Suppr超能文献

胰泌素瘤所致低钾性横纹肌溶解症的成功治疗:一例报告

Successful Treatment of Hypokalemic Rhabdomyolysis Caused by a Pancreatic VIPoma: A Case Report.

作者信息

Ramirez Sergio, Lytle Meghan, Togores Enrique, Parellada Jorge, Carlan Steve J, Madruga Mario, Murillo-Alvarez Rodrigo M

机构信息

Department of Internal Medicine, Orlando Regional Healthcare, Orlando, FL, USA.

Division of Academic Affairs and Research, Orlando Regional Healthcare, Orlando, FL, USA.

出版信息

Am J Case Rep. 2019 Nov 22;20:1723-1727. doi: 10.12659/AJCR.918213.

Abstract

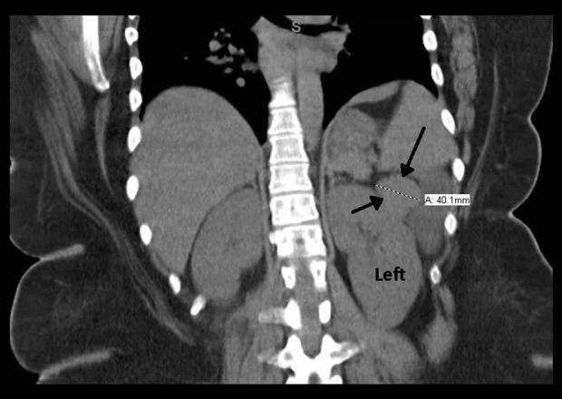
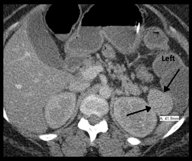
BACKGROUND VIPomas are rare neuroendocrine tumors typically located in the pancreas. The majority of cases autonomously secret vasoactive intestinal polypeptide (VIP), which can result in profuse, refractory, watery diarrhea. The fluid and electrolyte imbalance can progress to dehydration and profound hypokalemia, resulting in the watery diarrhea, hypokalemia, achlorhydria (WDHA) syndrome. One previous case of a pancreatic VIPoma progressing to hypokalemic rhabdomyolysis has been described. CASE REPORT A 33-year-old woman presented with 3 months of progressive, refractory diarrhea and weakness. Her serum VIP level was elevated and imaging discovered a mass in the region of the pancreatic tail. Laparoscopic partial pancreatic resection was performed and a 3.7-cm diameter, solitary stage T2 N0 M0, well-differentiated carcinoma was removed. CONCLUSIONS A high index of suspicion is important when diagnosing chronic diarrhea. Minimally invasive surgery is an option in the surgical treatment of pancreatic VIPoma.

摘要

背景 血管活性肠肽瘤(VIPoma)是一种罕见的神经内分泌肿瘤,通常位于胰腺。大多数病例会自主分泌血管活性肠肽(VIP),这可导致大量、难治性水样腹泻。体液和电解质失衡可发展为脱水和严重低钾血症,导致水样腹泻、低钾血症、无胃酸(WDHA)综合征。此前曾有一例胰腺VIPoma进展为低钾性横纹肌溶解症的病例报道。病例报告 一名33岁女性出现3个月的进行性、难治性腹泻和乏力。她的血清VIP水平升高,影像学检查发现胰尾区域有一个肿块。进行了腹腔镜胰腺部分切除术,切除了一个直径3.7厘米、孤立的T2 N0 M0期、高分化癌。结论 在诊断慢性腹泻时,高度的怀疑指数很重要。微创手术是胰腺VIPoma手术治疗的一种选择。

https://cdn.ncbi.nlm.nih.gov/pmc/blobs/545e/6883984/44fc74638f1d/amjcaserep-20-1723-g001.jpg

文献AI研究员

20分钟写一篇综述,助力文献阅读效率提升50倍。

立即体验

用中文搜PubMed

大模型驱动的PubMed中文搜索引擎

马上搜索

文档翻译

学术文献翻译模型,支持多种主流文档格式。

立即体验