• 文献检索
  • 文档翻译
  • 深度研究
  • 学术资讯
  • Suppr Zotero 插件Zotero 插件
  • 邀请有礼
  • 套餐&价格
  • 历史记录
应用&插件
Suppr Zotero 插件Zotero 插件浏览器插件Mac 客户端Windows 客户端微信小程序
定价
高级版会员购买积分包购买API积分包
服务
文献检索文档翻译深度研究API 文档MCP 服务
关于我们
关于 Suppr公司介绍联系我们用户协议隐私条款
关注我们

Suppr 超能文献

核心技术专利:CN118964589B侵权必究
粤ICP备2023148730 号-1Suppr @ 2026

文献检索

告别复杂PubMed语法,用中文像聊天一样搜索,搜遍4000万医学文献。AI智能推荐,让科研检索更轻松。

立即免费搜索

文件翻译

保留排版,准确专业,支持PDF/Word/PPT等文件格式,支持 12+语言互译。

免费翻译文档

深度研究

AI帮你快速写综述,25分钟生成高质量综述,智能提取关键信息,辅助科研写作。

立即免费体验

阿米巴鳃病病原体的地理分离株的多位点序列分型(MLST)和随机多态性DNA(RAPD)比较

Multilocus Sequence Typing (MLST) and Random Polymorphic DNA (RAPD) Comparisons of Geographic Isolates of , the Causative Agent of Amoebic Gill Disease.

作者信息

Johnson-Mackinnon Jessica C, Crosbie Philip B B, Karlsbakk Egil, Marcos-Lopez Mar, Paley Richard, Nowak Barbara F, Bridle Andrew R

机构信息

University of Tasmania, Institute for Marine and Antarctic Studies, Locked Bag 1370 Launceston, Tasmania 7250, Australia.

Department of Biology, University of Bergen, Bergen, N5020, Norway.

出版信息

Pathogens. 2019 Nov 19;8(4):244. doi: 10.3390/pathogens8040244.

DOI:10.3390/pathogens8040244
PMID:31752364
原文链接:https://pmc.ncbi.nlm.nih.gov/articles/PMC6963586/
Abstract

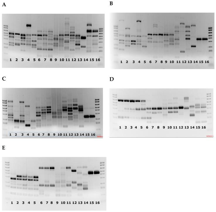
is the aetiological agent of amoebic gill disease (AGD), a disease that affects farmed Atlantic salmon worldwide. Multilocus sequence typing (MLST) and Random Amplified Polymorphic DNA (RAPD) are PCR-based typing methods that allow for the highly reproducible genetic analysis of population structure within microbial species. To the best of our knowledge, this study represents the first use of these typing methods applied to with the objective of distinguishing geographical isolates. These analyses were applied to a total of 16 isolates from Australia, Canada, Ireland, Scotland, Norway, and the USA. All the samples from Australia came from farm sites on the island state of Tasmania. Genetic polymorphism among isolates was more evident from the RAPD analysis compared to the MLST that used conserved housekeeping genes. Both techniques consistently identified that isolates of from Tasmania, Australia were more similar to each other than to the isolates from other countries. While genetic differences were identified between geographical isolates, a BURST analysis provided no evidence of a founder genotype. This suggests that emerging outbreaks of AGD are not due to rapid translocation of this important salmonid pathogen from the same area.

摘要

是阿米巴鳃病(AGD)的病原体,AGD是一种影响全球养殖大西洋鲑鱼的疾病。多位点序列分型(MLST)和随机扩增多态性DNA(RAPD)是基于PCR的分型方法,可对微生物物种内的种群结构进行高度可重复的遗传分析。据我们所知,本研究首次使用这些分型方法来区分地理分离株。这些分析应用于来自澳大利亚、加拿大、爱尔兰、苏格兰、挪威和美国的总共16个分离株。来自澳大利亚的所有样本均来自塔斯马尼亚岛州的养殖场。与使用保守管家基因的MLST相比,RAPD分析中分离株之间的遗传多态性更为明显。两种技术都一致表明,来自澳大利亚塔斯马尼亚的分离株彼此之间比与其他国家的分离株更为相似。虽然在地理分离株之间发现了遗传差异,但BURST分析没有提供奠基者基因型的证据。这表明AGD的新爆发并非由于这种重要鲑科鱼类病原体从同一地区的快速转移所致。

