cf/41389_2019_166_Fig6_HTML.jpg

相似文献

1
c-Myc transactivates GP73 and promotes metastasis of hepatocellular carcinoma cells through GP73-mediated MMP-7 trafficking in a mildly hypoxic microenvironment.在轻度缺氧的微环境中,c-Myc通过GP73介导的基质金属蛋白酶-7(MMP-7)转运反式激活高尔基体蛋白73(GP73)并促进肝癌细胞转移。
Oncogenesis. 2019 Oct 7;8(10):58. doi: 10.1038/s41389-019-0166-7.
2
Knockdown of Golgi phosphoprotein 73 blocks the trafficking of matrix metalloproteinase-2 in hepatocellular carcinoma cells and inhibits cell invasion.敲低高尔基磷蛋白 73 阻断了肝癌细胞中基质金属蛋白酶-2 的转运并抑制了细胞侵袭。
J Cell Mol Med. 2019 Apr;23(4):2399-2409. doi: 10.1111/jcmm.14055. Epub 2019 Jan 24.
3
Golgi protein 73 activation of MMP-13 promotes hepatocellular carcinoma cell invasion.高尔基体蛋白73激活基质金属蛋白酶-13促进肝癌细胞侵袭。
Oncotarget. 2015 Oct 20;6(32):33523-33. doi: 10.18632/oncotarget.5590.
4
Golgi Phosphoprotein 73: The Driver of Epithelial-Mesenchymal Transition in Cancer.高尔基体磷蛋白73:癌症上皮-间质转化的驱动因素
Front Oncol. 2021 Dec 7;11:783860. doi: 10.3389/fonc.2021.783860. eCollection 2021.
5
Golgi-protein 73 facilitates vimentin polymerization in hepatocellular carcinoma.高尔基体蛋白73促进肝细胞癌中波形蛋白的聚合。
Int J Biol Sci. 2023 Jul 16;19(12):3694-3708. doi: 10.7150/ijbs.85431. eCollection 2023.
6
GP73 promotes epithelial-mesenchymal transition and invasion partly by activating TGF-β1/Smad2 signaling in hepatocellular carcinoma.GP73 通过激活 TGF-β1/Smad2 信号通路促进肝癌细胞的上皮间质转化和侵袭。
Carcinogenesis. 2018 Jul 3;39(7):900-910. doi: 10.1093/carcin/bgy010.
7
GP73-mediated secretion of AFP and GP73 promotes proliferation and metastasis of hepatocellular carcinoma cells.GP73介导的甲胎蛋白分泌以及GP73促进肝癌细胞的增殖和转移。
Oncogenesis. 2021 Oct 14;10(10):69. doi: 10.1038/s41389-021-00358-3.
8
Knockdown of Golgi phosphoprotein 2 inhibits hepatocellular carcinoma cell proliferation and motility.高尔基体磷蛋白2的敲低抑制肝癌细胞的增殖和运动能力。
Oncotarget. 2016 Apr 19;7(16):21404-15. doi: 10.18632/oncotarget.7271.
9
Epithelium-Specific ETS (ESE)-1 upregulated GP73 expression in hepatocellular carcinoma cells.上皮特异性ETS(ESE)-1上调了肝癌细胞中GP73的表达。
Cell Biosci. 2014 Dec 8;4(1):76. doi: 10.1186/2045-3701-4-76. eCollection 2014.
10
Silencing of GP73 inhibits invasion and metastasis via suppression of epithelial-mesenchymal transition in hepatocellular carcinoma.沉默GP73通过抑制肝细胞癌上皮-间质转化来抑制侵袭和转移。
Oncol Rep. 2017 Feb;37(2):1182-1188. doi: 10.3892/or.2017.5351. Epub 2017 Jan 4.

引用本文的文献

1
GP73-mediated secretion of PKM2 and GP73 promotes angiogenesis and M2-like macrophage polarization in hepatocellular carcinoma.GP73介导的PKM2分泌及GP73促进肝细胞癌中的血管生成和M2样巨噬细胞极化。
Cell Death Dis. 2025 Feb 5;16(1):69. doi: 10.1038/s41419-025-07391-9.
2
Golgi protein 73: the driver of inflammation in the immune and tumor microenvironment.高尔基体蛋白73:免疫和肿瘤微环境中炎症的驱动因素
Front Immunol. 2025 Jan 8;15:1508034. doi: 10.3389/fimmu.2024.1508034. eCollection 2024.
3
GOLM1 promotes prostate cancer progression via interaction with PSMD1 and enhancing AR-driven transcriptional activation.

