Hübscher U, Stalder H P
Nucleic Acids Res. 1985 Aug 12;13(15):5471-83. doi: 10.1093/nar/13.15.5471.
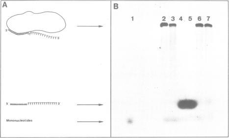
A forked DNA was constructed to serve as a substrate for DNA helicases. It contains features closely resembling a natural replication fork. The DNA was prepared in large amounts and was used to assay displacement activity during isolation from calf thymus DNA polymerases alpha holoenzyme. One form of DNA polymerase alpha holoenzyme is possibly involved leading strand replication at the replication fork and possesses DNA dependent ATPase activity (Ottiger, H.-P. and Hübscher, U. (1984) Proc. Natl. Acad. Sci. USA 81, 3993-3997). The enzyme can be separated from DNA polymerase alpha by velocity sedimentation in conditions of very low ionic strength and then be purified by chromatography on Sephacryl S-200 and ATP-agarose. At all stages of purification, DNA dependent ATPase and displacement activity profiles were virtually superimposable. The DNA dependent ATPase can displace a hybridized DNA fragment with a short single-stranded tail at its 3'hydroxyl end only in the presence of ATP, and this displacement relies on ATP hydrolysis. Furthermore, homogeneous single-stranded binding proteins from calf thymus as well as from other tissues cannot perform this displacement reaction. By all this token the DNA dependent ATPase appears to be a DNA helicase. It is suggested that this DNA helicase might act in concert with DNA polymerase alpha at the leading strand, possibly pushing the replication fork ahead of the polymerase.