Suppr超能文献

细胞骨架蛋白和细胞外基质蛋白作为转移性三阴性乳腺癌的标志物

Cytoskeletal and extracellular matrix proteins as markers for metastatic triple negative breast cancer.

作者信息

Mohammed Mohammed Elimam Ahamed, Elhassan Nuha Mohammed

机构信息

Departement of Chemistry, Faculty of Science, King Khalid University, Abha, Saudi Arabia.

Sudan Atomic Energy Commission, Khartoum, Sudan.

出版信息

J Int Med Res. 2019 Nov;47(11):5767-5776. doi: 10.1177/0300060519877079. Epub 2019 Oct 11.

Abstract

OBJECTIVE

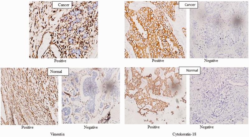
This study investigated immunohistochemical staining results of two cytoskeletal proteins (vimentin and cytokeratin-18) and two extracellular matrix proteins (fibronectin-1 and laminin-1 receptor) in different stages of triple negative breast cancer.

METHODS

Forty triple negative cancerous breast tissues from patients diagnosed as stage 2A (15), 2B (nine), 3A (10), 3B (four), and 3C (two) were included in this study and were compared with 42 normal breast tissues. Immunohistochemistry results were statistically analyzed using the t-test percent of the StatPac program.

RESULTS

The percentages of positive staining in cancerous tissues for all of the studied parameters were significantly greater than their percentages in normal tissues, except for vimentin. All cancerous tissues from patients diagnosed as stage 3A, 3B, and 3C were positive for both fibronectin-1 and laminin-1 receptor.

CONCLUSION

Fibronectin-1 and laminin-1 receptor are promising markers for stage 3 triple negative breast cancer.

摘要

目的

本研究调查了两种细胞骨架蛋白(波形蛋白和细胞角蛋白-18)以及两种细胞外基质蛋白(纤连蛋白-1和层粘连蛋白-1受体)在三阴性乳腺癌不同阶段的免疫组化染色结果。

方法

本研究纳入了40例被诊断为2A期(15例)、2B期(9例)、3A期(10例)、3B期(4例)和3C期(2例)的三阴性乳腺癌患者的癌组织,并与42例正常乳腺组织进行比较。使用StatPac程序的t检验百分比对免疫组化结果进行统计学分析。

结果

除波形蛋白外,所有研究参数在癌组织中的阳性染色百分比均显著高于其在正常组织中的百分比。所有被诊断为3A期、3B期和3C期患者的癌组织中纤连蛋白-1和层粘连蛋白-1受体均呈阳性。

结论

纤连蛋白-1和层粘连蛋白-1受体是3期三阴性乳腺癌有前景的标志物。

https://cdn.ncbi.nlm.nih.gov/pmc/blobs/1f46/6862895/e72bed0c9a28/10.1177_0300060519877079-fig1.jpg

文献AI研究员

20分钟写一篇综述,助力文献阅读效率提升50倍。

立即体验

用中文搜PubMed

大模型驱动的PubMed中文搜索引擎

马上搜索

文档翻译

学术文献翻译模型,支持多种主流文档格式。

立即体验