本文引用的文献

1
Knockdown of Golgi phosphoprotein 73 blocks the trafficking of matrix metalloproteinase-2 in hepatocellular carcinoma cells and inhibits cell invasion.敲低高尔基磷蛋白 73 阻断了肝癌细胞中基质金属蛋白酶-2 的转运并抑制了细胞侵袭。
J Cell Mol Med. 2019 Apr;23(4):2399-2409. doi: 10.1111/jcmm.14055. Epub 2019 Jan 24.
2
BMP-2 enhances the migration and proliferation of hypoxia-induced VSMCs via actin cytoskeleton, CD44 and matrix metalloproteinase linkage.骨形态发生蛋白 2 通过肌动蛋白细胞骨架、CD44 和基质金属蛋白酶连接增强缺氧诱导的血管平滑肌细胞的迁移和增殖。
Exp Cell Res. 2018 Jul 15;368(2):248-257. doi: 10.1016/j.yexcr.2018.05.004. Epub 2018 May 8.
3
GOLM1 通过与 PSMD1 相互作用并增强 AR 驱动的转录激活促进前列腺癌进展。
J Cell Mol Med. 2024 Oct;28(20):e70186. doi: 10.1111/jcmm.70186.
4
Golgi Protein 73 Promotes Angiogenesis in Hepatocellular Carcinoma.高尔基体蛋白73促进肝细胞癌血管生成。
Research (Wash D C). 2024 Jul 17;7:0425. doi: 10.34133/research.0425. eCollection 2024.
5
Integrating Single-Cell and Spatial Transcriptomics to Uncover and Elucidate GP73-Mediated Pro-Angiogenic Regulatory Networks in Hepatocellular Carcinoma.整合单细胞和空间转录组学以揭示和阐明肝癌中GP73介导的促血管生成调控网络
Research (Wash D C). 2024 Jun 27;7:0387. doi: 10.34133/research.0387. eCollection 2024.
6
Fluorescence/electrochemical dual-mode strategy for Golgi protein 73 detection based on molybdenum disulfide/ferrocene/palladium nanoparticles and nitrogen-doped graphene quantum dots.基于二硫化钼/二茂铁/钯纳米粒子和氮掺杂石墨烯量子点的高尔基体蛋白 73 的荧光/电化学双模检测策略。
Mikrochim Acta. 2024 Mar 9;191(4):190. doi: 10.1007/s00604-024-06262-y.
7
Golgi-protein 73 facilitates vimentin polymerization in hepatocellular carcinoma.高尔基体蛋白73促进肝细胞癌中波形蛋白的聚合。
Int J Biol Sci. 2023 Jul 16;19(12):3694-3708. doi: 10.7150/ijbs.85431. eCollection 2023.
8
Single-cell RNA sequencing identifies critical transcription factors of tumor cell invasion induced by hypoxia microenvironment in glioblastoma.单细胞 RNA 测序鉴定出脑胶质瘤缺氧微环境诱导肿瘤细胞侵袭的关键转录因子。
Theranostics. 2023 Jun 26;13(11):3744-3760. doi: 10.7150/thno.81407. eCollection 2023.
9
GOLM1 Promotes Epithelial-Mesenchymal Transition by Activating TGFβ1/Smad2 Signaling in Prostate Cancer.GOLM1 通过激活 TGFβ1/Smad2 信号通路促进前列腺癌细胞上皮间质转化。
Technol Cancer Res Treat. 2023 Jan-Dec;22:15330338231153618. doi: 10.1177/15330338231153618.
10
Updating the Clinical Application of Blood Biomarkers and Their Algorithms in the Diagnosis and Surveillance of Hepatocellular Carcinoma: A Critical Review.更新血液生物标志物及其算法在肝细胞癌诊断和监测中的临床应用:批判性评价。
Int J Mol Sci. 2023 Feb 21;24(5):4286. doi: 10.3390/ijms24054286.
Vascular niche IL-6 induces alternative macrophage activation in glioblastoma through HIF-2α.
血管龛位 IL-6 通过 HIF-2α 诱导脑胶质母细胞瘤中巨噬细胞的替代激活。
Nat Commun. 2018 Feb 8;9(1):559. doi: 10.1038/s41467-018-03050-0.
4
GP73 promotes epithelial-mesenchymal transition and invasion partly by activating TGF-β1/Smad2 signaling in hepatocellular carcinoma.GP73 通过激活 TGF-β1/Smad2 信号通路促进肝癌细胞的上皮间质转化和侵袭。
Carcinogenesis. 2018 Jul 3;39(7):900-910. doi: 10.1093/carcin/bgy010.
5
Mechanisms through Which Hypoxia-Induced Caveolin-1 Drives Tumorigenesis and Metastasis in Hepatocellular Carcinoma.缺氧诱导的 caveolin-1 通过何种机制促进肝癌的发生和转移。
Cancer Res. 2016 Dec 15;76(24):7242-7253. doi: 10.1158/0008-5472.CAN-16-1031. Epub 2016 Oct 26.
6
GOLM1 Modulates EGFR/RTK Cell-Surface Recycling to Drive Hepatocellular Carcinoma Metastasis.GOLM1调节表皮生长因子受体/受体酪氨酸激酶细胞表面再循环以驱动肝细胞癌转移。
Cancer Cell. 2016 Sep 12;30(3):444-458. doi: 10.1016/j.ccell.2016.07.017. Epub 2016 Aug 25.
7
Inter-individual variability and genetic influences on cytokine responses to bacteria and fungi.个体间变异性以及基因对细菌和真菌细胞因子反应的影响。
Nat Med. 2016 Aug;22(8):952-60. doi: 10.1038/nm.4139. Epub 2016 Jul 4.
8
Hypoxic control of metastasis.转移的缺氧控制
Science. 2016 Apr 8;352(6282):175-80. doi: 10.1126/science.aaf4405. Epub 2016 Apr 7.
9
Hypoxia-Induced Epithelial-to-Mesenchymal Transition in Hepatocellular Carcinoma Induces an Immunosuppressive Tumor Microenvironment to Promote Metastasis.缺氧诱导的肝癌上皮间质转化诱导免疫抑制肿瘤微环境促进转移。
Cancer Res. 2016 Feb 15;76(4):818-30. doi: 10.1158/0008-5472.CAN-15-0977. Epub 2016 Feb 2.
10
Cancer statistics in China, 2015.《中国癌症统计数据 2015》
CA Cancer J Clin. 2016 Mar-Apr;66(2):115-32. doi: 10.3322/caac.21338. Epub 2016 Jan 25.