Suppr超能文献

脊柱原发性结外自然杀伤/T细胞鼻型淋巴瘤:一例报告。

Primary extranodal natural killer/T-cell nasal-type lymphoma of spine: A case report.

作者信息

Wang Jie, Li Ning, Fan Yonggang, Yang Ningning, Xia Lei

机构信息

Department of Orthopedics, The First Affiliated Hospital of Zhengzhou University, Zhengzhou, China.

出版信息

Medicine (Baltimore). 2019 Nov;98(44):e17661. doi: 10.1097/MD.0000000000017661.

Abstract

RATIONALE

Primary Extranodal Natural Killer/T-Cell Nasal-Type Lymphoma (ENKTCL) of spine is rarely reported. This case study presents a rare case of ENKTCL originating from the sixth thoracic vertebra.

PATIENT CONCERNS

Here, we present a case of 49-year-old Asian male with chest and back pain. Physical examination revealed the myodynamia of both lower limbs decreased from IV degree to 0 degree, reflexes of both lower limbs and a large area of cutaneous sensation below xiphoid process disappeared in 3 days.

DIAGNOSES

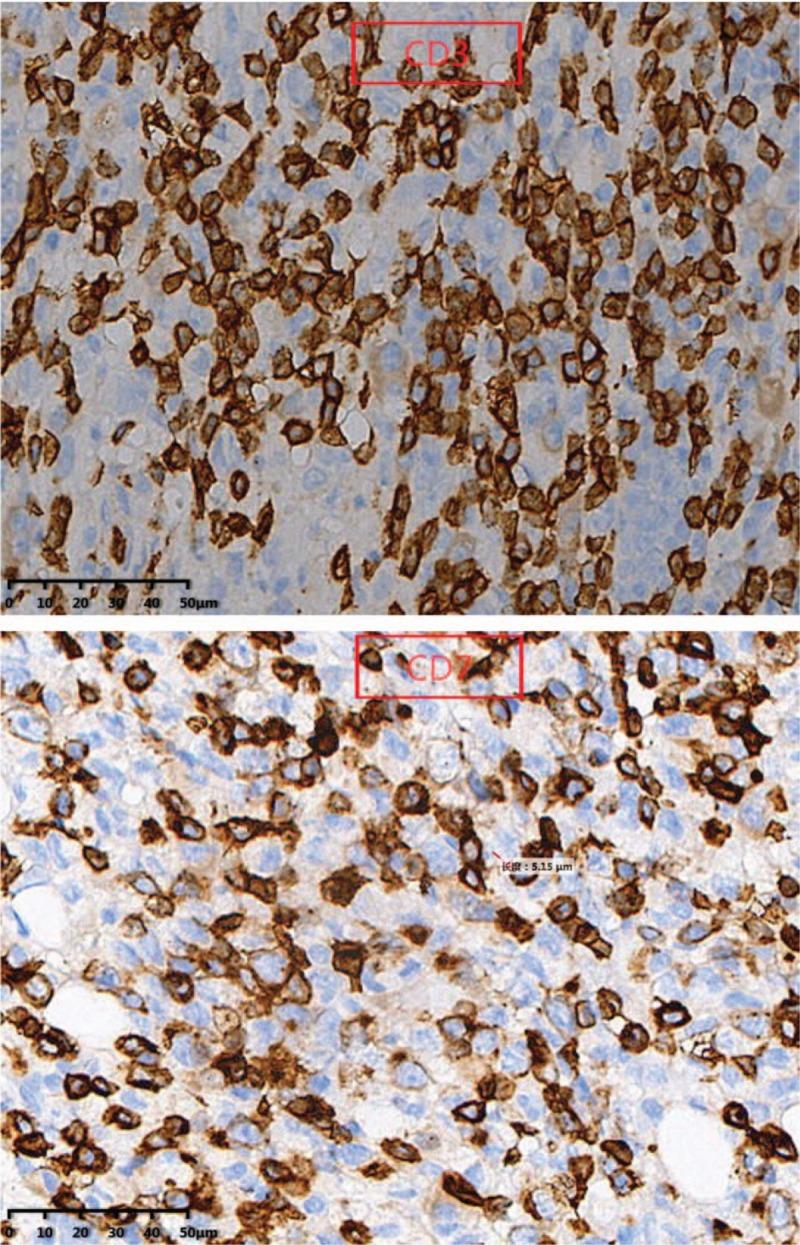
In immunophenotype analysis, CD2, CD3, CD7, and CD68 were positive and CD56 was suspiciously positive. Granzyme B and T-cell intracellular antigen (TIA-1) were also positive and in situ hybridization was positive for Epstein-Barr virus-encoded mRNA (EBER). Ki-67 was 60%+. Nuclide bone scan showed that the nuclide was unusually concentrated in the sixth thoracic vertebra which considered extremely active and slightly concentrated in the right sacrolilac joint. Magnetic resonance imaging detected an abnormal signal in the sixth thoracic vertebra with corresponding paravertebral and intraspinal occupying lesion. Based on the above features, a diagnosis of ENKTCL was made.

INTERVENTIONS

This patient was treated with surgery and symptomatic supportive treatment.

OUTCOMES

The myodynamia of patient's both lower limbs were elevated to I degree after the operation with chest and back pain partly relieved. However, the patient died about 3 months later.

LESSONS

ENKTCL could originate from spine. Clinicians should be alert for early stage diagnose and distinguish it from some common spinal tumor such as neurofibroma and hemangioma.

摘要

原理

脊柱原发性结外自然杀伤/T细胞鼻型淋巴瘤(ENKTCL)鲜有报道。本病例研究呈现了一例罕见的起源于第六胸椎的ENKTCL。

患者情况

在此,我们报告一例49岁亚洲男性,有胸痛和背痛症状。体格检查发现双下肢肌力在3天内从IV级降至0级,双下肢反射及剑突下大面积皮肤感觉消失。

诊断

免疫表型分析中,CD2、CD3、CD7和CD68呈阳性,CD56可疑阳性。颗粒酶B和T细胞胞内抗原(TIA-1)也呈阳性,原位杂交检测到爱泼斯坦-巴尔病毒编码的mRNA(EBER)呈阳性。Ki-67为60%+。核素骨扫描显示核素异常浓聚于第六胸椎,提示该部位极度活跃,右侧骶髂关节有轻度浓聚。磁共振成像检测到第六胸椎有异常信号,伴有相应的椎旁及椎管内占位性病变。基于上述特征,诊断为ENKTCL。

干预措施

该患者接受了手术及对症支持治疗。

结果

术后患者双下肢肌力升至I级,胸痛和背痛部分缓解。然而,患者约3个月后死亡。

经验教训

ENKTCL可起源于脊柱。临床医生应警惕早期诊断,并将其与一些常见的脊柱肿瘤如神经纤维瘤和血管瘤相鉴别。

https://cdn.ncbi.nlm.nih.gov/pmc/blobs/3c58/6946523/3d33914b851f/medi-98-e17661-g001.jpg

文献AI研究员

20分钟写一篇综述,助力文献阅读效率提升50倍。

立即体验

用中文搜PubMed

大模型驱动的PubMed中文搜索引擎

马上搜索

文档翻译

学术文献翻译模型,支持多种主流文档格式。

立即体验