https://cdn.ncbi.nlm.nih.gov/pmc/blobs/3e79/6963586/4ba5bb883472/pathogens-08-00244-g005.jpg
https://cdn.ncbi.nlm.nih.gov/pmc/blobs/3e79/6963586/240ae126071c/pathogens-08-00244-g001.jpg
https://cdn.ncbi.nlm.nih.gov/pmc/blobs/3e79/6963586/3681a570998c/pathogens-08-00244-g002.jpg
https://cdn.ncbi.nlm.nih.gov/pmc/blobs/3e79/6963586/507c4e319606/pathogens-08-00244-g003.jpg
https://cdn.ncbi.nlm.nih.gov/pmc/blobs/3e79/6963586/e922031059fd/pathogens-08-00244-g004.jpg
https://cdn.ncbi.nlm.nih.gov/pmc/blobs/3e79/6963586/4ba5bb883472/pathogens-08-00244-g005.jpg
https://cdn.ncbi.nlm.nih.gov/pmc/blobs/3e79/6963586/240ae126071c/pathogens-08-00244-g001.jpg
https://cdn.ncbi.nlm.nih.gov/pmc/blobs/3e79/6963586/3681a570998c/pathogens-08-00244-g002.jpg
https://cdn.ncbi.nlm.nih.gov/pmc/blobs/3e79/6963586/507c4e319606/pathogens-08-00244-g003.jpg
https://cdn.ncbi.nlm.nih.gov/pmc/blobs/3e79/6963586/e922031059fd/pathogens-08-00244-g004.jpg
https://cdn.ncbi.nlm.nih.gov/pmc/blobs/3e79/6963586/4ba5bb883472/pathogens-08-00244-g005.jpg

相似文献

1
Multilocus Sequence Typing (MLST) and Random Polymorphic DNA (RAPD) Comparisons of Geographic Isolates of , the Causative Agent of Amoebic Gill Disease.阿米巴鳃病病原体的地理分离株的多位点序列分型(MLST)和随机多态性DNA(RAPD)比较
Pathogens. 2019 Nov 19;8(4):244. doi: 10.3390/pathogens8040244.
2
Genetic diversity among geographically distant isolates of Neoparamoeba perurans.秘鲁新帕拉变形虫地理上相隔较远的分离株之间的遗传多样性。
Dis Aquat Organ. 2019 Dec 19;137(2):81-87. doi: 10.3354/dao03433.
3
Neoparamoeba perurans is a cosmopolitan aetiological agent of amoebic gill disease.秘鲁新帕拉变形虫是阿米巴鳃病的一种世界性病原。
Dis Aquat Organ. 2008 Jan 24;78(3):217-23. doi: 10.3354/dao01869.
4
18S ribosomal DNA-based PCR identification of Neoparamoeba pemaquidensis, the agent of amoebic gill disease in sea-farmed salmonids.基于18S核糖体DNA的PCR技术鉴定彭马基新帕拉变形虫,海水养殖鲑科鱼类阿米巴鳃病的病原体。
Dis Aquat Organ. 2004 Jul 5;60(1):65-76. doi: 10.3354/dao060065.
5
Growth characteristics and morphology of Paramoeba perurans from Atlantic salmon Salmo salar L. and ballan wrasse Labrus bergylta in Norway.挪威大西洋鲑鱼 Salmo salar L. 和拟刺尾鲷 Labrus bergylta 中 Perurans 的生长特性和形态。
Parasit Vectors. 2023 Mar 23;16(1):112. doi: 10.1186/s13071-023-05715-2.
6
Neoparamoeba perurans n. sp., an agent of amoebic gill disease of Atlantic salmon (Salmo salar).秘鲁新帕拉变形虫,一种大西洋鲑(Salmo salar)阿米巴鳃病的病原体。
Int J Parasitol. 2007 Nov;37(13):1469-81. doi: 10.1016/j.ijpara.2007.04.018. Epub 2007 May 10.
7
Atlantic salmon Salmo salar and ballan wrasse Labrus bergylta display different susceptibility to clonal strains of Paramoeba perurans.大西洋鲑鱼(Salmo salar)和球海猪鱼(Labrus bergylta)对秘鲁嗜碘阿米巴(Paramoeba perurans)的克隆菌株表现出不同的易感性。
Dis Aquat Organ. 2020 Jul 2;140:55-72. doi: 10.3354/dao03483.
8
Development of a diagnostic PCR to detect Neoparamoeba perurans, agent of amoebic gill disease.用于检测阿米巴鳃病病原体秘鲁新帕拉变形虫的诊断性聚合酶链反应的开发。
J Fish Dis. 2008 Apr;31(4):285-95. doi: 10.1111/j.1365-2761.2008.00903.x.
9
In vitro cultured Neoparamoeba perurans causes amoebic gill disease in Atlantic salmon and fulfils Koch's postulates.在体外培养的新内变形虫引起大西洋鲑的变形虫性鳃病,并满足科赫假设。
Int J Parasitol. 2012 May 1;42(5):511-5. doi: 10.1016/j.ijpara.2012.04.002. Epub 2012 Apr 24.
10
Dynamics of Gill Responses to a Natural Infection with in Farmed Tasmanian Atlantic Salmon.养殖的塔斯马尼亚大西洋鲑鱼鳃对自然感染的反应动态
Animals (Basel). 2024 Aug 15;14(16):2356. doi: 10.3390/ani14162356.

