Suppr超能文献

一例髋关节置换患者耳轴失效管理的病例报告及文献综述:耳轴病与人工关节感染能否共存?

A Case Report and Literature Review to Aid in the Management of Trunnion Failure in Hip Arthroplasty Patients: Can Trunnionosis and Prosthetic Joint Infection Co-Exist?

作者信息

Jagadale Vivek

机构信息

Orthopedics, University of Arkansas for Medical Sciences, Little Rock, USA.

出版信息

Cureus. 2019 Aug 31;11(8):e5544. doi: 10.7759/cureus.5544.

Abstract

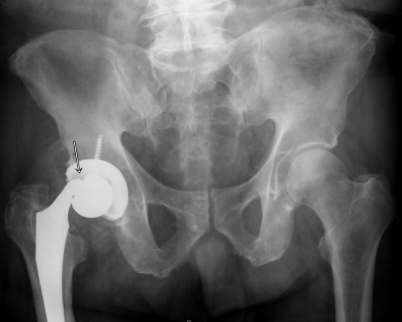
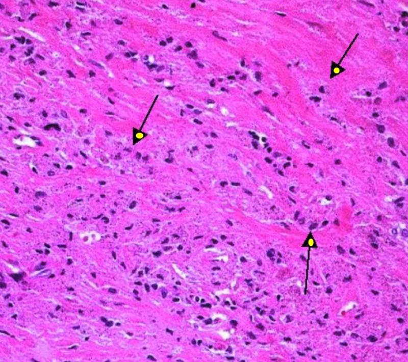
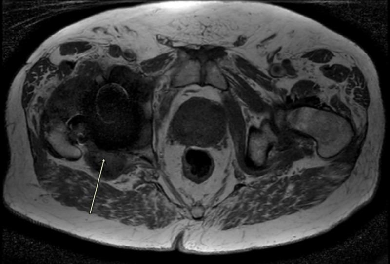
Trunnionosis is a type of corrosion and wear at the head-neck taper junction of the femoral implant, and it can be a slow and silent catastrophe. Simultaneous prosthetic joint infection (PJI) is occasionally possible based on the fulfillment of a few of the minor criteria from the Musculoskeletal Infection Society (MSIS), but the existing literature lacks adequate evidence to support that the infection actually exists. We are presenting a case of an 82-year-old man with right total hip arthroplasty performed over a decade prior to presenting to the emergency room with a sudden-onset pop followed by groin pain and difficulty in walking. Radiographs showed a dissociated femoral implant at the level of trunnion with malalignment and heterotopic ossification. Metal Artifact Reduction Sequence MRI of the right hip showed mixed type-two and type-three pseudotumors, and atrophy of surrounding abductor muscles. The erythrocyte sedimentation rate was within normal limits, C-reactive protein was borderline raised, and serum cobalt-chromium levels were elevated without any signs of systemic metal toxicity. Hip joint aspirate revealed blood-stained fluid flooded with red blood cells, leukocytes and neutrophils, and a positive alpha-defensin assay. These findings were interpreted as positive for prosthetic joint infection. Intraoperatively, there was severe wear of the inferomedial aspect of the femoral head-neck junction and extensive metallosis throughout the right hip. Tissue and fluid specimens were sent for cultures, sensitivities, and histopathology for pseudotumor and infection evaluation. An articulating antibiotic spacer was then placed with the intent to perform a staged reconstruction of the femur and right acetabulum. Final synovial, bone, and soft tissue cultures, as well as histopathological photomicrograph of the tissue slides, were negative for infection. This case demonstrates the striking features of metallosis associated with trunnion failure of a metal-on-polyethylene total hip joint prosthesis that was simultaneously showing signs of prosthetic infection by satisfying the minor criteria according to the latest guidelines by the MSIS with a strikingly high cell count of red blood cells in the synovial fluid exam, indicating inflamed hyper-vascular pseudotumors vs. hemarthrosis vs. bloody tap. Diagnostic dilemma led by positive synovial fluid alpha defensin, high synovial neutrophil and white cell count results with negative final cultures or infection on histological slides raises concern that infection was not present and two-stage revision arthroplasty with six weeks of antibiotics was not necessary along with increased risk of morbidity, mortality as well as cost of care.

摘要

股骨柄腐蚀是指股骨植入物头颈锥度交界处的一种腐蚀和磨损情况,它可能是一场缓慢且悄无声息的灾难。根据肌肉骨骼感染学会(MSIS)的一些次要标准,偶尔可能会同时发生人工关节感染(PJI),但现有文献缺乏足够证据支持感染实际存在。我们报告一例82岁男性患者,该患者在十多年前接受了右全髋关节置换术,之后因突然出现的砰的一声响,随后出现腹股沟疼痛和行走困难而前往急诊室就诊。X线片显示股骨柄水平处股骨植入物分离,伴有排列不齐和异位骨化。右髋关节的金属伪影减少序列MRI显示为混合型二型和三型假肿瘤,以及周围外展肌萎缩。红细胞沉降率在正常范围内,C反应蛋白略升高,血清钴铬水平升高,但无任何全身金属中毒迹象。髋关节穿刺抽出的液体为血性,充满红细胞、白细胞和中性粒细胞,α-防御素检测呈阳性。这些结果被解释为人工关节感染呈阳性。术中发现股骨头颈交界处的内下侧严重磨损,整个右髋关节有广泛的金属沉着症。将组织和液体标本送去进行培养、药敏试验以及用于假肿瘤和感染评估的组织病理学检查。然后放置了一个可活动的抗生素间隔物,打算分阶段重建股骨和右髋臼。最终的滑膜、骨和软组织培养结果,以及组织切片的组织病理学显微照片显示感染为阴性。该病例展示了与金属对聚乙烯全髋关节假体股骨柄失效相关的金属沉着症的显著特征,根据MSIS的最新指南,该病例同时通过满足次要标准显示出人工感染的迹象,在滑膜液检查中红细胞计数极高,提示为炎症性高血管假肿瘤与关节积血与血性穿刺的区别。滑膜液α-防御素阳性、滑膜中性粒细胞和白细胞计数高且最终培养结果或组织学切片感染为阴性所导致的诊断困境,引发了人们对感染是否存在的担忧,以及六周抗生素治疗的两阶段翻修关节成形术是否必要,同时还增加了发病、死亡风险以及护理成本。

https://cdn.ncbi.nlm.nih.gov/pmc/blobs/68bb/6819065/e8e0a34fc059/cureus-0011-00000005544-i01.jpg

文献AI研究员

20分钟写一篇综述,助力文献阅读效率提升50倍。

立即体验

用中文搜PubMed

大模型驱动的PubMed中文搜索引擎

马上搜索

文档翻译

学术文献翻译模型,支持多种主流文档格式。

立即体验