Suppr超能文献

莫诺苯宗、毛蕊异黄酮葡萄糖苷和梨果仙人掌苷对精索静脉曲张大鼠氧化应激、内质网应激和线粒体信号通路的改善作用。

The ameliorative effect of monotropein, astragalin, and spiraeoside on oxidative stress, endoplasmic reticulum stress, and mitochondrial signaling pathway in varicocelized rats.

机构信息

Department of Urology, Institute for Medical Sciences, Chonbuk National University Medical School-Biomedical Research Institute and Clinical Trial Center for Medical Device, Chonbuk National University Hospital, Jeonju, 54907, Republic of Korea.

Andrology Center, Peking University First Hospital, Beijing, People's Republic of China.

出版信息

BMC Complement Altern Med. 2019 Nov 26;19(1):333. doi: 10.1186/s12906-019-2736-9.

Abstract

BACKGROUND

Monotropein, astragalin, and spiraeoside (MAS) are active compounds extracted from medicinal herbs; monotropein from Morinda officinalis How (Rubiaceae), astragalin (kaempferol 3-O-glucoside) from Cuscuta chinensis Lamark (Convolvulaceae) and spiraeoside from the outer scales of Allium cepa L. (Liliceae) in a ratio of 6.69:0.41:3.61. Monotropein, astragalin, and spiraeoside are well-known antioxidants, anti-inflammatory, and antinociceptive agents. The current investigation aims to study the molecular mechanism of varicocele-induced male infertility and the underlying pharmacological mechanisms of MAS.

METHODS

Four groups were included: control (CTR), MAS 200 group (MAS 200 mg/kg), varicocele group (VC), and VC + MAS 200 group (MAS 200 mg/kg). Sprague-Dawley (SD) rats were treated with 200 mg/kg MAS or vehicle once daily for 28 days. The possible signaling mechanism and effects of MAS were measured via histological staining, immunohistochemistry, western blot, and biochemical assays.

RESULTS

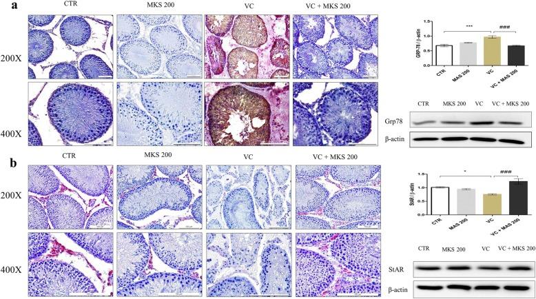
Parameters such as sperm motility and count, Johnsen's scores, spermatogenic cell density, serum testosterone, testicular superoxide dismutase (SOD), catalase, glutathione peroxidase (GPx) and expression of the steroidogenic acute regulatory protein (StAR) improved significantly in the VC + MAS 200 group compared with the VC group. MAS treatment of varicocele-induced group significantly decreased the levels of serum luteinizing hormone (LH) and follicle-stimulating hormone (FSH), as well as testicular interleukin-6 (IL6), tumor necrosis factor-α (TNF-α), ROS/RNS, and malondialdehyde (MDA). It also decreased the apoptotic index and reduced the expression of endoplasmic reticulum (ER) protein levels (Grp78, p-IRE1α, and p-JNK) and apoptotic markers such as cleaved caspase-3 and Bax/Bcl2 ratio.

CONCLUSION

This study suggests that the crosstalk between oxidative stress, ER stress, and mitochondrial pathway mediates varicocele-induced testicular germ cell apoptosis. MAS promotes spermatogenesis in varicocele-induced SD rat, probably by decreasing cytokines (IL-6, TNF-α) levels, regulating abnormal sex hormones, and decreasing oxidative stress, ER stress, and apoptosis.

摘要

背景

莫诺托品、杨梅素和三叶豆苷(MAS)是从草药中提取的有效化合物;莫诺托品来自于巴戟天(茜草科),杨梅素(山奈酚 3-O-葡萄糖苷)来自于菟丝子(旋花科),三叶豆苷来自于洋葱鳞片(百合科),比例为 6.69:0.41:3.61。莫诺托品、杨梅素和三叶豆苷是众所周知的抗氧化剂、抗炎剂和抗伤害性药物。本研究旨在研究精索静脉曲张引起的男性不育的分子机制以及 MAS 的潜在药理机制。

方法

共分为四组:对照组(CTR)、MAS200 组(MAS200mg/kg)、精索静脉曲张组(VC)和 VC+MAS200 组(MAS200mg/kg)。SD 大鼠每天用 200mg/kg MAS 或载体处理 28 天。通过组织学染色、免疫组织化学、western blot 和生化测定来测量 MAS 的可能信号机制和作用。

结果

与 VC 组相比,VC+MAS200 组的精子活力和计数、约翰森评分、生精细胞密度、血清睾酮、睾丸超氧化物歧化酶(SOD)、过氧化氢酶、谷胱甘肽过氧化物酶(GPx)和类固醇急性调节蛋白(StAR)的表达均显著改善。精索静脉曲张诱导组用 MAS 处理后,血清促黄体生成素(LH)和卵泡刺激素(FSH)水平以及睾丸白细胞介素-6(IL6)、肿瘤坏死因子-α(TNF-α)、ROS/RNS 和丙二醛(MDA)水平显著降低。它还降低了细胞凋亡指数,降低了内质网(ER)蛋白水平(Grp78、p-IRE1α 和 p-JNK)和凋亡标志物如 cleaved caspase-3 和 Bax/Bcl2 比值。

结论

本研究表明,氧化应激、内质网应激和线粒体途径之间的串扰介导了精索静脉曲张引起的睾丸生殖细胞凋亡。MAS 促进精索静脉曲张诱导的 SD 大鼠的生精作用,可能是通过降低细胞因子(IL-6、TNF-α)水平、调节异常性激素以及降低氧化应激、内质网应激和凋亡来实现的。

https://cdn.ncbi.nlm.nih.gov/pmc/blobs/3432/6880392/9b09d7189e06/12906_2019_2736_Fig1_HTML.jpg

文献AI研究员

20分钟写一篇综述,助力文献阅读效率提升50倍。

立即体验

用中文搜PubMed

大模型驱动的PubMed中文搜索引擎

马上搜索

文档翻译

学术文献翻译模型,支持多种主流文档格式。

立即体验