引用本文的文献

1
Systematic review of the status of veterinary epidemiological research in two species regarding the FAIR guiding principles.关于 FAIR 指导原则,对两种物种兽医流行病学研究现状的系统评价。
BMC Vet Res. 2021 Aug 11;17(1):270. doi: 10.1186/s12917-021-02971-1.

本文引用的文献

1
Multilocus sequence typing: genetic diversity in Trypanosoma cruzi I (TcI) isolates from Brazilian didelphids.多位点序列分型:巴西双门齿兽中克氏锥虫 I (TcI)分离株的遗传多样性。
Parasit Vectors. 2018 Feb 22;11(1):107. doi: 10.1186/s13071-018-2696-9.
2
Opportunistic but Lethal: The Mystery of Paramoebae.机会主义但致命:变形虫之谜。
Trends Parasitol. 2018 May;34(5):404-419. doi: 10.1016/j.pt.2018.01.004. Epub 2018 Feb 7.
3
Genome sequencing reveals metabolic and cellular interdependence in an amoeba-kinetoplastid symbiosis.
基因组测序揭示了变形虫-动基体共生体中的代谢和细胞相互依存关系。
Sci Rep. 2017 Sep 15;7(1):11688. doi: 10.1038/s41598-017-11866-x.
4
Genetic diversity and population structure of the Bacillus cereus group bacteria from diverse marine environments.不同海洋环境中蜡样芽胞杆菌群细菌的遗传多样性和种群结构。
Sci Rep. 2017 Apr 6;7(1):689. doi: 10.1038/s41598-017-00817-1.
5
Study of Streptococcus thermophilus population on a world-wide and historical collection by a new MLST scheme.采用新的多位点序列分型方案对全球范围内的嗜热链球菌群体进行历史样本研究。
Int J Food Microbiol. 2017 Feb 2;242:70-81. doi: 10.1016/j.ijfoodmicro.2016.11.016. Epub 2016 Nov 18.
6
Neoparamoeba perurans loses virulence during clonal culture.秘鲁新帕拉变形虫在克隆培养过程中失去毒力。
Int J Parasitol. 2015 Aug;45(9-10):575-8. doi: 10.1016/j.ijpara.2015.04.005. Epub 2015 May 22.
7
Geographical sequence variation in the Leishmania major virulence factor P46.硕大利什曼原虫毒力因子P46的地理序列变异
Infect Genet Evol. 2015 Mar;30:195-205. doi: 10.1016/j.meegid.2014.12.029. Epub 2014 Dec 31.
8
Support for the coevolution of Neoparamoeba and their endosymbionts, Perkinsela amoebae-like organisms.对新帕拉变形虫及其内共生体(珀金氏菌属类变形虫生物)协同进化的支持。
Eur J Protistol. 2014 Oct;50(5):509-23. doi: 10.1016/j.ejop.2014.07.004. Epub 2014 Aug 12.
9
Optimized multilocus sequence typing (MLST) scheme for Trypanosoma cruzi.克氏锥虫优化多位点序列分型(MLST)方案
PLoS Negl Trop Dis. 2014 Aug 28;8(8):e3117. doi: 10.1371/journal.pntd.0003117. eCollection 2014 Aug.
10
AFLP-PCR and RAPD-PCR evidences of the transmission of the pathogen Aphanomyces astaci (Oomycetes) to wild populations of European crayfish from the invasive crayfish species, Procambarus clarkii.AFLP-PCR和RAPD-PCR证据表明,病原菌嗜水气单胞菌(卵菌纲)从入侵小龙虾物种克氏原螯虾传播到欧洲小龙虾野生种群。
Fungal Biol. 2014 Jul;118(7):612-20. doi: 10.1016/j.funbio.2013.10.007. Epub 2013 Nov 14.