Department of Molecular Microbiology and Immunology, Keck School of Medicine, University of Southern California, Los Angeles, CA, 90033, USA.
College of Veterinary Medicine, Sichuan Agriculture University, Chengdu, 611130, China.
Nat Commun. 2019 Dec 12;10(1):5681. doi: 10.1038/s41467-019-13475-w.
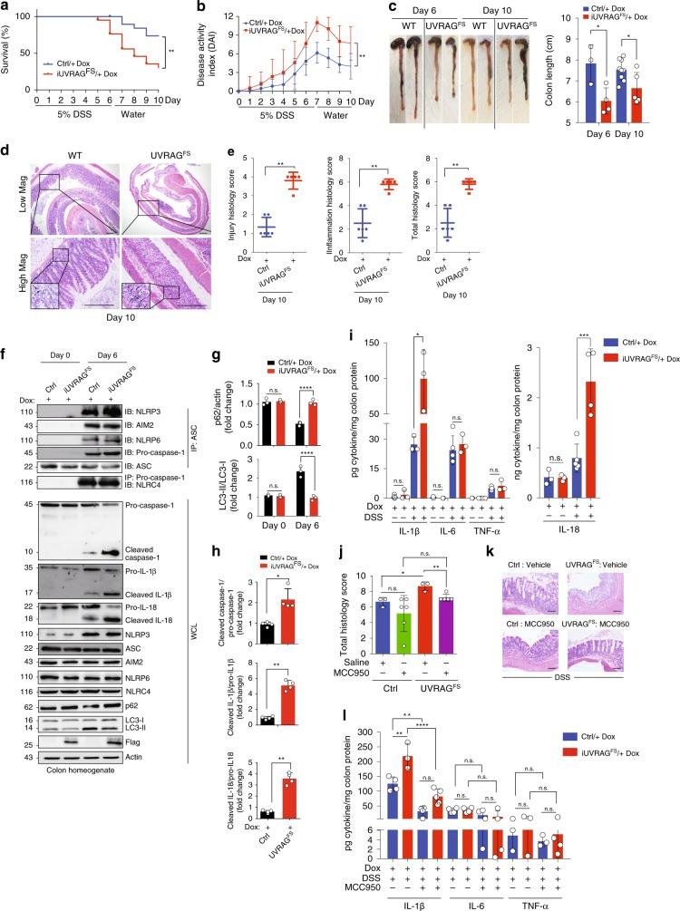
Aberrant autophagy is a major risk factor for inflammatory diseases and cancer. However, the genetic basis and underlying mechanisms are less established. UVRAG is a tumor suppressor candidate involved in autophagy, which is truncated in cancers by a frameshift (FS) mutation and expressed as a shortened UVRAG. To investigate the role of UVRAG in vivo, we generated mutant mice that inducibly express UVRAG (iUVRAG). These mice are normal in basal autophagy but deficient in starvation- and LPS-induced autophagy by disruption of the UVRAG-autophagy complex. iUVRAG mice display increased inflammatory response in sepsis, intestinal colitis, and colitis-associated cancer development through NLRP3-inflammasome hyperactivation. Moreover, iUVRAG mice show enhanced spontaneous tumorigenesis related to age-related autophagy suppression, resultant β-catenin stabilization, and centrosome amplification. Thus, UVRAG is a crucial autophagy regulator in vivo, and autophagy promotion may help prevent/treat inflammatory disease and cancer in susceptible individuals.
自噬异常是炎症性疾病和癌症的一个主要危险因素。然而,其遗传基础和潜在机制还不太确定。UVRAG 是一种参与自噬的肿瘤抑制候选物,其在癌症中通过移码突变而截断,并表达为缩短的 UVRAG。为了研究 UVRAG 在体内的作用,我们生成了可诱导表达 UVRAG 的突变小鼠(iUVRAG)。这些小鼠在基础自噬中正常,但由于 UVRAG-自噬复合物的破坏,在饥饿和 LPS 诱导的自噬中缺陷。iUVRAG 小鼠在脓毒症、肠道结肠炎和结肠炎相关癌症发展中表现出增强的炎症反应,这是通过 NLRP3 炎性小体的过度激活引起的。此外,iUVRAG 小鼠表现出与年龄相关的自噬抑制、β-连环蛋白稳定和中心体扩增相关的自发性肿瘤发生增强。因此,UVRAG 是体内重要的自噬调节剂,促进自噬可能有助于预防/治疗易感个体的炎症性疾病和癌症。